<?xml version="1.0" encoding="UTF-8"?><rss version="2.0"
	xmlns:content="http://purl.org/rss/1.0/modules/content/"
	xmlns:wfw="http://wellformedweb.org/CommentAPI/"
	xmlns:dc="http://purl.org/dc/elements/1.1/"
	xmlns:atom="http://www.w3.org/2005/Atom"
	xmlns:sy="http://purl.org/rss/1.0/modules/syndication/"
	xmlns:slash="http://purl.org/rss/1.0/modules/slash/"
	>

<channel>
	<title>EduVET</title>
	<atom:link href="https://eduvet.vn/feed/" rel="self" type="application/rss+xml" />
	<link>https://eduvet.vn</link>
	<description></description>
	<lastBuildDate>Sun, 09 Nov 2025 03:42:30 +0000</lastBuildDate>
	<language>vi</language>
	<sy:updatePeriod>
	hourly	</sy:updatePeriod>
	<sy:updateFrequency>
	1	</sy:updateFrequency>
	<generator>https://wordpress.org/?v=6.4.2</generator>

<image>
	<url>https://eduvet.vn/wp-content/uploads/2024/12/duvet_cam-removebg-preview-32x32.png</url>
	<title>EduVET</title>
	<link>https://eduvet.vn</link>
	<width>32</width>
	<height>32</height>
</image> 
	<item>
		<title>Tích dịch ổ bụng và khoang ngực ở chó mèo</title>
		<link>https://eduvet.vn/tich-dich-o-bung-va-khoang-nguc-o-cho-meo/</link>
					<comments>https://eduvet.vn/tich-dich-o-bung-va-khoang-nguc-o-cho-meo/#respond</comments>
		
		<dc:creator><![CDATA[qcv]]></dc:creator>
		<pubDate>Sat, 08 Nov 2025 17:26:56 +0000</pubDate>
				<category><![CDATA[BỆNH NỘI KHOA]]></category>
		<category><![CDATA[dịch ổ bụng]]></category>
		<category><![CDATA[dịch thấm]]></category>
		<category><![CDATA[ổ bụng]]></category>
		<guid isPermaLink="false">https://eduvet.vn/?p=3793</guid>

					<description><![CDATA[<p>I. Mục tiêu Giúp bác sĩ thú y nhận biết, phân biệt và định hướng nguyên nhân của các loại dịch tích tụ trong ổ bụng hoặc khoang ngực, thông qua quan sát lâm sàng và xét nghiệm cơ bản. II. Thực hành lâm sàng – Nhận biết bằng mắt thường Khi rút dịch ổ [&#8230;]</p>
<p>The post <a rel="nofollow" href="https://eduvet.vn/tich-dich-o-bung-va-khoang-nguc-o-cho-meo/">Tích dịch ổ bụng và khoang ngực ở chó mèo</a> appeared first on <a rel="nofollow" href="https://eduvet.vn">EduVET</a>.</p>
]]></description>
										<content:encoded><![CDATA[<h2 data-start="462" data-end="482"><span style="font-family: helvetica, arial, sans-serif;"><strong data-start="467" data-end="482">I. Mục tiêu</strong></span></h2>
<p data-start="483" data-end="662"><span style="font-size: 14pt; font-family: helvetica, arial, sans-serif;">Giúp bác sĩ thú y nhận biết, phân biệt và định hướng nguyên nhân của các loại dịch tích tụ trong ổ bụng hoặc khoang ngực, thông qua quan sát lâm sàng và xét nghiệm cơ bản.</span></p>
<hr data-start="664" data-end="667" />
<h2 data-start="669" data-end="728"><span style="font-family: helvetica, arial, sans-serif;"><strong data-start="674" data-end="728">II. Thực hành lâm sàng – Nhận biết bằng mắt thường</strong></span></h2>
<p data-start="730" data-end="880"><span style="font-size: 14pt; font-family: helvetica, arial, sans-serif;">Khi rút dịch ổ bụng hoặc dịch khoang ngực, bước đầu tiên là quan sát đặc điểm đại thể (mắt thường).</span><br data-start="833" data-end="836" /><span style="font-size: 14pt; font-family: helvetica, arial, sans-serif;">Chúng ta có thể chia làm hai nhóm chính:</span></p>
<p data-start="885" data-end="907"><span style="font-family: helvetica, arial, sans-serif;"><strong><span style="font-size: 14pt;">1.Nhóm dịch trong:</span></strong></span></p>
<p><span style="font-family: helvetica, arial, sans-serif;"><img fetchpriority="high" decoding="async" class=" wp-image-3794 aligncenter" src="https://eduvet.vn/wp-content/uploads/2025/10/1-29-300x188.jpg" alt="" width="739" height="463" srcset="https://eduvet.vn/wp-content/uploads/2025/10/1-29-300x188.jpg 300w, https://eduvet.vn/wp-content/uploads/2025/10/1-29-1024x640.jpg 1024w, https://eduvet.vn/wp-content/uploads/2025/10/1-29-768x480.jpg 768w, https://eduvet.vn/wp-content/uploads/2025/10/1-29-1536x960.jpg 1536w, https://eduvet.vn/wp-content/uploads/2025/10/1-29-2048x1280.jpg 2048w, https://eduvet.vn/wp-content/uploads/2025/10/1-29-600x375.jpg 600w" sizes="(max-width: 739px) 100vw, 739px" /></span><span style="font-size: 14pt; font-family: helvetica, arial, sans-serif;">Màu sắc: trong suốt như nước, hoặc trắng trong – hơi ngả vàng.</span></p>
<p><span style="font-size: 14pt; font-family: helvetica, arial, sans-serif;">Không có cặn, không có “lợn cợn” hay tạp chất tế bào.</span></p>
<p><span style="font-size: 14pt; font-family: helvetica, arial, sans-serif;">Thường gặp trong các tình huống: dịch thấm (transudate) – ví dụ: suy tim, xơ gan, giảm protein máu.</span></p>
<p><span style="font-family: helvetica, arial, sans-serif;"><strong><span style="font-size: 14pt;">2.Nhóm dịch đục hoặc đỏ:</span></strong></span></p>
<p><span style="font-family: helvetica, arial, sans-serif;"><img decoding="async" class=" wp-image-3795 aligncenter" src="https://eduvet.vn/wp-content/uploads/2025/10/2-28-300x188.jpg" alt="" width="811" height="508" srcset="https://eduvet.vn/wp-content/uploads/2025/10/2-28-300x188.jpg 300w, https://eduvet.vn/wp-content/uploads/2025/10/2-28-1024x640.jpg 1024w, https://eduvet.vn/wp-content/uploads/2025/10/2-28-768x480.jpg 768w, https://eduvet.vn/wp-content/uploads/2025/10/2-28-1536x960.jpg 1536w, https://eduvet.vn/wp-content/uploads/2025/10/2-28-2048x1280.jpg 2048w, https://eduvet.vn/wp-content/uploads/2025/10/2-28-600x375.jpg 600w" sizes="(max-width: 811px) 100vw, 811px" /></span></p>
<ul>
<li data-start="1190" data-end="1244"><span style="font-size: 14pt; font-family: helvetica, arial, sans-serif;">Màu vàng đục, trắng đục, đôi khi đỏ hoặc nâu đỏ.</span></li>
<li data-start="1250" data-end="1332"><span style="font-size: 14pt; font-family: helvetica, arial, sans-serif;">Có nhiều hạt lơ lửng (“lợn cợn”) do chứa tế bào viêm, hồng cầu, protein cao.</span></li>
<li data-start="1338" data-end="1484"><span style="font-family: helvetica, arial, sans-serif;"><span style="font-size: 14pt;">Thường là dịch tiết – do viêm, nhiễm khuẩn, hoặc dịch máu khi khối u vỡ hoặc mạch máu tổn thương.</span><span style="font-size: 14pt;"><em data-start="1491" data-end="1499">Lưu ý:</em> Khi rút dịch để quan sát, nên dùng kim to (cỡ 18G–20G), vì kim nhỏ dễ làm nghẽn dòng và khó nhận biết hạt tế bào.</span></span></li>
</ul>
<hr data-start="1619" data-end="1622" />
<h2><span style="font-family: helvetica, arial, sans-serif;"><strong data-start="1629" data-end="1670">III. Phân loại theo đặc điểm sinh hóa</strong></span></h2>
<p><span style="font-size: 14pt; font-family: helvetica, arial, sans-serif;">Sau khi hút dịch, có thể xét nghiệm thêm để xác định chính xác hơn, gồm hai nhóm lớn</span></p>
<table class="w-fit min-w-(--thread-content-width)" style="width: 85.0753%;" data-start="1758" data-end="2010">
<thead data-start="1758" data-end="1803">
<tr data-start="1758" data-end="1803">
<th style="width: 26.3089%;" data-start="1758" data-end="1765" data-col-size="sm"><span style="font-size: 14pt; font-family: helvetica, arial, sans-serif;">Nhóm</span></th>
<th style="width: 16.4921%;" data-start="1765" data-end="1782" data-col-size="sm"><span style="font-size: 14pt; font-family: helvetica, arial, sans-serif;">Protein (g/dL)</span></th>
<th style="width: 8.50785%;" data-start="1782" data-end="1791" data-col-size="sm"><span style="font-size: 14pt; font-family: helvetica, arial, sans-serif;">Tế bào</span></th>
<th style="width: 85.8639%;" data-start="1791" data-end="1803" data-col-size="md"><span style="font-size: 14pt; font-family: helvetica, arial, sans-serif;">Đặc điểm</span></th>
</tr>
</thead>
<tbody data-start="1851" data-end="2010">
<tr data-start="1851" data-end="1923">
<td style="width: 26.3089%;" data-start="1851" data-end="1880" data-col-size="sm"><span style="font-size: 14pt; font-family: helvetica, arial, sans-serif;">Dịch thấm (Transudate)</span></td>
<td style="width: 16.4921%;" data-start="1880" data-end="1887" data-col-size="sm"><span style="font-size: 14pt; font-family: helvetica, arial, sans-serif;">&lt;2.5</span></td>
<td style="width: 8.50785%;" data-start="1887" data-end="1892" data-col-size="sm"><span style="font-size: 14pt; font-family: helvetica, arial, sans-serif;">Ít</span></td>
<td style="width: 85.8639%;" data-start="1892" data-end="1923" data-col-size="md"><span style="font-size: 14pt; font-family: helvetica, arial, sans-serif;">Trong, vàng nhạt, không đục</span></td>
</tr>
<tr data-start="1924" data-end="2010">
<td style="width: 26.3089%;" data-start="1924" data-end="1950" data-col-size="sm"><span style="font-size: 14pt; font-family: helvetica, arial, sans-serif;">Dịch tiết (Exudate)</span></td>
<td style="width: 16.4921%;" data-start="1950" data-end="1957" data-col-size="sm"><span style="font-size: 14pt; font-family: helvetica, arial, sans-serif;">&gt;3.0</span></td>
<td style="width: 8.50785%;" data-start="1957" data-end="1965" data-col-size="sm"><span style="font-size: 14pt; font-family: helvetica, arial, sans-serif;">Nhiều</span></td>
<td style="width: 85.8639%;" data-start="1965" data-end="2010" data-col-size="md"><span style="font-size: 14pt; font-family: helvetica, arial, sans-serif;">Đục, có mủ, có tế bào viêm, có thể đỏ máu</span></td>
</tr>
</tbody>
</table>
<p>&nbsp;</p>
<p><span style="font-size: 14pt; font-family: helvetica, arial, sans-serif;">Nếu dịch ở mức trung gian (Protein 2.5–3.0 g/dL) → Dịch thấm biến đổi (Modified Transudate) — thường gặp trong suy tim, viêm mạn tính nhẹ, tắc mạch bạch huyết.</span></p>
<hr data-start="2181" data-end="2184" />
<h2><span style="font-family: helvetica, arial, sans-serif;"><strong data-start="2191" data-end="2229">IV. Phản ứng Rivalt (Rivalta test)</strong></span></h2>
<p><span style="font-size: 14pt; font-family: helvetica, arial, sans-serif;">Đây là xét nghiệm đơn giản để phân biệt dịch tiết và dịch thấm.</span></p>
<p><strong><span style="font-size: 14pt; font-family: helvetica, arial, sans-serif;">Cách thực hiện:</span></strong></p>
<ul>
<li data-start="2315" data-end="2381">
<p data-start="2317" data-end="2381"><span style="font-size: 14pt; font-family: helvetica, arial, sans-serif;">Chuẩn bị một cốc nước cất + vài giọt acid acetic (giấm trắng).</span></p>
</li>
<li data-start="2382" data-end="2408">
<p data-start="2384" data-end="2408"><span style="font-size: 14pt; font-family: helvetica, arial, sans-serif;">Nhỏ một giọt dịch vào.</span></p>
</li>
</ul>
<p><strong><span style="font-size: 14pt; font-family: helvetica, arial, sans-serif;">Kết quả:</span></strong></p>
<ul>
<li data-start="2423" data-end="2488">
<p data-start="2425" data-end="2488"><span style="font-size: 14pt; font-family: helvetica, arial, sans-serif;">Âm tính: giọt dịch tan ngay → dịch thấm </span></p>
</li>
<li data-start="2489" data-end="2580">
<p data-start="2491" data-end="2580"><span style="font-size: 14pt; font-family: helvetica, arial, sans-serif;">Dương tính: giọt dịch giữ hình dạng, lơ lửng hoặc rơi chậm → dịch tiết</span></p>
</li>
<li data-start="2489" data-end="2580">
<p data-start="2491" data-end="2580"><span style="font-family: helvetica, arial, sans-serif;"><span style="font-size: 14pt;">Phản ứng Rivalta đặc biệt hữu ích trong chẩn đoán viêm phúc mạc truyền nhiễm mèo (FIP) – thường dương tính mạnh.</span></span></p>
</li>
</ul>
<hr data-start="2705" data-end="2708" />
<h2><span style="font-family: helvetica, arial, sans-serif;"><strong data-start="2715" data-end="2767">V. Định hướng nguyên nhân sau khi phân loại dịch</strong></span></h2>
<ol data-start="2769" data-end="3292">
<li data-start="2769" data-end="3008">
<p data-start="2772" data-end="2806"><span style="font-family: helvetica, arial, sans-serif;"><strong><span style="font-size: 14pt;">Nếu là dịch thấm:</span></strong></span></p>
<ul data-start="2810" data-end="3008">
<li data-start="2810" data-end="2882">
<p data-start="2812" data-end="2882"><span style="font-size: 14pt; font-family: helvetica, arial, sans-serif;">Suy tim sung huyết: niêm mạc nhợt nhạt, tim to, đôi khi có ngất.</span></p>
</li>
<li data-start="2886" data-end="2956">
<p data-start="2888" data-end="2956"><span style="font-size: 14pt; font-family: helvetica, arial, sans-serif;">Giảm protein máu: do bệnh gan, mất protein qua thận hoặc ruột.</span></p>
</li>
<li data-start="2960" data-end="3008">
<p data-start="2962" data-end="3008"><span style="font-size: 14pt; font-family: helvetica, arial, sans-serif;">Tăng áp lực tĩnh mạch cửa hoặc xơ gan.</span></p>
</li>
</ul>
</li>
<li data-start="3010" data-end="3184">
<p data-start="3013" data-end="3044"><span style="font-family: helvetica, arial, sans-serif;"><strong><span style="font-size: 14pt;">Nếu là dịch tiết:</span></strong></span></p>
<ul data-start="3048" data-end="3184">
<li data-start="3048" data-end="3095">
<p data-start="3050" data-end="3095"><span style="font-size: 14pt; font-family: helvetica, arial, sans-serif;">Viêm phúc mạc, viêm màng phổi, FIP ở mèo.</span></p>
</li>
<li data-start="3099" data-end="3140">
<p data-start="3101" data-end="3140"><span style="font-size: 14pt; font-family: helvetica, arial, sans-serif;">Khối u, áp-xe, tổn thương mạch máu.</span></p>
</li>
<li data-start="3144" data-end="3184">
<p data-start="3146" data-end="3184"><span style="font-size: 14pt; font-family: helvetica, arial, sans-serif;">Nhiễm trùng vi khuẩn hoặc nấm.</span></p>
</li>
</ul>
</li>
<li data-start="3186" data-end="3292">
<p data-start="3189" data-end="3232"><span style="font-family: helvetica, arial, sans-serif;"><strong><span style="font-size: 14pt;">Nếu là dịch máu:</span></strong></span></p>
<ul data-start="3236" data-end="3292">
<li data-start="3236" data-end="3292">
<p data-start="3238" data-end="3292"><span style="font-size: 14pt; font-family: helvetica, arial, sans-serif;">Do chấn thương, khối u vỡ, hoặc rối loạn đông máu.</span></p>
</li>
</ul>
</li>
</ol>
<hr data-start="3294" data-end="3297" />
<h2><span style="font-family: helvetica, arial, sans-serif;"><strong data-start="3304" data-end="3339">VI. Quy trình tiếp cận và xử lý</strong></span></h2>
<ol data-start="3340" data-end="3635">
<li data-start="3340" data-end="3371">
<p data-start="3343" data-end="3371"><span style="font-size: 14pt; font-family: helvetica, arial, sans-serif;">Quan sát dịch đại thể.</span></p>
</li>
<li data-start="3372" data-end="3423">
<p data-start="3375" data-end="3423"><span style="font-size: 14pt; font-family: helvetica, arial, sans-serif;">Thực hiện Rivalta test (nếu có điều kiện).</span></p>
</li>
<li data-start="3424" data-end="3509">
<p data-start="3427" data-end="3509"><span style="font-size: 14pt; font-family: helvetica, arial, sans-serif;">Gửi mẫu đi xét nghiệm tế bào học hoặc sinh hóa (protein, tế bào, cấy khuẩn).</span></p>
</li>
<li data-start="3510" data-end="3567">
<p data-start="3513" data-end="3567"><span style="font-size: 14pt; font-family: helvetica, arial, sans-serif;">Tìm nguyên nhân bằng lâm sàng, siêu âm, X-quang.</span></p>
</li>
<li data-start="3568" data-end="3635">
<p data-start="3571" data-end="3635"><span style="font-size: 14pt; font-family: helvetica, arial, sans-serif;">Điều trị nguyên nhân chính thay vì chỉ điều trị triệu chứng.</span></p>
</li>
<li data-start="3568" data-end="3635">
<p data-start="3571" data-end="3635"><span style="font-family: helvetica, arial, sans-serif;"><span style="font-size: 14pt;">Mỗi nguyên nhân (suy tim, suy gan, FIP, khối u, nhiễm trùng&#8230;) đều có phác đồ điều trị riêng biệt.</span></span></p>
</li>
</ol>
<hr data-start="3836" data-end="3839" />
<p><span style="font-size: 18pt; font-family: helvetica, arial, sans-serif;"><strong data-start="3846" data-end="3873">Tài liệu tham khảo</strong></span></p>
<ol data-start="3875" data-end="4432">
<li data-start="3875" data-end="3984">
<p data-start="3878" data-end="3984"><span style="font-size: 14pt; font-family: helvetica, arial, sans-serif;">Ettinger, S. J. &amp; Feldman, E. C. (2017). <em data-start="3919" data-end="3961">Textbook of Veterinary Internal Medicine</em> (8th ed.). Elsevier.</span></p>
</li>
<li data-start="3985" data-end="4103">
<p data-start="3988" data-end="4103"><span style="font-size: 14pt; font-family: helvetica, arial, sans-serif;">Willard, M. D. &amp; Tvedten, H. (2022). <em data-start="4025" data-end="4080">Small Animal Clinical Diagnosis by Laboratory Methods</em> (6th ed.). Elsevier.</span></p>
</li>
<li data-start="4104" data-end="4196">
<p data-start="4107" data-end="4196"><span style="font-size: 14pt; font-family: helvetica, arial, sans-serif;">Nelson, R. W. &amp; Couto, C. G. (2020). <em data-start="4144" data-end="4176">Small Animal Internal Medicine</em> (6th ed.). Mosby.</span></p>
</li>
<li data-start="4197" data-end="4310">
<p data-start="4200" data-end="4310"><span style="font-size: 14pt; font-family: helvetica, arial, sans-serif;">BS. Nguyễn Văn T., <em data-start="4219" data-end="4307">Bài giảng Nội khoa thú y – Dịch học và chẩn đoán phân biệt dịch ổ bụng, dịch màng phổi</em>.</span></p>
</li>
<li data-start="4311" data-end="4432">
<p data-start="4314" data-end="4432"><span style="font-size: 14pt; font-family: helvetica, arial, sans-serif;">Hartmann, K. (2005). <em data-start="4335" data-end="4393">Rivalta test in feline infectious peritonitis diagnosis.</em> <em data-start="4394" data-end="4413">Veterinary Record</em>, 157(18), 556–558.</span></p>
</li>
</ol>
<p>&nbsp;</p>
<p style="text-align: right;"><span style="color: #ff6600; font-size: 14pt; font-family: helvetica, arial, sans-serif;"><em>Hãy liên hệ ngay với EduVET nếu có bất kỳ thắc mắc nào!</em></span></p>
<div class="host-bincmiainjofjnhchmcalkanjebghoen" style="position: relative; z-index: 2147483647;"></div>
<p>The post <a rel="nofollow" href="https://eduvet.vn/tich-dich-o-bung-va-khoang-nguc-o-cho-meo/">Tích dịch ổ bụng và khoang ngực ở chó mèo</a> appeared first on <a rel="nofollow" href="https://eduvet.vn">EduVET</a>.</p>
]]></content:encoded>
					
					<wfw:commentRss>https://eduvet.vn/tich-dich-o-bung-va-khoang-nguc-o-cho-meo/feed/</wfw:commentRss>
			<slash:comments>0</slash:comments>
		
		
			</item>
		<item>
		<title>Chó mèo vàng da thiếu máu nguyên nhân do đâu</title>
		<link>https://eduvet.vn/cho-meo-vang-da-thieu-mau-nguyen-nhan-do-dau/</link>
					<comments>https://eduvet.vn/cho-meo-vang-da-thieu-mau-nguyen-nhan-do-dau/#respond</comments>
		
		<dc:creator><![CDATA[qcv]]></dc:creator>
		<pubDate>Fri, 07 Nov 2025 16:31:28 +0000</pubDate>
				<category><![CDATA[BỆNH NỘI KHOA]]></category>
		<category><![CDATA[chó mèo]]></category>
		<category><![CDATA[chó vàng da]]></category>
		<category><![CDATA[mèo thiếu máu]]></category>
		<category><![CDATA[thiếu máu]]></category>
		<category><![CDATA[vàng da]]></category>
		<guid isPermaLink="false">https://eduvet.vn/?p=3280</guid>

					<description><![CDATA[<p>Vàng da kèm thiếu máu &#8211; tư duy chẩn đoán theo 4 nhóm nguyên nhân Nếu mà vàng da mà thiếu máu tức là HCT thấp, có 4 nhóm nguyên nhân hay gặp nhất, và mình sẽ đi từng cái một cho rõ ràng. Nhóm 1 – Ký sinh trùng máu Ký sinh trùng máu [&#8230;]</p>
<p>The post <a rel="nofollow" href="https://eduvet.vn/cho-meo-vang-da-thieu-mau-nguyen-nhan-do-dau/">Chó mèo vàng da thiếu máu nguyên nhân do đâu</a> appeared first on <a rel="nofollow" href="https://eduvet.vn">EduVET</a>.</p>
]]></description>
										<content:encoded><![CDATA[<h2 data-start="101" data-end="177"><span style="font-size: 18pt; font-family: helvetica, arial, sans-serif;"><strong data-start="101" data-end="177">Vàng da kèm thiếu máu &#8211; tư duy chẩn đoán theo 4 nhóm nguyên nhân</strong></span></h2>
<blockquote>
<p data-start="181" data-end="303"><span style="font-size: 14pt; font-family: helvetica, arial, sans-serif;">Nếu mà vàng da mà thiếu máu tức là HCT thấp, có 4 nhóm nguyên nhân hay gặp nhất, và mình sẽ đi từng cái một cho rõ ràng.</span></p>
</blockquote>
<p data-start="323" data-end="353"><span style="font-size: 14pt; font-family: helvetica, arial, sans-serif;"><strong><span style="color: #0000ff;">Nhóm 1 – Ký sinh trùng máu</span></strong></span></p>
<figure id="attachment_3282" aria-describedby="caption-attachment-3282" style="width: 300px" class="wp-caption alignright"><img decoding="async" class="wp-image-3282 size-medium" src="https://eduvet.vn/wp-content/uploads/2025/08/Vuong-edit-quynh-300x300.jpg" alt="Babesia - Hồng cầu" width="300" height="300" srcset="https://eduvet.vn/wp-content/uploads/2025/08/Vuong-edit-quynh-300x300.jpg 300w, https://eduvet.vn/wp-content/uploads/2025/08/Vuong-edit-quynh-1024x1024.jpg 1024w, https://eduvet.vn/wp-content/uploads/2025/08/Vuong-edit-quynh-150x150.jpg 150w, https://eduvet.vn/wp-content/uploads/2025/08/Vuong-edit-quynh-768x768.jpg 768w, https://eduvet.vn/wp-content/uploads/2025/08/Vuong-edit-quynh-1536x1536.jpg 1536w, https://eduvet.vn/wp-content/uploads/2025/08/Vuong-edit-quynh-2048x2048.jpg 2048w, https://eduvet.vn/wp-content/uploads/2025/08/Vuong-edit-quynh-600x600.jpg 600w" sizes="(max-width: 300px) 100vw, 300px" /><figcaption id="caption-attachment-3282" class="wp-caption-text"><span style="font-family: helvetica, arial, sans-serif;">Babesia &#8211; Hồng cầu</span></figcaption></figure>
<ul data-start="355" data-end="721">
<li data-start="355" data-end="544">
<p data-start="357" data-end="414"><span style="font-size: 14pt; font-family: helvetica, arial, sans-serif;">Ký sinh trùng máu là nguyên nhân đầu tiên mình nghĩ tới</span></p>
<ul data-start="417" data-end="544">
<li data-start="417" data-end="492">
<p data-start="419" data-end="492"><span style="font-size: 14pt; font-family: helvetica, arial, sans-serif;">Vì sao? Vì ký sinh trùng máu nó vào, nó làm vỡ hồng cầu → gây thiếu máu</span></p>
</li>
<li data-start="495" data-end="544">
<p data-start="497" data-end="544"><span style="font-size: 14pt; font-family: helvetica, arial, sans-serif;">Vậy thì thiếu máu cộng thêm vàng da là hợp lý</span></p>
</li>
</ul>
</li>
<li data-start="546" data-end="627">
<p data-start="548" data-end="577"><span style="font-size: 14pt; font-family: helvetica, arial, sans-serif;"><strong data-start="548" data-end="574">Triệu chứng thường gặp</strong>:</span></p>
<ul data-start="580" data-end="627">
<li data-start="580" data-end="587">
<p data-start="582" data-end="587"><span style="font-size: 14pt; font-family: helvetica, arial, sans-serif;">Sốt</span></p>
</li>
<li data-start="590" data-end="607">
<p data-start="592" data-end="607"><span style="font-size: 14pt; font-family: helvetica, arial, sans-serif;">Giảm tiểu cầu</span></p>
</li>
<li data-start="610" data-end="627">
<p data-start="612" data-end="627"><span style="font-size: 14pt; font-family: helvetica, arial, sans-serif;">Giảm hồng cầu</span></p>
</li>
</ul>
</li>
<li data-start="629" data-end="721">
<p data-start="631" data-end="651"><span style="font-size: 14pt; font-family: helvetica, arial, sans-serif;"><strong data-start="631" data-end="648">Cách xác định</strong>:</span></p>
<ul data-start="654" data-end="721">
<li data-start="654" data-end="677">
<p data-start="656" data-end="677"><span style="font-size: 14pt; font-family: helvetica, arial, sans-serif;">Soi máu (nhuộm soi)</span></p>
</li>
<li data-start="680" data-end="694">
<p data-start="682" data-end="694"><span style="font-size: 14pt; font-family: helvetica, arial, sans-serif;">Test nhanh</span></p>
</li>
<li data-start="697" data-end="721">
<p data-start="699" data-end="721"><span style="font-size: 14pt; font-family: helvetica, arial, sans-serif;">PCR nếu có điều kiện</span></p>
</li>
</ul>
</li>
</ul>
<p data-start="741" data-end="843"><span style="font-size: 14pt; font-family: helvetica, arial, sans-serif;"><strong data-start="741" data-end="763">Babesia – Hồng cầu</strong></span><br data-start="763" data-end="766" /><span style="font-size: 14pt; font-family: helvetica, arial, sans-serif;">(Hình ảnh ký sinh trùng Babesia trong hồng cầu được đánh dấu bằng mũi tên).</span></p>
<p data-start="863" data-end="965"><span style="font-size: 14pt; font-family: helvetica, arial, sans-serif;"><strong data-start="863" data-end="888">Mycoplasma – Hồng cầu</strong></span><br data-start="888" data-end="891" /><span style="font-size: 14pt; font-family: helvetica, arial, sans-serif;">(Hình ảnh ký sinh trùng Mycoplasma bám trên hồng cầu, được chỉ mũi tên).</span></p>
<p data-start="985" data-end="1109"><span style="font-size: 14pt; font-family: helvetica, arial, sans-serif;"><strong data-start="985" data-end="1009">Cytauzoon – Hồng cầu</strong></span><br data-start="1009" data-end="1012" /><span style="font-size: 14pt; font-family: helvetica, arial, sans-serif;">(Hình ảnh ký sinh trùng Cytauzoon trong hồng cầu, phóng đại 1000x, mũi tên chỉ vị trí ký sinh).</span></p>
<hr />
<h3 data-start="1129" data-end="1170"><span style="color: #0000ff; font-size: 14pt; font-family: helvetica, arial, sans-serif;"><strong data-start="1129" data-end="1170">Nhóm 2 – Ngộ độc hoặc nhiễm trùng máu</strong></span></h3>
<ul data-start="1172" data-end="1495">
<li data-start="1172" data-end="1233">
<p data-start="1174" data-end="1186"><span style="font-size: 14pt; font-family: helvetica, arial, sans-serif;">Có thể do:</span></p>
<ul data-start="1189" data-end="1233">
<li data-start="1189" data-end="1208">
<p data-start="1191" data-end="1208"><span style="font-size: 14pt; font-family: helvetica, arial, sans-serif;">Nhiễm trùng máu</span></p>
</li>
<li data-start="1211" data-end="1233">
<p data-start="1213" data-end="1233"><span style="font-size: 14pt; font-family: helvetica, arial, sans-serif;">Ngộ độc chất gì đó</span></p>
</li>
</ul>
</li>
<li data-start="1235" data-end="1372">
<p data-start="1237" data-end="1262"><span style="font-size: 14pt; font-family: helvetica, arial, sans-serif;"><strong data-start="1237" data-end="1259">Hai kiểu diễn tiến</strong>:</span></p>
<ul data-start="1265" data-end="1372">
<li data-start="1265" data-end="1343">
<p data-start="1267" data-end="1343"><span style="font-size: 14pt; font-family: helvetica, arial, sans-serif;"><strong data-start="1267" data-end="1277">Một là</strong>: tự khỏi sau vài ngày (có thể lúc đầu gây viêm gan, rồi tự hết)</span></p>
</li>
<li data-start="1346" data-end="1372">
<p data-start="1348" data-end="1372"><span style="font-size: 14pt; font-family: helvetica, arial, sans-serif;"><strong data-start="1348" data-end="1358">Hai là</strong>: chết nhanh</span></p>
</li>
</ul>
</li>
<li data-start="1374" data-end="1495">
<p data-start="1376" data-end="1397"><span style="font-size: 14pt; font-family: helvetica, arial, sans-serif;"><strong data-start="1376" data-end="1394">Dấu hiệu gợi ý</strong>:</span></p>
<ul data-start="1400" data-end="1495">
<li data-start="1400" data-end="1444">
<p data-start="1402" data-end="1444"><span style="font-size: 14pt; font-family: helvetica, arial, sans-serif;">Hỏi bệnh sử có nôn mửa, ăn bậy gì không?</span></p>
</li>
<li data-start="1447" data-end="1495">
<p data-start="1449" data-end="1495"><span style="font-size: 14pt; font-family: helvetica, arial, sans-serif;">Có tiếp xúc với thuốc, chất độc, thức ăn lạ?</span></p>
</li>
</ul>
</li>
</ul>
<hr />
<p data-start="130" data-end="233"><span style="font-size: 14pt; font-family: helvetica, arial, sans-serif;"><strong><span style="color: #0000ff;">Nhóm 3 &#8211; Leptospira (xoắn khuẩn)</span></strong></span></p>
<figure id="attachment_3283" aria-describedby="caption-attachment-3283" style="width: 778px" class="wp-caption aligncenter"><img loading="lazy" decoding="async" class="wp-image-3283" src="https://eduvet.vn/wp-content/uploads/2025/08/jaundce-e1638135622718-300x196.jpg" alt="" width="778" height="508" srcset="https://eduvet.vn/wp-content/uploads/2025/08/jaundce-e1638135622718-300x196.jpg 300w, https://eduvet.vn/wp-content/uploads/2025/08/jaundce-e1638135622718-600x393.jpg 600w, https://eduvet.vn/wp-content/uploads/2025/08/jaundce-e1638135622718.jpg 825w" sizes="(max-width: 778px) 100vw, 778px" /><figcaption id="caption-attachment-3283" class="wp-caption-text"><span style="font-family: helvetica, arial, sans-serif; font-size: 12pt;">Biểu hiện vàng da của chó mắc xoắn khuẩn Leptospira </span></figcaption></figure>
<p data-start="130" data-end="233"><br data-start="166" data-end="169" /><span style="font-size: 14pt; font-family: helvetica, arial, sans-serif;">Đây là nguyên nhân hay gặp nhất hiện nay khi vàng da thiếu máu</span></p>
<ul data-start="235" data-end="377">
<li data-start="235" data-end="326">
<p data-start="237" data-end="326"><span style="font-size: 14pt; font-family: helvetica, arial, sans-serif;">Có <strong data-start="240" data-end="268">3 chỉ điểm luôn đi chung</strong>:</span><br data-start="269" data-end="272" /><span style="font-size: 14pt; font-family: helvetica, arial, sans-serif;">◦ Sốt</span><br data-start="279" data-end="282" /><span style="font-size: 14pt; font-family: helvetica, arial, sans-serif;">◦ Viêm gan (GOT, GPT tăng)</span><br data-start="310" data-end="313" /><span style="font-size: 14pt; font-family: helvetica, arial, sans-serif;">◦ Vàng da</span></p>
</li>
<li data-start="328" data-end="377">
<p data-start="330" data-end="377"><span style="font-size: 14pt; font-family: helvetica, arial, sans-serif;">Không có đủ 3 cái này thì loại trừ được Lepto</span></p>
</li>
</ul>
<p data-start="379" data-end="396"><span style="font-size: 14pt; font-family: helvetica, arial, sans-serif;"><strong data-start="379" data-end="394">Cơ chế bệnh</strong></span></p>
<ul data-start="397" data-end="494">
<li data-start="397" data-end="447">
<p data-start="399" data-end="447"><span style="font-size: 14pt; font-family: helvetica, arial, sans-serif;">Lepto tiết ra độc tố → gây viêm mạch toàn thân</span></p>
</li>
<li data-start="448" data-end="494">
<p data-start="450" data-end="494"><span style="font-size: 14pt; font-family: helvetica, arial, sans-serif;">Viêm mạch gan → viêm gan → ứ mật → vàng da</span></p>
</li>
</ul>
<p data-start="514" data-end="562"><span style="font-size: 14pt; font-family: helvetica, arial, sans-serif;"><strong data-start="514" data-end="560">Leptospira dưới kính hiển vi vật kính x100</strong></span></p>
<p data-start="564" data-end="628"><span style="font-size: 14pt; font-family: helvetica, arial, sans-serif;">(Hình ảnh A–F minh họa vi khuẩn Leptospira dưới kính hiển vi).</span></p>
<p data-start="648" data-end="662"><span style="font-size: 14pt; font-family: helvetica, arial, sans-serif;"><strong data-start="648" data-end="660">Điều trị</strong></span></p>
<ul data-start="663" data-end="845">
<li data-start="663" data-end="752">
<p data-start="665" data-end="752"><span style="font-size: 14pt; font-family: helvetica, arial, sans-serif;">Doxycycline: 5–10 mg/kg mỗi 12 giờ, uống trong 15 ngày</span><br data-start="719" data-end="722" /><span style="font-size: 14pt; font-family: helvetica, arial, sans-serif;">◦ Nếu nôn mửa, thì cầm nôn</span></p>
</li>
<li data-start="753" data-end="845">
<p data-start="755" data-end="845"><span style="font-size: 14pt; font-family: helvetica, arial, sans-serif;">Ampicillin tĩnh mạch: 20 mg/kg mỗi 6 giờ. Vì nhóm này thải nhanh, nên phải chia nhỏ liều</span></p>
</li>
</ul>
<p data-start="847" data-end="863"><span style="font-size: 14pt; font-family: helvetica, arial, sans-serif;"><strong data-start="847" data-end="861">Phòng bệnh</strong></span></p>
<ul data-start="864" data-end="935">
<li data-start="864" data-end="935">
<p data-start="866" data-end="935"><span style="font-size: 14pt; font-family: helvetica, arial, sans-serif;">Trường hợp nghi ngờ tiếp xúc với Lepto → uống Doxy 14 ngày để phòng</span></p>
</li>
</ul>
<hr />
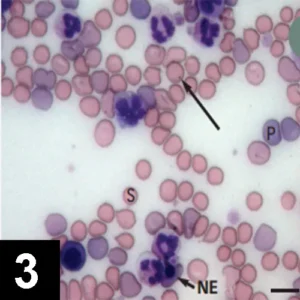
<p data-start="955" data-end="1004"><span style="color: #0000ff; font-size: 14pt; font-family: helvetica, arial, sans-serif;"><strong>Nhóm 4 &#8211; Tự miễn – Tan máu miễn dịch (IMHA)</strong></span></p>
<figure id="attachment_3281" aria-describedby="caption-attachment-3281" style="width: 538px" class="wp-caption aligncenter"><img loading="lazy" decoding="async" class="wp-image-3281 " src="https://eduvet.vn/wp-content/uploads/2025/08/imha-3-7376-article-300x300.webp" alt="IMHA ở chó" width="538" height="538" srcset="https://eduvet.vn/wp-content/uploads/2025/08/imha-3-7376-article-300x300.webp 300w, https://eduvet.vn/wp-content/uploads/2025/08/imha-3-7376-article-150x150.webp 150w, https://eduvet.vn/wp-content/uploads/2025/08/imha-3-7376-article.webp 500w" sizes="(max-width: 538px) 100vw, 538px" /><figcaption id="caption-attachment-3281" class="wp-caption-text"><span style="font-family: helvetica, arial, sans-serif;">Phết máu chó bị IMHA. Có nhiều hồng cầu lưới (P), một hồng cầu có nhân (NE) cho thấy quá trình tái tạo. Các hồng cầu hình cầu (S) nổi bật, đặc trưng cho tán huyết miễn dịch.</span></figcaption></figure>
<ul data-start="1006" data-end="1225">
<li data-start="1006" data-end="1073">
<p data-start="1008" data-end="1073"><span style="font-size: 14pt; font-family: helvetica, arial, sans-serif;">Đây là nhóm thứ tư, rất hay gặp, đặc biệt ở chó, mèo thì ít hơn</span></p>
</li>
<li data-start="1074" data-end="1172">
<p data-start="1076" data-end="1172"><span style="font-size: 14pt; font-family: helvetica, arial, sans-serif;">Khi thiếu máu không rõ nguyên nhân, loại trừ các bệnh khác mà không ra → nghĩ ngay tới tự miễn</span></p>
</li>
<li data-start="1173" data-end="1225">
<p data-start="1175" data-end="1225"><span style="font-size: 14pt; font-family: helvetica, arial, sans-serif;">Mình điều trị thử và đã rất nhiều ca đáp ứng tốt</span></p>
</li>
</ul>
<hr />
<p data-start="3656" data-end="3681"><span style="font-family: helvetica, arial, sans-serif; font-size: 18pt;"><strong data-start="3656" data-end="3678">Tài liệu tham khảo</strong>:</span></p>
<ul data-start="3682" data-end="3989">
<li data-start="3682" data-end="3828">
<p data-start="3684" data-end="3828"><span style="font-family: helvetica, arial, sans-serif; font-size: 14pt;">Piek CJ. “Canine idiopathic immune-mediated hemolytic anemia: a review with recommendations for future research.” <em data-start="3798" data-end="3806">Vet Q.</em> 2011;31(3):129–141.</span></p>
</li>
<li data-start="3829" data-end="3989">
<p data-start="3831" data-end="3989"><span style="font-family: helvetica, arial, sans-serif; font-size: 14pt;">Garden OA, et al. “ACVIM consensus statement on the diagnosis of immune-mediated hemolytic anemia in dogs and cats.” <em data-start="3948" data-end="3967">J Vet Intern Med.</em> 2019;33(2):313–334.</span></p>
</li>
</ul>
<div id="ag-1755401600480" style="text-align: right;"><span style="color: #ff6600; font-family: helvetica, arial, sans-serif;"><em>EduVET – Đào tạo siêu ứng dụng – Hãy liên hệ với EduVET ngay nếu có bất kỳ thắc mắc nào</em></span></div>
<div class="simg-pop-btn" style="position: absolute; z-index: 1000; top: 185.812px; left: 967px; display: none;"></div>
<div class="simg-pop-btn" style="position: absolute; z-index: 1000; top: 177.812px; left: 14px; display: none;"></div>
<div class="simg-pop-btn" style="position: absolute; z-index: 1000; top: 1443.53px; left: 251.5px; display: none;"></div>
<div class="simg-pop-btn" style="position: absolute; z-index: 1000; top: 1443.53px; left: 490.5px; display: none;"></div>
<div class="simg-pop-btn" style="position: absolute; z-index: 1000; top: 2763.88px; left: 14px; display: none;"></div>
<div class="simg-pop-btn" style="position: absolute; z-index: 1000; top: 2772.31px; left: 967px; display: none;"></div>
<div class="host-bincmiainjofjnhchmcalkanjebghoen" style="position: relative; z-index: 2147483647;"></div>
<div class="host-bincmiainjofjnhchmcalkanjebghoen" style="position: relative; z-index: 2147483647;"></div>
<p>The post <a rel="nofollow" href="https://eduvet.vn/cho-meo-vang-da-thieu-mau-nguyen-nhan-do-dau/">Chó mèo vàng da thiếu máu nguyên nhân do đâu</a> appeared first on <a rel="nofollow" href="https://eduvet.vn">EduVET</a>.</p>
]]></content:encoded>
					
					<wfw:commentRss>https://eduvet.vn/cho-meo-vang-da-thieu-mau-nguyen-nhan-do-dau/feed/</wfw:commentRss>
			<slash:comments>0</slash:comments>
		
		
			</item>
		<item>
		<title>Chó con 2 chân sau yếu, choãi, không đứng lên được</title>
		<link>https://eduvet.vn/cho-con-2-chan-sau-yeu-choai-khong-dung-len-duoc/</link>
					<comments>https://eduvet.vn/cho-con-2-chan-sau-yeu-choai-khong-dung-len-duoc/#respond</comments>
		
		<dc:creator><![CDATA[qcv]]></dc:creator>
		<pubDate>Fri, 07 Nov 2025 16:30:05 +0000</pubDate>
				<category><![CDATA[BỆNH NGOẠI KHOA THÚ Y]]></category>
		<category><![CDATA[2 chân sau chó con]]></category>
		<category><![CDATA[chó con choãi 2 chân sau]]></category>
		<category><![CDATA[chó con choãi chân]]></category>
		<category><![CDATA[liệt 2 chân sau]]></category>
		<guid isPermaLink="false">https://eduvet.vn/?p=3202</guid>

					<description><![CDATA[<p>Hội chứng chó con bơi (Swimmer Puppy Syndrome) là gì? Video tham khảo về hội chứng chó con bơi, 2 chân sau yếu do di chuyển trên sàn trơn nhiều Là một bệnh ở chó mèo sơ sinh, chó mèo không thể đứng lên được bẹp và có động tác xòe sang 2 bên, thường [&#8230;]</p>
<p>The post <a rel="nofollow" href="https://eduvet.vn/cho-con-2-chan-sau-yeu-choai-khong-dung-len-duoc/">Chó con 2 chân sau yếu, choãi, không đứng lên được</a> appeared first on <a rel="nofollow" href="https://eduvet.vn">EduVET</a>.</p>
]]></description>
										<content:encoded><![CDATA[<h2><span style="font-family: helvetica, arial, sans-serif;"><strong>Hội chứng chó con bơi (Swimmer Puppy Syndrome) là gì?</strong></span></h2>
<p><span style="font-size: 14pt; font-family: helvetica, arial, sans-serif;">Video tham khảo về hội chứng chó con bơi, 2 chân sau yếu do di chuyển trên sàn trơn nhiều</span></p>
<p><iframe loading="lazy" title="Chó bị choãi 2 chân sau do sàn trơn #shorts" width="540" height="960" src="https://www.youtube.com/embed/uL-B2wd3Sj4?feature=oembed" frameborder="0" allow="accelerometer; autoplay; clipboard-write; encrypted-media; gyroscope; picture-in-picture; web-share" referrerpolicy="strict-origin-when-cross-origin" allowfullscreen></iframe></p>
<p><span style="font-size: 14pt; font-family: helvetica, arial, sans-serif;">Là một bệnh ở chó mèo sơ sinh, chó mèo không thể đứng lên được bẹp và có động tác xòe sang 2 bên, thường thấy ở 2 chân sau, hoặc cả 4 chân (ít thấy ở cả 4 chân) . Thường thấy ở chó hơn mèo</span></p>
<ul>
<li><span style="font-size: 14pt; font-family: helvetica, arial, sans-serif;">Chó con nằm bẹp nhiều thường có ngực bẹp, 1 số tình trạng nặng gây biến dạng ngực.</span></li>
<li><span style="font-size: 14pt; font-family: helvetica, arial, sans-serif;">Hậu quả: Chó mèo khó di chuyển, chơi đùa và bú ăn, dẫn đến các vấn đề sức khỏe nghiêm trọng nếu không can thiệp kịp. Lâu dần chó con bị khó thở, dễ trào ngược thức ăn</span></li>
</ul>
<hr />
<h2><span style="font-family: helvetica, arial, sans-serif;"><strong>Nguyên nhân</strong></span> <img loading="lazy" decoding="async" class=" wp-image-4031 aligncenter" src="https://eduvet.vn/wp-content/uploads/2025/11/2-10-300x188.jpg" alt="" width="838" height="525" srcset="https://eduvet.vn/wp-content/uploads/2025/11/2-10-300x188.jpg 300w, https://eduvet.vn/wp-content/uploads/2025/11/2-10-1024x640.jpg 1024w, https://eduvet.vn/wp-content/uploads/2025/11/2-10-768x480.jpg 768w, https://eduvet.vn/wp-content/uploads/2025/11/2-10-1536x960.jpg 1536w, https://eduvet.vn/wp-content/uploads/2025/11/2-10-2048x1280.jpg 2048w, https://eduvet.vn/wp-content/uploads/2025/11/2-10-600x375.jpg 600w" sizes="(max-width: 838px) 100vw, 838px" /></h2>
<ul>
<li><span style="font-size: 14pt; font-family: helvetica, arial, sans-serif;">Thường được thấy ở chó con ở sàn trơn như sàn gạch đá hoa, sàn gỗ trơn, xương khớp chó con yếu nên ở sàn trơn thường bị trượt ra ngoài, lâu ngày bị giãn dây chằng, gây ra hiện tượng yếu 2 chân sau</span></li>
<li><span style="font-size: 14pt; font-family: helvetica, arial, sans-serif;">Chó con béo, cũng là 1 nguyên nhân đi kèm làm bệnh nặng hơn</span></li>
</ul>
<hr />
<h2><span style="font-family: helvetica, arial, sans-serif;"><strong>Điều trị</strong></span></h2>
<ul>
<li><span style="font-size: 14pt; font-family: helvetica, arial, sans-serif;">Với chó con mới chỉ bị choãi chỉ cần thay đổi sàn trơn thành sàn ma sát, kết hợp với vật lý trị liệu và khuyến khích vận động.</span></li>
<li><span style="font-size: 14pt; font-family: helvetica, arial, sans-serif;">Với chó con bị nặng, chân không thể tự chống thẳng lên được nữa, cần bó cố định để giữ tư thế chân thằng và kết hợp với xoa bóp, vận động.</span></li>
<li><span style="font-size: 14pt; font-family: helvetica, arial, sans-serif;">Kết hợp chế độ đinh dưỡng hợp lý hầu hết sẽ khỏi sau 1-2 tuần.</span></li>
</ul>
<p><span style="font-size: 14pt; font-family: helvetica, arial, sans-serif;"><strong>-Vật lý trị liệu</strong></span></p>
<ul>
<li><span style="font-size: 14pt; font-family: helvetica, arial, sans-serif;">Massage và tập luyện khoảng 2h/ngày</span></li>
<li data-start="2400" data-end="2633">
<p data-start="2402" data-end="2416"><span style="font-size: 14pt; font-family: helvetica, arial, sans-serif;">Massage gồm:</span></p>
<ul data-start="2419" data-end="2633">
<li data-start="2419" data-end="2470">
<p data-start="2421" data-end="2470"><span style="font-size: 14pt; font-family: helvetica, arial, sans-serif;">Vuốt nhẹ từ đầu đến chân trong 20 giây/lần.</span></p>
</li>
<li data-start="2473" data-end="2560">
<p data-start="2475" data-end="2560"><span style="font-size: 14pt; font-family: helvetica, arial, sans-serif;">Ép và thả nhẹ lồng ngực mỗi 5 giây trong 1 phút để giúp phổi hoạt động tốt hơn.</span></p>
</li>
<li data-start="2563" data-end="2633">
<p data-start="2565" data-end="2633"><span style="font-size: 14pt; font-family: helvetica, arial, sans-serif;">Xoa bóp hông và các ngón chân (dùng kỹ thuật vuốt và bóp nhẹ).</span></p>
</li>
</ul>
</li>
<li data-start="2634" data-end="2771">
<p data-start="2636" data-end="2712"><span style="font-size: 14pt; font-family: helvetica, arial, sans-serif;">Sau khi massage, tiến hành bài tập gập duỗi cho:</span></p>
<ul data-start="2715" data-end="2771">
<li data-start="2715" data-end="2733">
<p data-start="2717" data-end="2733"><span style="font-size: 14pt; font-family: helvetica, arial, sans-serif;">Các ngón chân.</span></p>
</li>
<li data-start="2736" data-end="2754">
<p data-start="2738" data-end="2754"><span style="font-size: 14pt; font-family: helvetica, arial, sans-serif;">Khớp chân sau.</span></p>
</li>
<li data-start="2757" data-end="2771">
<p data-start="2759" data-end="2771"><span style="font-size: 14pt; font-family: helvetica, arial, sans-serif;">Khớp hông.</span></p>
</li>
</ul>
</li>
<li data-start="2772" data-end="2887">
<p data-start="2774" data-end="2887"><span style="font-size: 14pt; font-family: helvetica, arial, sans-serif;">Đặt chó con đứng trong tư thế bình thường khoảng 1 phút để tập cơ chân và khuyến khích phát triển vận động.</span></p>
</li>
<li data-start="2888" data-end="2966">
<p data-start="2890" data-end="2966"><span style="font-size: 14pt; font-family: helvetica, arial, sans-serif;">Kích thích nhẹ vào đệm bàn chân để giúp hệ thần kinh phản xạ phát triển.</span></p>
</li>
</ul>
<p><span style="font-family: helvetica, arial, sans-serif;"><strong><span style="font-size: 14pt;">-Thay đổi sàn</span></strong></span></p>
<ul>
<li><span style="font-size: 14pt; font-family: helvetica, arial, sans-serif;">Kê chăn hoặc đổi thành sàn bê tông, bất cứ bền mặt nào có độ ma sát để chó con vận động</span></li>
<li><span style="font-size: 14pt; font-family: helvetica, arial, sans-serif;">Khi ngủ, đặt chó con nằm nghiêng để hô hấp dễ hơn và chân không bị choãi</span></li>
</ul>
<p><span style="font-family: helvetica, arial, sans-serif;"><strong><span style="font-size: 14pt;">-Bó cố định</span></strong></span></p>
<p><img loading="lazy" decoding="async" class=" wp-image-4030 aligncenter" src="https://eduvet.vn/wp-content/uploads/2025/11/1-10-300x188.jpg" alt="" width="855" height="536" srcset="https://eduvet.vn/wp-content/uploads/2025/11/1-10-300x188.jpg 300w, https://eduvet.vn/wp-content/uploads/2025/11/1-10-768x480.jpg 768w, https://eduvet.vn/wp-content/uploads/2025/11/1-10-600x375.jpg 600w" sizes="(max-width: 855px) 100vw, 855px" /></p>
<p><span style="font-size: 14pt; font-family: helvetica, arial, sans-serif;">Bó cố định là phương pháp cổ điển giúp chỉnh tư thế. Tuy nhiên, không nên quấn quá chặt hoặc đặt hai chân quá sát nhau, tránh cản trở tuần hoàn máu và gây tổn thương.</span></p>
<p><span style="font-family: helvetica, arial, sans-serif;"><strong><span style="font-size: 14pt;">-Dinh dưỡng</span></strong></span></p>
<ul>
<li data-start="712" data-end="853">
<p data-start="714" data-end="853"><span style="font-size: 14pt; font-family: helvetica, arial, sans-serif;">Kiểm soát cân nặng: Hạn chế để chó con béo phì hoặc tăng cân quá nhanh, vì cân nặng dư thừa sẽ tạo áp lực lớn lên khớp và cơ yếu.</span></p>
</li>
<li data-start="854" data-end="947">
<p data-start="856" data-end="947"><span style="font-size: 14pt; font-family: helvetica, arial, sans-serif;">Điều chỉnh bú và ăn: Kiểm soát lượng sữa hoặc thức ăn, không để chó con bú quá nhiều.</span></p>
</li>
<li data-start="948" data-end="1104">
<p data-start="950" data-end="1104"><span style="font-size: 14pt; font-family: helvetica, arial, sans-serif;">Hỗ trợ tiêu hóa: Sau khi ăn, có thể dựng nhẹ cơ thể chó con để giúp nuốt dễ hơn và xoa bụng nhẹ nhàng để giảm nguy cơ nôn trớ hoặc trào ngược.</span></p>
</li>
</ul>
<hr />
<h2><span style="font-family: helvetica, arial, sans-serif;"><strong>Phòng ngừa</strong></span></h2>
<ul>
<li><span style="font-size: 14pt; font-family: helvetica, arial, sans-serif;">Sàn tập đi cho chó con: Không để chó con nằm hoặc tập trên sàn trơn trượt. Thay vào đó, cho chúng tập trên bề mặt thô ráp, gồ ghề hoặc có độ bám</span></li>
<li><span style="font-size: 14pt; font-family: helvetica, arial, sans-serif;">Giữ vệ sinh: Chó con vận động hạn chế thường đi tiểu và đại tiện tại chỗ, dễ gây viêm da do nước tiểu, phân và nhiễm trùng. Vệ sinh khu vực nuôi thường xuyên để đảm bảo môi trường sạch và an toàn.</span></li>
</ul>
<h2><span style="font-family: helvetica, arial, sans-serif;"><strong>Tiên lượng</strong></span></h2>
<p><span style="font-size: 14pt; font-family: helvetica, arial, sans-serif;">Hầu hết tất cả trường hợp có thể điều trị và phòng ngừa nếu phát hiện sớm.</span></p>
<hr />
<div>
<h2 data-start="4656" data-end="4692"><span style="font-family: helvetica, arial, sans-serif;"><strong>Tài liệu tham khảo</strong></span></h2>
<ol data-start="4693" data-end="5568">
<li data-start="4693" data-end="4839">
<p data-start="4696" data-end="4839"><span style="font-size: 14pt; font-family: helvetica, arial, sans-serif;">Nganvongpanit K, Yano T. <em data-start="4721" data-end="4778">Prevalence of Swimming Puppy Syndrome in 2,443 Puppies…</em> Vet Med Int. 2013. </span></p>
</li>
<li data-start="4840" data-end="5014">
<p data-start="4843" data-end="5014"><span style="font-size: 14pt; font-family: helvetica, arial, sans-serif;">Rümpel L, Kölle P, Mille M et al. <em data-start="4877" data-end="4956">A questionnaire-based investigation of the swimming puppy syndrome: 115 dogs.</em> PLoS/PMC. 2023. </span></p>
</li>
<li data-start="5015" data-end="5195">
<p data-start="5018" data-end="5195"><span style="font-size: 14pt; font-family: helvetica, arial, sans-serif;">Karcher D E, Costa R C, Prada T C et al. <em data-start="5059" data-end="5118">A modified technique for treating swimmer puppy syndrome.</em> Vet Med Czech. 2018;63(4):161-167.</span></p>
</li>
<li data-start="5196" data-end="5379">
<p data-start="5199" data-end="5379"><span style="font-size: 14pt; font-family: helvetica, arial, sans-serif;">Kim SA, Na KJ, Cho JK, Shin NS. <em data-start="5231" data-end="5302">Home-care treatment of swimmer syndrome in a miniature schnauzer dog.</em> Can Vet J. 2013 Sep;54(9):869-872.</span></p>
</li>
<li data-start="5380" data-end="5568">
<p data-start="5383" data-end="5568"><span style="font-size: 14pt; font-family: helvetica, arial, sans-serif;">Tomihari M, Nobutoki Y, Nakajima N et al. <em data-start="5425" data-end="5507">Factors contributing to the swimmer puppy syndrome found in Labrador retrievers.</em> BMC Vet Res. 2022</span></p>
</li>
</ol>
</div>
<div id="ag-1753591845726" style="text-align: right;"><span style="color: #ff6600; font-size: 14pt; font-family: helvetica, arial, sans-serif;"><em>Hãy liên hệ ngay với EduVET nếu có bất kỳ thắc mắc nào!</em></span></div>
<div class="host-bincmiainjofjnhchmcalkanjebghoen" style="position: relative; z-index: 2147483647;"></div>
<p>The post <a rel="nofollow" href="https://eduvet.vn/cho-con-2-chan-sau-yeu-choai-khong-dung-len-duoc/">Chó con 2 chân sau yếu, choãi, không đứng lên được</a> appeared first on <a rel="nofollow" href="https://eduvet.vn">EduVET</a>.</p>
]]></content:encoded>
					
					<wfw:commentRss>https://eduvet.vn/cho-con-2-chan-sau-yeu-choai-khong-dung-len-duoc/feed/</wfw:commentRss>
			<slash:comments>0</slash:comments>
		
		
			</item>
		<item>
		<title>Một số điều cần biết về sổ mũi &#8211; hắt hơi, viêm mũi mãn tính ở mèo</title>
		<link>https://eduvet.vn/mot-so-dieu-can-biet-ve-so-mui-hat-hoi-viem-mui-man-tinh-o-meo/</link>
					<comments>https://eduvet.vn/mot-so-dieu-can-biet-ve-so-mui-hat-hoi-viem-mui-man-tinh-o-meo/#respond</comments>
		
		<dc:creator><![CDATA[qcv]]></dc:creator>
		<pubDate>Thu, 06 Nov 2025 11:27:13 +0000</pubDate>
				<category><![CDATA[BỆNH NỘI KHOA]]></category>
		<category><![CDATA[chảy nước mũi]]></category>
		<category><![CDATA[chó mèo]]></category>
		<category><![CDATA[viêm mũi]]></category>
		<guid isPermaLink="false">https://eduvet.vn/?p=3242</guid>

					<description><![CDATA[<p> Chuyện mũi chảy nước ở mèo – Hướng dẫn chẩn đoán và xử lý cho bác sĩ thú y mới ra trường 1. Khái quát về viêm mũi xoang mãn tính Là tình trạng viêm kéo dài ở mũi và xoang, có thể gặp ở mọi lứa tuổi mèo. Triệu chứng chính: Chảy mũi: dịch [&#8230;]</p>
<p>The post <a rel="nofollow" href="https://eduvet.vn/mot-so-dieu-can-biet-ve-so-mui-hat-hoi-viem-mui-man-tinh-o-meo/">Một số điều cần biết về sổ mũi &#8211; hắt hơi, viêm mũi mãn tính ở mèo</a> appeared first on <a rel="nofollow" href="https://eduvet.vn">EduVET</a>.</p>
]]></description>
										<content:encoded><![CDATA[<h1 data-start="213" data-end="309"><span style="font-family: helvetica, arial, sans-serif;"><img loading="lazy" decoding="async" class=" wp-image-4021 aligncenter" src="https://eduvet.vn/wp-content/uploads/2025/11/Bia-web-Quynh-300x188.jpg" alt="" width="929" height="582" srcset="https://eduvet.vn/wp-content/uploads/2025/11/Bia-web-Quynh-300x188.jpg 300w, https://eduvet.vn/wp-content/uploads/2025/11/Bia-web-Quynh-1024x640.jpg 1024w, https://eduvet.vn/wp-content/uploads/2025/11/Bia-web-Quynh-768x480.jpg 768w, https://eduvet.vn/wp-content/uploads/2025/11/Bia-web-Quynh-1536x960.jpg 1536w, https://eduvet.vn/wp-content/uploads/2025/11/Bia-web-Quynh-2048x1280.jpg 2048w, https://eduvet.vn/wp-content/uploads/2025/11/Bia-web-Quynh-600x375.jpg 600w" sizes="(max-width: 929px) 100vw, 929px" />  </span><span style="font-family: helvetica, arial, sans-serif;"><strong data-start="215" data-end="307">Chuyện mũi chảy nước ở mèo – Hướng dẫn chẩn đoán và xử lý cho bác sĩ thú y mới ra trường</strong></span></h1>
<h2 data-start="311" data-end="357"><span style="font-family: helvetica, arial, sans-serif;">1. <strong data-start="317" data-end="357">Khái quát về viêm mũi xoang mãn tính</strong></span></h2>
<ul data-start="358" data-end="669">
<li data-start="358" data-end="437">
<p data-start="360" data-end="437"><span style="font-size: 14pt; font-family: helvetica, arial, sans-serif;">Là tình trạng viêm kéo dài ở mũi và xoang, có thể gặp ở <strong data-start="416" data-end="436">mọi lứa tuổi mèo</strong>.</span></p>
</li>
<li data-start="438" data-end="577">
<p data-start="440" data-end="458"><span style="font-size: 14pt; font-family: helvetica, arial, sans-serif;">Triệu chứng chính:</span></p>
<ul data-start="461" data-end="577">
<li data-start="461" data-end="533">
<p data-start="463" data-end="533"><span style="font-size: 14pt; font-family: helvetica, arial, sans-serif;">Chảy mũi: dịch có thể trong, nhầy, mủ, hoặc lẫn máu; một hoặc hai bên.</span></p>
</li>
<li data-start="536" data-end="577">
<p data-start="538" data-end="577"><span style="font-size: 14pt; font-family: helvetica, arial, sans-serif;">Hắt hơi, thở khò khè, có tiếng khi thở.</span></p>
</li>
</ul>
</li>
<li data-start="578" data-end="669">
<p data-start="580" data-end="669"><span style="font-size: 14pt; font-family: helvetica, arial, sans-serif;">Cơ chế: viêm kéo dài → giảm nhạy cảm thụ thể hắt hơi → dịch ứ đọng → tắc nghẽn đường thở.</span></p>
</li>
</ul>
<h1 data-start="213" data-end="309"><span style="font-family: helvetica, arial, sans-serif;"><img loading="lazy" decoding="async" class=" wp-image-4023 aligncenter" src="https://eduvet.vn/wp-content/uploads/2025/11/Why-Is-My-Cat-Sneezing1-300x169.jpg" alt="" width="978" height="551" srcset="https://eduvet.vn/wp-content/uploads/2025/11/Why-Is-My-Cat-Sneezing1-300x169.jpg 300w, https://eduvet.vn/wp-content/uploads/2025/11/Why-Is-My-Cat-Sneezing1.jpg 510w" sizes="(max-width: 978px) 100vw, 978px" /></span></h1>
<p data-start="671" data-end="706"><span style="font-size: 14pt; font-family: helvetica, arial, sans-serif;"><strong data-start="671" data-end="706">Khi khai thác bệnh sử, cần hỏi:</strong></span></p>
<ol data-start="707" data-end="810">
<li data-start="707" data-end="731">
<p data-start="710" data-end="731"><span style="font-size: 14pt; font-family: helvetica, arial, sans-serif;">Bắt đầu từ khi nào?</span></p>
</li>
<li data-start="732" data-end="766">
<p data-start="735" data-end="766"><span style="font-size: 14pt; font-family: helvetica, arial, sans-serif;">Xảy ra liên tục hay từng đợt?</span></p>
</li>
<li data-start="767" data-end="810">
<p data-start="770" data-end="810"><span style="font-size: 14pt; font-family: helvetica, arial, sans-serif;">Dịch mũi có thay đổi màu/độ đặc không?</span></p>
</li>
</ol>
<hr data-start="812" data-end="815" />
<h2 data-start="817" data-end="858"><span style="font-family: helvetica, arial, sans-serif;">2. <strong data-start="823" data-end="858">Những dấu hiệu đi kèm cần lưu ý</strong></span></h2>
<ul data-start="859" data-end="1056">
<li data-start="859" data-end="924">
<p data-start="861" data-end="924"><span style="font-size: 14pt; font-family: helvetica, arial, sans-serif;">Khàn tiếng, hoặc không kêu được, thay đổi tiếng kêu</span></p>
</li>
<li data-start="925" data-end="1012">
<p data-start="927" data-end="1012"><span style="font-size: 14pt; font-family: helvetica, arial, sans-serif;">Khó thở về đêm (có thể thật sự nặng hơn, hoặc chỉ do chủ quan sát nhiều vào ban đêm).</span></p>
</li>
<li data-start="1013" data-end="1056">
<p data-start="1015" data-end="1056"><span style="font-size: 14pt; font-family: helvetica, arial, sans-serif;">Bệnh tái phát theo mùa → nghĩ đến dị ứng.</span></p>
</li>
</ul>
<hr data-start="1058" data-end="1061" />
<h2 data-start="1063" data-end="1090"><span style="font-family: helvetica, arial, sans-serif;">3. <strong data-start="1069" data-end="1090">Ý nghĩa tiếng thở</strong></span></h2>
<ul data-start="1091" data-end="1390">
<li data-start="1091" data-end="1222">
<p data-start="1093" data-end="1222"><span style="font-size: 14pt; font-family: helvetica, arial, sans-serif;"><strong data-start="1093" data-end="1104">Hít vào</strong> bất thường → vấn đề ở đường thở lớn (mũi, thanh quản, khí quản). Ví dụ: stridor thường do thanh quản.</span></p>
</li>
<li data-start="1223" data-end="1338">
<p data-start="1225" data-end="1338"><span style="font-size: 14pt; font-family: helvetica, arial, sans-serif;"><strong data-start="1225" data-end="1235">Thở ra</strong> bất thường → vấn đề ở đường thở nhỏ, sâu hơn (phổi). Có thể nghe tiếng rít, ran, lạo xạo.</span></p>
</li>
<li data-start="1339" data-end="1390">
<p data-start="1341" data-end="1390"><span style="font-size: 14pt; font-family: helvetica, arial, sans-serif;"><strong>Nghẹt mũi:</strong> dịch ứ hoặc tắc nghẽn do polyp/dị vật.</span></p>
</li>
</ul>
<hr data-start="1392" data-end="1395" />
<h2 data-start="1397" data-end="1426"><span style="font-family: helvetica, arial, sans-serif;">4. <strong data-start="1403" data-end="1426">Nguyên nhân tiềm ẩn</strong></span></h2>
<p data-start="1427" data-end="1462"><span style="font-size: 14pt; font-family: helvetica, arial, sans-serif;">Ngoài virus/vi khuẩn, cần nghĩ tới:</span></p>
<ul data-start="1463" data-end="1757">
<li data-start="1463" data-end="1492">
<p data-start="1465" data-end="1492"><span style="font-size: 14pt; font-family: helvetica, arial, sans-serif;">Chấn thương vùng mũi – mặt.</span></p>
</li>
<li data-start="1493" data-end="1530">
<p data-start="1495" data-end="1530"><span style="font-size: 14pt; font-family: helvetica, arial, sans-serif;">Cấu trúc bất thường (mèo mặt ngắn).</span></p>
</li>
<li data-start="1531" data-end="1548">
<p data-start="1533" data-end="1548"><span style="font-size: 14pt; font-family: helvetica, arial, sans-serif;">Polyp (u lành).</span></p>
</li>
<li data-start="1549" data-end="1586">
<p data-start="1551" data-end="1586"><span style="font-size: 14pt; font-family: helvetica, arial, sans-serif;">Bệnh răng miệng nặng, viêm nha chu.</span></p>
</li>
<li data-start="1587" data-end="1606">
<p data-start="1589" data-end="1606"><span style="font-size: 14pt; font-family: helvetica, arial, sans-serif;">Dị vật trong mũi.</span></p>
</li>
<li data-start="1607" data-end="1757">
<p data-start="1609" data-end="1656"><span style="font-size: 14pt; font-family: helvetica, arial, sans-serif;">Viêm mạn tính lâu dài → nguy cơ u lympho mũi.</span></p>
<blockquote data-start="1659" data-end="1757">
<p data-start="1661" data-end="1757"><span style="font-size: 14pt; font-family: helvetica, arial, sans-serif;">Đa số khối u mũi ở mèo là ác tính, xâm lấn tại chỗ → thường gây hắt hơi và chảy mũi một bên.</span></p>
</blockquote>
</li>
</ul>
<hr data-start="1759" data-end="1762" />
<h2 data-start="1764" data-end="1806"><span style="font-family: helvetica, arial, sans-serif;">5. <strong data-start="1770" data-end="1806">Khám lâm sàng – các bước nên làm</strong></span></h2>
<ol data-start="1807" data-end="2463">
<li data-start="1807" data-end="1890">
<p data-start="1810" data-end="1890"><span style="font-size: 14pt; font-family: helvetica, arial, sans-serif;"><strong data-start="1810" data-end="1822">Quan sát</strong>: Đối diện thẳng mặt và từ trên xuống → đánh giá đối xứng khuôn mặt.</span></p>
</li>
<li data-start="1891" data-end="1924">
<p data-start="1894" data-end="1924"><span style="font-size: 14pt; font-family: helvetica, arial, sans-serif;"><strong data-start="1894" data-end="1904">Sờ nắn</strong>: Tìm vùng sưng/đau.</span></p>
</li>
<li data-start="1925" data-end="2159">
<p data-start="1928" data-end="1943"><span style="font-size: 14pt; font-family: helvetica, arial, sans-serif;"><strong data-start="1928" data-end="1942">Khám miệng</strong>:</span></p>
<ul data-start="1947" data-end="2159">
<li data-start="1947" data-end="1998">
<p data-start="1949" data-end="1998"><span style="font-size: 14pt; font-family: helvetica, arial, sans-serif;">Bệnh răng miệng, lỗ rò mũi – miệng, khối u, loét.</span></p>
</li>
<li data-start="2002" data-end="2159">
<p data-start="2004" data-end="2043"><span style="font-size: 14pt; font-family: helvetica, arial, sans-serif;">Đánh giá nhanh một số dây thần kinh sọ:</span></p>
<ul data-start="2049" data-end="2159">
<li data-start="2049" data-end="2076">
<p data-start="2051" data-end="2076"><span style="font-size: 14pt; font-family: helvetica, arial, sans-serif;">CN V (vận động): lực hàm.</span></p>
</li>
<li data-start="2082" data-end="2124">
<p data-start="2084" data-end="2124"><span style="font-size: 14pt; font-family: helvetica, arial, sans-serif;">CN XII: vị trí, vận động, đối xứng lưỡi.</span></p>
</li>
<li data-start="2130" data-end="2159">
<p data-start="2132" data-end="2159"><span style="font-size: 14pt; font-family: helvetica, arial, sans-serif;">CN IX, X: phản xạ nuốt/nôn.</span></p>
</li>
</ul>
</li>
</ul>
</li>
<li data-start="2160" data-end="2225">
<p data-start="2163" data-end="2225"><span style="font-size: 14pt; font-family: helvetica, arial, sans-serif;"><strong data-start="2163" data-end="2183">Đo luồng khí mũi</strong>: Gương nha khoa hoặc kính lạnh trước mũi.</span></p>
</li>
<li data-start="2226" data-end="2356">
<p data-start="2229" data-end="2255"><span style="font-size: 14pt; font-family: helvetica, arial, sans-serif;"><strong data-start="2229" data-end="2254">Khám khí quản – xoang</strong>:</span></p>
<ul data-start="2259" data-end="2356">
<li data-start="2259" data-end="2290">
<p data-start="2261" data-end="2290"><span style="font-size: 14pt; font-family: helvetica, arial, sans-serif;">Sờ khí quản xem có dễ gây ho.</span></p>
</li>
<li data-start="2294" data-end="2356">
<p data-start="2296" data-end="2356"><span style="font-size: 14pt; font-family: helvetica, arial, sans-serif;">Nghe khí quản 2 bên, nghe xoang trán bằng ống nghe nhi khoa.</span></p>
</li>
</ul>
</li>
<li data-start="2357" data-end="2433">
<p data-start="2360" data-end="2433"><span style="font-size: 14pt; font-family: helvetica, arial, sans-serif;"><strong data-start="2360" data-end="2376">Khám đáy mắt</strong>: Tìm dấu hiệu bệnh toàn thân (ví dụ nấm <em data-start="2417" data-end="2431">Cryptococcus</em>).</span></p>
</li>
<li data-start="2434" data-end="2463">
<p data-start="2437" data-end="2463"><span style="font-size: 14pt; font-family: helvetica, arial, sans-serif;"><strong data-start="2437" data-end="2462">Sờ hạch vùng đầu – cổ</strong>.</span></p>
</li>
</ol>
<hr data-start="2465" data-end="2468" />
<figure id="attachment_4022" aria-describedby="caption-attachment-4022" style="width: 300px" class="wp-caption alignright"><img loading="lazy" decoding="async" class="wp-image-4022 size-medium" src="https://eduvet.vn/wp-content/uploads/2025/11/Katzenschnupfen_Calici-300x243.jpg" alt="" width="300" height="243" srcset="https://eduvet.vn/wp-content/uploads/2025/11/Katzenschnupfen_Calici-300x243.jpg 300w, https://eduvet.vn/wp-content/uploads/2025/11/Katzenschnupfen_Calici.jpg 330w" sizes="(max-width: 300px) 100vw, 300px" /><figcaption id="caption-attachment-4022" class="wp-caption-text"><span style="font-family: helvetica, arial, sans-serif;">Viêm miệng là triệu chứng điển hình của Calicivirus</span></figcaption></figure>
<h2 data-start="2470" data-end="2526"><span style="font-family: helvetica, arial, sans-serif;">6. <strong data-start="2476" data-end="2526">Yếu tố liên quan hệ miễn dịch và tác nhân bệnh</strong></span></h2>
<ul data-start="2527" data-end="2929">
<li data-start="2527" data-end="2564">
<p data-start="2529" data-end="2564"><span style="font-size: 14pt; font-family: helvetica, arial, sans-serif;">Hệ miễn dịch yếu → dễ viêm mũi mãn.</span></p>
</li>
<li data-start="2565" data-end="2667">
<p data-start="2567" data-end="2667"><span style="font-size: 14pt; font-family: helvetica, arial, sans-serif;">FHV (Herpesvirus mèo) là tác nhân thường gặp → viêm kéo dài, tạo điều kiện nhiễm khuẩn thứ phát.</span></p>
</li>
<li data-start="2668" data-end="2736">
<p data-start="2670" data-end="2736"><span style="font-size: 14pt; font-family: helvetica, arial, sans-serif;">Mèo mặt ngắn → cấu trúc mũi nhiều ngóc ngách → giữ dịch, vi khuẩn.</span></p>
</li>
<li data-start="2737" data-end="2798">
<p data-start="2739" data-end="2798"><span style="font-size: 14pt; font-family: helvetica, arial, sans-serif;">Tổn thương cuốn mũi có thể không hồi phục.</span></p>
</li>
<li data-start="2799" data-end="2837">
<p data-start="2801" data-end="2837"><span style="font-size: 14pt; font-family: helvetica, arial, sans-serif;">FHV và calicivirus: dễ tái phát.</span></p>
</li>
<li data-start="2838" data-end="2929">
<p data-start="2840" data-end="2929"><span style="font-size: 14pt; font-family: helvetica, arial, sans-serif;">FHV có thể ở trạng thái tiềm ẩn → 80% mèo nhiễm mang virus cả đời → bùng phát khi stress.</span></p>
</li>
</ul>
<hr data-start="2931" data-end="2934" />
<h2 data-start="2936" data-end="2980"><span style="font-family: helvetica, arial, sans-serif;">7. <strong data-start="2942" data-end="2980">Lưu ý về “thử điều trị kháng sinh”</strong></span></h2>
<ul data-start="2981" data-end="3438">
<li data-start="2981" data-end="3023">
<p data-start="2983" data-end="3023"><span style="font-size: 14pt; font-family: helvetica, arial, sans-serif;">Cải thiện nhanh → vi khuẩn có vai trò.</span></p>
</li>
<li data-start="3024" data-end="3081">
<p data-start="3026" data-end="3081"><span style="font-size: 14pt; font-family: helvetica, arial, sans-serif;">Tái phát hoặc không đáp ứng → cần tìm nguyên nhân khác.</span></p>
</li>
<li data-start="3082" data-end="3239">
<p data-start="3084" data-end="3152"><span style="font-size: 14pt; font-family: helvetica, arial, sans-serif;">Nếu điều trị kháng sinh 7–10 ngày không khỏi → tiến hành xét nghiệm:</span></p>
<ol data-start="3155" data-end="3239">
<li data-start="3155" data-end="3163">
<p data-start="3158" data-end="3163"><span style="font-size: 14pt; font-family: helvetica, arial, sans-serif;">CBC</span></p>
</li>
<li data-start="3166" data-end="3183">
<p data-start="3169" data-end="3183"><span style="font-size: 14pt; font-family: helvetica, arial, sans-serif;">Sinh hóa máu</span></p>
</li>
<li data-start="3186" data-end="3206">
<p data-start="3189" data-end="3206"><span style="font-size: 14pt; font-family: helvetica, arial, sans-serif;">Retrovirus test</span></p>
</li>
<li data-start="3209" data-end="3223">
<p data-start="3212" data-end="3223"><span style="font-size: 14pt; font-family: helvetica, arial, sans-serif;">Nước tiểu</span></p>
</li>
<li data-start="3226" data-end="3239">
<p data-start="3229" data-end="3239"><span style="font-size: 14pt; font-family: helvetica, arial, sans-serif;">Huyết áp</span></p>
</li>
</ol>
</li>
<li data-start="3240" data-end="3301">
<p data-start="3242" data-end="3301"><span style="font-size: 14pt; font-family: helvetica, arial, sans-serif;">Nếu nội soi mũi hoặc có chảy máu mũi → xét nghiệm đông máu.</span></p>
</li>
<li data-start="3302" data-end="3376">
<p data-start="3304" data-end="3376"><span style="font-size: 14pt; font-family: helvetica, arial, sans-serif;">Xét nghiệm nấm (<em data-start="3320" data-end="3333">Aspergillus</em>, <em data-start="3335" data-end="3349">Cryptococcus</em>) khi phù hợp vùng dịch tễ.</span></p>
</li>
<li data-start="3377" data-end="3438">
<p data-start="3379" data-end="3438"><span style="font-size: 14pt; font-family: helvetica, arial, sans-serif;">Chụp X-quang sọ (gây mê toàn thân) → đánh giá răng – xoang.</span></p>
</li>
</ul>
<hr data-start="3440" data-end="3443" />
<h2 data-start="3445" data-end="3479"><span style="font-family: helvetica, arial, sans-serif;">8. <strong data-start="3451" data-end="3479">Nội soi mũi </strong></span></h2>
<ul data-start="3480" data-end="3839">
<li data-start="3480" data-end="3549">
<p data-start="3482" data-end="3549"><span style="font-size: 14pt; font-family: helvetica, arial, sans-serif;">Kỹ thuật khó, kết quả không phải lúc nào cũng xác định nguyên nhân.</span></p>
</li>
<li data-start="3550" data-end="3839">
<p data-start="3552" data-end="3561"><span style="font-size: 14pt; font-family: helvetica, arial, sans-serif;">Kỹ thuật:</span></p>
<ul data-start="3564" data-end="3839">
<li data-start="3564" data-end="3600">
<p data-start="3566" data-end="3600"><span style="font-size: 14pt; font-family: helvetica, arial, sans-serif;">Đặt ống nội khí quản có bóng chèn.</span></p>
</li>
<li data-start="3603" data-end="3637">
<p data-start="3605" data-end="3637"><span style="font-size: 14pt; font-family: helvetica, arial, sans-serif;">Nhét gạc vào hầu họng (đếm gạc).</span></p>
</li>
<li data-start="3640" data-end="3679">
<p data-start="3642" data-end="3679"><span style="font-size: 14pt; font-family: helvetica, arial, sans-serif;">Khám bên lành trước nếu bệnh một bên.</span></p>
</li>
<li data-start="3682" data-end="3730">
<p data-start="3684" data-end="3730"><span style="font-size: 14pt; font-family: helvetica, arial, sans-serif;">Quan sát toàn bộ hốc mũi trước khi sinh thiết.</span></p>
</li>
<li data-start="3733" data-end="3773">
<p data-start="3735" data-end="3773"><span style="font-size: 14pt; font-family: helvetica, arial, sans-serif;">Lấy mẫu kể cả khi mô nhìn bình thường.</span></p>
</li>
<li data-start="3776" data-end="3839">
<p data-start="3778" data-end="3839"><span style="font-size: 14pt; font-family: helvetica, arial, sans-serif;">Sau cùng rửa hốc mũi bằng NaCl 0,9% vô trùng + hút sạch dịch.</span></p>
</li>
</ul>
</li>
</ul>
<hr data-start="3841" data-end="3844" />
<h2 data-start="3846" data-end="3864"><span style="font-family: helvetica, arial, sans-serif;">9. <strong data-start="3852" data-end="3864">Điều trị</strong></span></h2>
<h3 data-start="3865" data-end="3883"><span style="font-size: 14pt; font-family: helvetica, arial, sans-serif;">9.1 Kháng sinh</span></h3>
<ul data-start="3884" data-end="4166">
<li data-start="3884" data-end="3926">
<p data-start="3886" data-end="3926"><span style="font-size: 14pt; font-family: helvetica, arial, sans-serif;">Chỉ định khi xác định vi khuẩn gây bệnh.</span></p>
</li>
<li data-start="3927" data-end="3995">
<p data-start="3929" data-end="3995"><span style="font-size: 14pt; font-family: helvetica, arial, sans-serif;">Nếu cấy ra nhiều loại vi khuẩn → cân nhắc tính liên quan lâm sàng.</span></p>
</li>
<li data-start="3996" data-end="4067">
<p data-start="3998" data-end="4067"><span style="font-size: 14pt; font-family: helvetica, arial, sans-serif;">Loại không phải vi khuẩn thường trú → kết quả kháng sinh đồ đáng tin.</span></p>
</li>
<li data-start="4068" data-end="4122">
<p data-start="4070" data-end="4122"><span style="font-size: 14pt; font-family: helvetica, arial, sans-serif;">Nếu đáp ứng tốt → duy trì 6–8 tuần, không đổi thuốc.</span></p>
</li>
<li data-start="4123" data-end="4166">
<p data-start="4125" data-end="4166"><span style="font-size: 14pt; font-family: helvetica, arial, sans-serif;">Chọn kháng sinh thấm được vào sụn, xương.</span></p>
</li>
</ul>
<h3 data-start="4168" data-end="4179"><span style="font-size: 14pt; font-family: helvetica, arial, sans-serif;">9.2 Nấm</span></h3>
<ul data-start="4180" data-end="4236">
<li data-start="4180" data-end="4236">
<p data-start="4182" data-end="4236"><span style="font-size: 14pt; font-family: helvetica, arial, sans-serif;">Dùng phác đồ kháng nấm phù hợp bệnh tại chỗ/toàn thân.</span></p>
</li>
</ul>
<h3 data-start="4238" data-end="4252"><span style="font-size: 14pt; font-family: helvetica, arial, sans-serif;">9.3 Dị ứng</span></h3>
<ul data-start="4253" data-end="4289">
<li data-start="4253" data-end="4289">
<p data-start="4255" data-end="4289"><span style="font-size: 14pt; font-family: helvetica, arial, sans-serif;">Kháng histamine + tránh dị nguyên.</span></p>
</li>
</ul>
<h3 data-start="4291" data-end="4302"><span style="font-size: 14pt; font-family: helvetica, arial, sans-serif;">9.4 FHV</span></h3>
<ul data-start="4303" data-end="4473">
<li data-start="4303" data-end="4365">
<p data-start="4305" data-end="4365"><span style="font-size: 14pt; font-family: helvetica, arial, sans-serif;">Vắc-xin Herpesvirus + Calicivirus dạng nhỏ mũi: 2–3 lần/năm.</span></p>
</li>
<li data-start="4366" data-end="4424">
<p data-start="4368" data-end="4424"><span style="font-size: 14pt; font-family: helvetica, arial, sans-serif;">L-lysine → cạnh tranh arginine (cần cho virus nhân lên).</span></p>
</li>
<li data-start="4425" data-end="4473">
<p data-start="4427" data-end="4473"><span style="font-size: 14pt; font-family: helvetica, arial, sans-serif;">Interferon-alpha, famciclovir có thể cân nhắc.</span></p>
</li>
</ul>
<h3 data-start="4475" data-end="4487"><span style="font-size: 14pt; font-family: helvetica, arial, sans-serif;">9.5 Khác</span></h3>
<ul data-start="4488" data-end="4589">
<li data-start="4488" data-end="4514">
<p data-start="4490" data-end="4514"><span style="font-size: 14pt; font-family: helvetica, arial, sans-serif;">Polyp, dị vật → loại bỏ.</span></p>
</li>
<li data-start="4515" data-end="4589">
<p data-start="4517" data-end="4589"><span style="font-size: 14pt; font-family: helvetica, arial, sans-serif;">U, ung thư → tham vấn chuyên khoa ung thư (xạ trị, hóa trị, phẫu thuật).</span></p>
</li>
</ul>
<hr data-start="4591" data-end="4594" />
<h2 data-start="4596" data-end="4621"><strong><span style="font-family: helvetica, arial, sans-serif;">10. Lưu ý đối với chủ nuôi</span></strong></h2>
<ul data-start="4622" data-end="4791">
<li data-start="4622" data-end="4650">
<p data-start="4624" data-end="4650"><span style="font-size: 14pt; font-family: helvetica, arial, sans-serif;">Không khí ẩm (máy tạo ẩm).</span></p>
</li>
<li data-start="4651" data-end="4704">
<p data-start="4653" data-end="4704"><span style="font-size: 14pt; font-family: helvetica, arial, sans-serif;">Thuốc thông mũi đường uống/nhỏ mũi (theo chỉ định).</span></p>
</li>
<li data-start="4705" data-end="4754">
<p data-start="4707" data-end="4754"><span style="font-size: 14pt; font-family: helvetica, arial, sans-serif;">Kháng viêm → giảm vòng xoắn viêm – nhiễm khuẩn.</span></p>
</li>
<li data-start="4755" data-end="4791">
<p data-start="4757" data-end="4791"><span style="font-size: 14pt; font-family: helvetica, arial, sans-serif;">Thuốc kích thích ăn nếu mèo bỏ ăn.</span></p>
</li>
</ul>
<blockquote>
<p style="text-align: center;"><span style="font-size: 14pt; color: #ff0000; font-family: helvetica, arial, sans-serif;">Viêm mũi mãn tính ở mèo không thể chữa khỏi hoàn toàn. Nhưng nếu quản lý liên tục và kiên trì, mèo sẽ giảm triệu chứng và cải thiện chất lượng sống.</span></p>
</blockquote>
<hr />
<h2 data-start="182" data-end="210"><span style="font-family: helvetica, arial, sans-serif;"><strong data-start="188" data-end="210">Tài liệu tham khảo</strong></span></h2>
<ol>
<li data-start="215" data-end="574"><span style="font-size: 14pt; font-family: helvetica, arial, sans-serif;">Lappin, M.R. (2013). <em data-start="240" data-end="316">Feline upper respiratory tract infections: diagnosis and treatment update.</em> <em data-start="317" data-end="357">Journal of Feline Medicine and Surgery</em>, 15(7), 593–602.</span></li>
<li><span style="font-size: 14pt; font-family: helvetica, arial, sans-serif;">Gaskell, R.M., Dawson, S., Radford, A.D., &amp; Thiry, E. (2007). <em data-start="645" data-end="676">Feline Herpesvirus Infection.</em> ABCD Guidelines, <em data-start="694" data-end="734">Journal of Feline Medicine and Surgery</em>, 9(6), 447–454.</span></li>
<li><span style="font-size: 14pt; font-family: helvetica, arial, sans-serif;">Hughes, J.M.L. &amp; Sykes, J.E. (2020). <em data-start="914" data-end="946">Chronic Nasal Disease in Cats.</em> In: Ettinger, S.J. &amp; Feldman, E.C. (Eds.), <em data-start="990" data-end="1032">Textbook of Veterinary Internal Medicine</em>, 8th ed., Elsevier.</span></li>
</ol>
<p>&nbsp;</p>
<p style="text-align: right;"><span style="color: #ff6600; font-size: 14pt; font-family: helvetica, arial, sans-serif;"><em>Hãy liên hệ ngay với EduVET nếu có bất kỳ thắc mắc nào!</em></span></p>
<div class="host-bincmiainjofjnhchmcalkanjebghoen" style="position: relative; z-index: 2147483647;"></div>
<div class="host-bincmiainjofjnhchmcalkanjebghoen" style="position: relative; z-index: 2147483647;"></div>
<p>The post <a rel="nofollow" href="https://eduvet.vn/mot-so-dieu-can-biet-ve-so-mui-hat-hoi-viem-mui-man-tinh-o-meo/">Một số điều cần biết về sổ mũi &#8211; hắt hơi, viêm mũi mãn tính ở mèo</a> appeared first on <a rel="nofollow" href="https://eduvet.vn">EduVET</a>.</p>
]]></content:encoded>
					
					<wfw:commentRss>https://eduvet.vn/mot-so-dieu-can-biet-ve-so-mui-hat-hoi-viem-mui-man-tinh-o-meo/feed/</wfw:commentRss>
			<slash:comments>0</slash:comments>
		
		
			</item>
		<item>
		<title>Điều trị bệnh ngoài da do ngoại ký sinh trùng chó mèo</title>
		<link>https://eduvet.vn/dieu-tri-benh-ngoai-da-do-ngoai-ky-sinh-trung-cho-meo/</link>
					<comments>https://eduvet.vn/dieu-tri-benh-ngoai-da-do-ngoai-ky-sinh-trung-cho-meo/#respond</comments>
		
		<dc:creator><![CDATA[qcv]]></dc:creator>
		<pubDate>Tue, 04 Nov 2025 18:10:07 +0000</pubDate>
				<category><![CDATA[KÝ SINH TRÙNG]]></category>
		<category><![CDATA[cách chữa ghẻ ở chó]]></category>
		<category><![CDATA[chó mèo]]></category>
		<category><![CDATA[ghẻ ở chó mèo]]></category>
		<category><![CDATA[ký sinh trùng ngoài da]]></category>
		<guid isPermaLink="false">https://eduvet.vn/?p=4007</guid>

					<description><![CDATA[<p>Bệnh da do ngoại ký sinh trùng ở chó mèo Đây là nhóm rất thường gặp ở chó mèo, nhất là chó mèo con, sống ngoài sân vườn, hoặc không được kiểm soát ve rận định kỳ. Bao gồm: Ve – rận – bọ chét – ghẻ: Những con này ký sinh trực tiếp trên [&#8230;]</p>
<p>The post <a rel="nofollow" href="https://eduvet.vn/dieu-tri-benh-ngoai-da-do-ngoai-ky-sinh-trung-cho-meo/">Điều trị bệnh ngoài da do ngoại ký sinh trùng chó mèo</a> appeared first on <a rel="nofollow" href="https://eduvet.vn">EduVET</a>.</p>
]]></description>
										<content:encoded><![CDATA[<h1 class="cvGsUA direction-ltr align-justify para-style-body"><span style="font-family: helvetica, arial, sans-serif;"><strong><span class="a_GcMg font-feature-liga-off font-feature-clig-off font-feature-calt-off text-decoration-none text-strikethrough-none">Bệnh da do ngoại ký sinh trùng ở chó mèo</span></strong></span></h1>
<ul>
<li><span class="a_GcMg font-feature-liga-off font-feature-clig-off font-feature-calt-off text-decoration-none text-strikethrough-none" style="font-size: 14pt; font-family: helvetica, arial, sans-serif;">Đây là nhóm rất thường gặp ở chó mèo, nhất là chó mèo con, sống ngoài sân vườn, hoặc không được kiểm soát ve rận định kỳ.</span></li>
</ul>
<div>
<div>
<p><span style="font-size: 14pt; font-family: helvetica, arial, sans-serif;">Bao gồm:</span></p>
</div>
<ul>
<li><span style="font-size: 14pt; font-family: helvetica, arial, sans-serif;">Ve – rận – bọ chét – ghẻ:</span></li>
<li><span style="font-size: 14pt; font-family: helvetica, arial, sans-serif;">Những con này ký sinh trực tiếp trên da, gây ngứa, tổn thương da, nhiễm trùng kế phát, và truyền nhiều bệnh khác (babesia, anaplasma,&#8230;).</span></li>
<li><span style="font-size: 14pt; font-family: helvetica, arial, sans-serif;">Phải nhớ: muốn trị da dứt điểm, phải diệt ký sinh trùng gốc.</span></li>
</ul>
<hr />
<div>
<h2><span style="font-family: helvetica, arial, sans-serif;"><strong>Ghẻ Demodex vs Ghẻ Sarcoptes – khác gì?</strong></span></h2>
</div>
<ul>
<li><span style="font-size: 14pt; font-family: helvetica, arial, sans-serif;">Demodex: thường gặp ở chó con, sống trong nang lông – không lây, không ngứa nhiều nếu nhẹ. Nhưng nếu bội nhiễm thì có thể rất hôi, trụi lông loang lổ.</span></li>
</ul>
<div>
<ul>
<li><span style="font-size: 14pt; font-family: helvetica, arial, sans-serif;">Sarcoptes: cực kỳ ngứa, rất dễ lây, tổn thương ở tai, khuỷu, bụng, ngực – thường thấy chó gãi điên cuồng.</span></li>
<li><span style="font-size: 14pt; font-family: helvetica, arial, sans-serif;">Soi da để phân biệt!</span></li>
</ul>
<div>
<h2><span style="font-family: helvetica, arial, sans-serif;"><strong>Bệnh da do ve tai, nấm tai – có liên quan không?</strong></span></h2>
</div>
<ul>
<li><span style="font-size: 14pt; font-family: helvetica, arial, sans-serif;">Có. Nhiều ca da viêm hoài không khỏi là vì ổ ve tai hoặc nấm tai gây kích ứng kéo dài, dẫn tới viêm da quanh tai, lan xuống cổ → Nhớ kiểm tra tai trong mọi ca bệnh da</span></li>
</ul>
<hr />
<h2><span style="font-family: helvetica, arial, sans-serif;"><strong>Hình ảnh về 2 loại ghẻ</strong></span></h2>
<p><span style="font-family: helvetica, arial, sans-serif;">  <img loading="lazy" decoding="async" class=" wp-image-4016 aligncenter" src="https://eduvet.vn/wp-content/uploads/2025/11/bai-dang-1-anh-vuong-Quynh-4-300x300.jpg" alt="" width="571" height="571" srcset="https://eduvet.vn/wp-content/uploads/2025/11/bai-dang-1-anh-vuong-Quynh-4-300x300.jpg 300w, https://eduvet.vn/wp-content/uploads/2025/11/bai-dang-1-anh-vuong-Quynh-4-1024x1024.jpg 1024w, https://eduvet.vn/wp-content/uploads/2025/11/bai-dang-1-anh-vuong-Quynh-4-150x150.jpg 150w, https://eduvet.vn/wp-content/uploads/2025/11/bai-dang-1-anh-vuong-Quynh-4-768x768.jpg 768w, https://eduvet.vn/wp-content/uploads/2025/11/bai-dang-1-anh-vuong-Quynh-4-1536x1536.jpg 1536w, https://eduvet.vn/wp-content/uploads/2025/11/bai-dang-1-anh-vuong-Quynh-4-2048x2048.jpg 2048w, https://eduvet.vn/wp-content/uploads/2025/11/bai-dang-1-anh-vuong-Quynh-4-600x600.jpg 600w" sizes="(max-width: 571px) 100vw, 571px" /></span></p>
<p><span style="font-family: helvetica, arial, sans-serif;"><img loading="lazy" decoding="async" class=" wp-image-4011 aligncenter" src="https://eduvet.vn/wp-content/uploads/2025/11/1-9-300x188.jpg" alt="" width="619" height="388" srcset="https://eduvet.vn/wp-content/uploads/2025/11/1-9-300x188.jpg 300w, https://eduvet.vn/wp-content/uploads/2025/11/1-9-1024x640.jpg 1024w, https://eduvet.vn/wp-content/uploads/2025/11/1-9-768x480.jpg 768w, https://eduvet.vn/wp-content/uploads/2025/11/1-9-1536x960.jpg 1536w, https://eduvet.vn/wp-content/uploads/2025/11/1-9-2048x1280.jpg 2048w, https://eduvet.vn/wp-content/uploads/2025/11/1-9-600x375.jpg 600w" sizes="(max-width: 619px) 100vw, 619px" /></span></p>
<p><span style="font-family: helvetica, arial, sans-serif;"><img loading="lazy" decoding="async" class=" wp-image-4012 aligncenter" src="https://eduvet.vn/wp-content/uploads/2025/11/2-9-300x188.jpg" alt="" width="554" height="347" srcset="https://eduvet.vn/wp-content/uploads/2025/11/2-9-300x188.jpg 300w, https://eduvet.vn/wp-content/uploads/2025/11/2-9-1024x640.jpg 1024w, https://eduvet.vn/wp-content/uploads/2025/11/2-9-768x480.jpg 768w, https://eduvet.vn/wp-content/uploads/2025/11/2-9-1536x960.jpg 1536w, https://eduvet.vn/wp-content/uploads/2025/11/2-9-2048x1280.jpg 2048w, https://eduvet.vn/wp-content/uploads/2025/11/2-9-600x375.jpg 600w" sizes="(max-width: 554px) 100vw, 554px" /></span></p>
<p style="text-align: center;"><span style="font-size: 14pt; font-family: helvetica, arial, sans-serif;"><strong>Ghẻ Demodex</strong></span></p>
</div>
</div>
<p><span style="font-family: helvetica, arial, sans-serif;"> <img loading="lazy" decoding="async" class=" wp-image-4013 aligncenter" src="https://eduvet.vn/wp-content/uploads/2025/11/3-6-300x188.jpg" alt="" width="580" height="364" srcset="https://eduvet.vn/wp-content/uploads/2025/11/3-6-300x188.jpg 300w, https://eduvet.vn/wp-content/uploads/2025/11/3-6-1024x640.jpg 1024w, https://eduvet.vn/wp-content/uploads/2025/11/3-6-768x480.jpg 768w, https://eduvet.vn/wp-content/uploads/2025/11/3-6-1536x960.jpg 1536w, https://eduvet.vn/wp-content/uploads/2025/11/3-6-2048x1280.jpg 2048w, https://eduvet.vn/wp-content/uploads/2025/11/3-6-600x375.jpg 600w" sizes="(max-width: 580px) 100vw, 580px" /></span></p>
<p><span style="font-family: helvetica, arial, sans-serif;"><img loading="lazy" decoding="async" class=" wp-image-4014 aligncenter" src="https://eduvet.vn/wp-content/uploads/2025/11/4-3-300x188.jpg" alt="" width="584" height="366" srcset="https://eduvet.vn/wp-content/uploads/2025/11/4-3-300x188.jpg 300w, https://eduvet.vn/wp-content/uploads/2025/11/4-3-1024x640.jpg 1024w, https://eduvet.vn/wp-content/uploads/2025/11/4-3-768x480.jpg 768w, https://eduvet.vn/wp-content/uploads/2025/11/4-3-1536x960.jpg 1536w, https://eduvet.vn/wp-content/uploads/2025/11/4-3-2048x1280.jpg 2048w, https://eduvet.vn/wp-content/uploads/2025/11/4-3-600x375.jpg 600w" sizes="(max-width: 584px) 100vw, 584px" /></span></p>
<p><span style="font-family: helvetica, arial, sans-serif;"><img loading="lazy" decoding="async" class=" wp-image-4015 aligncenter" src="https://eduvet.vn/wp-content/uploads/2025/11/5-1-300x188.jpg" alt="" width="578" height="362" srcset="https://eduvet.vn/wp-content/uploads/2025/11/5-1-300x188.jpg 300w, https://eduvet.vn/wp-content/uploads/2025/11/5-1-1024x640.jpg 1024w, https://eduvet.vn/wp-content/uploads/2025/11/5-1-768x480.jpg 768w, https://eduvet.vn/wp-content/uploads/2025/11/5-1-1536x960.jpg 1536w, https://eduvet.vn/wp-content/uploads/2025/11/5-1-2048x1280.jpg 2048w, https://eduvet.vn/wp-content/uploads/2025/11/5-1-600x375.jpg 600w" sizes="(max-width: 578px) 100vw, 578px" /></span></p>
<p style="text-align: center;"><span style="font-family: helvetica, arial, sans-serif;"><strong><span style="font-size: 14pt;">Ghẻ Sarcoptes</span></strong></span></p>
<div>
<div>
<hr />
<h2><span style="font-family: helvetica, arial, sans-serif;"><strong>Điều trị</strong></span></h2>
<blockquote>
<p class="cvGsUA direction-ltr align-justify para-style-body" style="text-align: center;"><span class="a_GcMg font-feature-liga-off font-feature-clig-off font-feature-calt-off text-decoration-none text-strikethrough-none" style="color: #ff0000; font-size: 14pt; font-family: helvetica, arial, sans-serif;">Đây là nhóm dễ gặp, điều trị rõ ràng nhưng lại thường bị làm… nửa vời.</span></p>
</blockquote>
<h2 class="cvGsUA direction-ltr align-justify para-style-body"><span style="font-family: helvetica, arial, sans-serif; font-size: 14pt;"><strong><span class="a_GcMg font-feature-liga-off font-feature-clig-off font-feature-calt-off text-decoration-none text-strikethrough-none">Cần điều trị cả 3 hướng:</span></strong></span></h2>
<ul>
<li><span class="a_GcMg font-feature-liga-off font-feature-clig-off font-feature-calt-off text-decoration-none text-strikethrough-none" style="font-size: 14pt; font-family: helvetica, arial, sans-serif;">Diệt ký sinh trùng toàn thân.</span></li>
<li><span class="a_GcMg font-feature-liga-off font-feature-clig-off font-feature-calt-off text-decoration-none text-strikethrough-none" style="font-size: 14pt; font-family: helvetica, arial, sans-serif;">Xử lý tổn thương da tại chỗ.</span></li>
<li><span class="a_GcMg font-feature-liga-off font-feature-clig-off font-feature-calt-off text-decoration-none text-strikethrough-none" style="font-size: 14pt; font-family: helvetica, arial, sans-serif;">Làm sạch môi trường, cắt đứt vòng đời ký sinh.</span></li>
</ul>
<h2 class="cvGsUA direction-ltr align-justify para-style-body"><span style="font-family: helvetica, arial, sans-serif; font-size: 14pt;"><strong><span class="a_GcMg font-feature-liga-off font-feature-clig-off font-feature-calt-off text-decoration-none text-strikethrough-none">Thuốc trị ve – ghẻ hiệu quả hiện nay:</span></strong></span></h2>
<ul>
<li><span style="font-size: 14pt; font-family: helvetica, arial, sans-serif;"><span class="a_GcMg font-feature-liga-off font-feature-clig-off font-feature-calt-off text-decoration-none text-strikethrough-none">Ivermectin: tiêm hoặc uống, rẻ, hiệu quả cao với Demodex và Sarcoptes. Nhưng </span><span class="a_GcMg font-feature-liga-off font-feature-clig-off font-feature-calt-off text-decoration-none text-strikethrough-none">KHÔNG </span><span class="a_GcMg font-feature-liga-off font-feature-clig-off font-feature-calt-off text-decoration-none text-strikethrough-none">dùng cho Collie và mấy giống chó lai Collie (dễ ngộ độc).</span></span></li>
</ul>
<div>
<div>
<ul>
<li><span style="font-size: 14pt; font-family: helvetica, arial, sans-serif;">Selamectin (Revolution) , Moxidectin (Advocate): nhỏ gáy hàng tháng, tiện lợi, phù hợp trị ve, ghẻ tai, Sarcoptes.</span></li>
<li><span style="font-size: 14pt; font-family: helvetica, arial, sans-serif;">Fluralaner (Bravecto), Afoxolaner (Nexgard), Sarolaner (Simparica): viên nhai hoặc nhỏ gáy, diệt ve, Demodex, Sarcoptes cực mạnh, tác dụng dài (1–3 tháng).</span></li>
<li><span style="font-size: 14pt; font-family: helvetica, arial, sans-serif;">Lưu huỳnh: dùng tắm, đặc biệt hiệu quả với Demodex.</span></li>
</ul>
<div>
<h2><span style="font-family: helvetica, arial, sans-serif; font-size: 14pt;"><strong>Điều trị tại chỗ đi kèm:</strong></span></h2>
</div>
<ul>
<li><span style="font-size: 14pt; font-family: helvetica, arial, sans-serif;">Tắm bằng benzoyl peroxide (đẩy mủ, diệt Demodex), chlorhexidine hoặc lưu huỳnh (Sulfur).</span></li>
</ul>
<div>
<div>
<ul>
<li><span style="font-size: 14pt; font-family: helvetica, arial, sans-serif;">Làm sạch tai nếu có viêm tai (vì ve tai, nấm tai rất hay đi kèm).</span></li>
<li><span style="font-size: 14pt; font-family: helvetica, arial, sans-serif;">Xịt môi trường, hút bụi, giặt mền, phơi nắng – nếu không ve vẫn nở trứng liên tục.</span></li>
</ul>
<div>
<h2><span style="font-family: helvetica, arial, sans-serif; font-size: 14pt;"><strong>Ghẻ Demodex:</strong></span></h2>
</div>
<ul>
<li><span style="font-size: 14pt; font-family: helvetica, arial, sans-serif;">Điều trị ít nhất 4–6 tuần, test lại soi da mới được ngưng, không ngưng khi “thấy đỡ là được rồi”. Còn ghẻ Sarcoptes thì rất ngứa, dễ lây, phải xử lý cả đàn</span></li>
<li><span style="font-size: 14pt; font-family: helvetica, arial, sans-serif;">Nếu thấy ghẻ Demodex tái đi tái lại mỗi 2–3 tháng, phải nghĩ đến nguyên nhân nền: suy giáp, Cushing, dinh dưỡng kém, hoặc corticoid dùng kéo dài.</span></li>
<li><span class="a_GcMg font-feature-liga-off font-feature-clig-off font-feature-calt-off text-decoration-none text-strikethrough-none" style="font-size: 14pt; font-family: helvetica, arial, sans-serif;">Không điều trị nửa vời. Ghẻ mà “bỏ giữa chừng” là có ngày quay lại trả thù (tái lại là nặng hơn và điều trị lâu hơn)</span></li>
</ul>
</div>
</div>
</div>
</div>
</div>
</div>
<div class="host-bincmiainjofjnhchmcalkanjebghoen" style="position: relative; z-index: 2147483647;">
<hr />
</div>
<div>
<h2 data-start="3153" data-end="3187"><span style="font-family: helvetica, arial, sans-serif;"><strong>Tài liệu tham khảo</strong></span></h2>
<ol data-start="3188" data-end="3779">
<li data-start="3188" data-end="3275">
<p data-start="3191" data-end="3275"><span style="font-size: 14pt; font-family: helvetica, arial, sans-serif;">Bowman, D.D. (2021). <em data-start="3212" data-end="3253">Georgis&#8217; Parasitology for Veterinarians</em>, 12th ed. Elsevier.</span></p>
</li>
<li data-start="3276" data-end="3391">
<p data-start="3279" data-end="3391"><span style="font-size: 14pt; font-family: helvetica, arial, sans-serif;">Scott, D.W., Miller, W.H., Griffin, C.E. (2013). <em data-start="3328" data-end="3370">Muller &amp; Kirk’s Small Animal Dermatology</em>, 7th ed. Elsevier.</span></p>
</li>
<li data-start="3392" data-end="3486">
<p data-start="3395" data-end="3486"><span style="font-size: 14pt; font-family: helvetica, arial, sans-serif;">Little, S.E. (2020). <em data-start="3416" data-end="3458">Veterinary Parasitology Reference Manual</em>, 6th ed. Wiley-Blackwell.</span></p>
</li>
<li data-start="3487" data-end="3638">
<p data-start="3490" data-end="3638"><span style="font-size: 14pt; font-family: helvetica, arial, sans-serif;">Dryden, M.W. &amp; Rust, M.K. (2022). “The Role of Fleas and Ticks in Canine Dermatitis.” <em data-start="3576" data-end="3619">Veterinary Clinics: Small Animal Practice</em>, 52(3): 511–528.</span></p>
</li>
<li data-start="3639" data-end="3779">
<p data-start="3642" data-end="3779"><span style="font-size: 14pt; font-family: helvetica, arial, sans-serif;">Beugnet, F. et al. (2021). “Ectoparasite control in dogs and cats: Current approaches and future trends.” <em data-start="3748" data-end="3769">Parasites &amp; Vectors</em>, 14: 233.</span></p>
</li>
</ol>
</div>
<div style="text-align: right;"><span style="color: #ff6600; font-size: 14pt; font-family: helvetica, arial, sans-serif;"><em>Hãy liên hệ ngay với EduVET nếu có bất kỳ thắc mắc nào!</em></span></div>
<div class="host-bincmiainjofjnhchmcalkanjebghoen" style="position: relative; z-index: 2147483647;"></div>
<div class="host-bincmiainjofjnhchmcalkanjebghoen" style="position: relative; z-index: 2147483647;"></div>
<p>The post <a rel="nofollow" href="https://eduvet.vn/dieu-tri-benh-ngoai-da-do-ngoai-ky-sinh-trung-cho-meo/">Điều trị bệnh ngoài da do ngoại ký sinh trùng chó mèo</a> appeared first on <a rel="nofollow" href="https://eduvet.vn">EduVET</a>.</p>
]]></content:encoded>
					
					<wfw:commentRss>https://eduvet.vn/dieu-tri-benh-ngoai-da-do-ngoai-ky-sinh-trung-cho-meo/feed/</wfw:commentRss>
			<slash:comments>0</slash:comments>
		
		
			</item>
		<item>
		<title>Mổ sỏi bàng quang ở chó mèo</title>
		<link>https://eduvet.vn/mo-soi-bang-quang-o-cho-meo/</link>
					<comments>https://eduvet.vn/mo-soi-bang-quang-o-cho-meo/#respond</comments>
		
		<dc:creator><![CDATA[qcv]]></dc:creator>
		<pubDate>Tue, 04 Nov 2025 07:04:05 +0000</pubDate>
				<category><![CDATA[BỆNH NGOẠI KHOA THÚ Y]]></category>
		<category><![CDATA[bàng quang chó mèo]]></category>
		<category><![CDATA[mổ bàng quang]]></category>
		<category><![CDATA[sỏi bàng quang chó mèo]]></category>
		<guid isPermaLink="false">https://eduvet.vn/?p=3995</guid>

					<description><![CDATA[<p>Quy trình và kỹ thuật mổ sỏi bàng quang Cơ chế hình thành sỏi tiết niệu và cách điều trị 1. Thông tiểu trước khi mổ Trước hết, chúng ta nên tiến hành thông tiểu. Trường hợp con vật bị bí tiểu, sỏi, hoặc viêm gây tắc nghẽn đường tiểu mà không thể thông qua [&#8230;]</p>
<p>The post <a rel="nofollow" href="https://eduvet.vn/mo-soi-bang-quang-o-cho-meo/">Mổ sỏi bàng quang ở chó mèo</a> appeared first on <a rel="nofollow" href="https://eduvet.vn">EduVET</a>.</p>
]]></description>
										<content:encoded><![CDATA[<h2 data-start="315" data-end="393"><img loading="lazy" decoding="async" class="size-medium wp-image-4002 alignright" src="https://eduvet.vn/wp-content/uploads/2025/11/unnamed-file-300x300.jpg" alt="" width="300" height="300" srcset="https://eduvet.vn/wp-content/uploads/2025/11/unnamed-file-300x300.jpg 300w, https://eduvet.vn/wp-content/uploads/2025/11/unnamed-file-1024x1024.jpg 1024w, https://eduvet.vn/wp-content/uploads/2025/11/unnamed-file-150x150.jpg 150w, https://eduvet.vn/wp-content/uploads/2025/11/unnamed-file-768x768.jpg 768w, https://eduvet.vn/wp-content/uploads/2025/11/unnamed-file-1536x1536.jpg 1536w, https://eduvet.vn/wp-content/uploads/2025/11/unnamed-file-2048x2048.jpg 2048w, https://eduvet.vn/wp-content/uploads/2025/11/unnamed-file-600x600.jpg 600w" sizes="(max-width: 300px) 100vw, 300px" /></h2>
<h2 data-start="315" data-end="393"><span style="font-family: helvetica, arial, sans-serif;"><strong data-start="319" data-end="393">Quy trình và kỹ thuật mổ sỏi bàng quang</strong></span></h2>
<ul>
<li><span style="font-size: 14pt; font-family: helvetica, arial, sans-serif;"><a href="https://eduvet.vn/su-hinh-thanh-soi-tiet-nieu-o-cho-meo-va-cach-dieu-tri/"><span style="color: #0000ff;">Cơ chế hình thành sỏi tiết niệu và cách điều trị</span></a></span></li>
</ul>
<h2 data-start="395" data-end="425"><span style="font-family: helvetica, arial, sans-serif;"><strong data-start="395" data-end="425">1. Thông tiểu trước khi mổ</strong></span></h2>
<p data-start="427" data-end="761"><span style="font-size: 14pt; font-family: helvetica, arial, sans-serif;">Trước hết, chúng ta nên tiến hành thông tiểu. Trường hợp con vật bị bí tiểu, sỏi, hoặc viêm gây tắc nghẽn đường tiểu mà không thể thông qua niệu đạo được, thì ta cần dùng kim chọc qua thành bụng vào bàng quang để rút nước tiểu.</span><br data-start="674" data-end="677" /><span style="font-size: 14pt; font-family: helvetica, arial, sans-serif;">Mục đích là làm bàng quang nhỏ lại, giúp vết mổ nhỏ và thao tác dễ dàng hơn.</span></p>
<p data-start="763" data-end="799"><span style="font-size: 14pt; font-family: helvetica, arial, sans-serif;"><strong>Cấu trúc giải phẫu cần nắm rõ:</strong></span></p>
<ul data-start="800" data-end="1110">
<li data-start="800" data-end="921">
<p data-start="802" data-end="921"><span style="font-size: 14pt; font-family: helvetica, arial, sans-serif;">Bàng quang nằm trong khung chậu, ở trạng thái không chứa nước tiểu thì gần như nằm trọn trong khung chậu.</span></p>
</li>
<li data-start="922" data-end="1031">
<p data-start="924" data-end="1031"><span style="font-size: 14pt; font-family: helvetica, arial, sans-serif;">Ở mèo, bàng quang thường nằm hoàn toàn trong khung chậu, còn ở chó thì hơi nhô ra trước một chút.</span></p>
</li>
<li data-start="1032" data-end="1110">
<p data-start="1034" data-end="1110"><span style="font-size: 14pt; font-family: helvetica, arial, sans-serif;">Khi chứa đầy nước tiểu, bàng quang căng phồng và dịch ra phía trước.</span></p>
</li>
</ul>
<p data-start="1112" data-end="1163"><span style="font-size: 14pt; font-family: helvetica, arial, sans-serif;"><strong>Khi chọc kim rút nước tiểu, có một lưu ý nhỏ:</strong></span></p>
<ul data-start="1164" data-end="1452">
<li data-start="1164" data-end="1274">
<p data-start="1166" data-end="1274"><span style="font-size: 14pt; font-family: helvetica, arial, sans-serif;">Khi nước tiểu rút ra, bàng quang sẽ co dần về phía sau, làm cho kim nghiêng dần và có thể tuột ra.</span></p>
</li>
<li data-start="1275" data-end="1452">
<p data-start="1277" data-end="1452"><span style="font-size: 14pt; font-family: helvetica, arial, sans-serif;">Để tránh điều này, nên dùng tay sờ bàng quang, đẩy nhẹ về phía khung chậu rồi mới chọc kim. Như vậy, dù nước tiểu rút gần hết thì kim vẫn giữ ổn định, không bị lệch.</span></p>
</li>
</ul>
<p data-start="1454" data-end="1675"><span style="font-size: 14pt; font-family: helvetica, arial, sans-serif;"><strong>Trường hợp đặc biệt:</strong></span><br data-start="1478" data-end="1481" /><span style="font-size: 14pt; font-family: helvetica, arial, sans-serif;">Nếu con vật bí tiểu lâu, bàng quang căng to, suy thận, cơ thể yếu, nên chọc kim rút tiểu nhiều lần mỗi vài giờ trong vài ngày để giúp con vật khỏe hơn trước khi tiến hành phẫu thuật.</span></p>
<hr data-start="1677" data-end="1680" />
<h2 data-start="1682" data-end="1726"><span style="font-family: helvetica, arial, sans-serif;"><strong data-start="1682" data-end="1726">2. Một số tình huống lâm sàng </strong></span></h2>
<blockquote>
<p style="text-align: center;" data-start="1728" data-end="2149"><span style="font-size: 14pt; color: #ff0000; font-family: helvetica, arial, sans-serif;">“Sau khi rút được vài ống nước tiểu thì con bệnh chết, nguyên nhân vì sao?”</span></p>
</blockquote>
<p data-start="1728" data-end="2149"><span style="font-size: 14pt; font-family: helvetica, arial, sans-serif;"><strong>Trả lời:</strong> nếu siêu âm thấy bàng quang căng nhiều ngày, việc rút nước tiểu quá nhanh, quá nhiều có thể gây thay đổi áp lực đột ngột, làm thiếu máu bàng quang, hoại tử niêm mạc hoặc rối loạn điện giải.</span><br data-start="2044" data-end="2047" /><span style="font-size: 14pt; font-family: helvetica, arial, sans-serif;">Tuy nhiên, rút nước tiểu thông thường không gây nguy hiểm nếu làm đúng cách và chia làm nhiều lần.</span></p>
<p data-start="2151" data-end="2535"><span style="font-size: 14pt; font-family: helvetica, arial, sans-serif;">Thường nên rút gần hết lượng nước tiểu, đợi 2–3 tiếng rồi rút tiếp, vì bàng quang sau giãn sẽ chưa co lại ngay.</span><br data-start="2274" data-end="2277" /><span style="font-size: 14pt; font-family: helvetica, arial, sans-serif;">Nếu căng quá lâu, thành bàng quang mỏng và dễ rò nước tiểu.</span><br data-start="2340" data-end="2343" /><span style="font-size: 14pt; font-family: helvetica, arial, sans-serif;">Cần loại trừ thêm nguyên nhân suy thận hoặc viêm nặng.</span><br data-start="2401" data-end="2404" /><span style="font-size: 14pt; font-family: helvetica, arial, sans-serif;">Về dụng cụ, có thể dùng kim bướm, kim đốc vàng hoặc kim đốc hồng. Tuy nhiên, kim bướm thường ít đau và an toàn hơn.</span></p>
<p data-start="2537" data-end="2709"><span style="font-size: 14pt; font-family: helvetica, arial, sans-serif;">→ Khi thao tác, một người giữ bàng quang và cố định kim, người còn lại rút nước tiểu bằng xi-lanh, thay bơm liên tục. Làm việc phối hợp hai người sẽ hiệu quả hơn.</span></p>
<hr data-start="2711" data-end="2714" />
<h2 data-start="2716" data-end="2746"><span style="font-family: helvetica, arial, sans-serif;"><strong data-start="2716" data-end="2746">3. Về điện giải và an toàn</strong></span></h2>
<p data-start="2748" data-end="3019"><span style="font-size: 14pt; font-family: helvetica, arial, sans-serif;">Nhiều người lo rút nhiều nước tiểu sẽ tụt Kali (K⁺).</span><br data-start="2804" data-end="2807" /><span style="font-size: 14pt; font-family: helvetica, arial, sans-serif;">Thực tế, tụt K⁺ chỉ xảy ra khi con vật đái nhiều kéo dài, suy thận mạn hoặc dùng thuốc lợi tiểu mạnh (như Furosemide) trong nhiều ngày liên tiếp.</span><br data-start="2956" data-end="2959" /><span style="font-size: 14pt; font-family: helvetica, arial, sans-serif;">Rút nước tiểu thông thường, ngắt quãng không gây tụt K⁺.</span></p>
<p data-start="3021" data-end="3162"><span style="font-size: 14pt; font-family: helvetica, arial, sans-serif;">Việc chọc kim bàng quang cũng hiếm khi gây dò rỉ nước tiểu. Nếu kim bị tuột, có thể chọc lại – không gây biến chứng nghiêm trọng.</span></p>
<hr data-start="3164" data-end="3167" />
<h2 data-start="3169" data-end="3195"><span style="font-family: helvetica, arial, sans-serif;"><strong data-start="3169" data-end="3195">4. Trình tự phẫu thuật</strong></span></h2>
<p data-start="3197" data-end="3466"><span style="font-family: helvetica, arial, sans-serif;">T<span style="font-size: 14pt;">rước khi mổ, nên rút bớt nước tiểu để giảm căng bàng quang. Có thể thực hiện trước hoặc sau khi mở thành bụng, tùy thói quen từng bác sĩ.</span></span><br data-start="3343" data-end="3346" /><span style="font-size: 14pt; font-family: helvetica, arial, sans-serif;">Khi mổ, tay cầm được bàng quang sẽ giúp thao tác dễ hơn, nên nhiều bác sĩ thích rút nước tiểu trước khi mở bụng.</span></p>
<p data-start="3468" data-end="3478"><span style="font-size: 14pt; font-family: helvetica, arial, sans-serif;">Tiến hành:</span></p>
<p data-start="3468" data-end="3478"><span style="font-family: helvetica, arial, sans-serif;"><img loading="lazy" decoding="async" class=" wp-image-3997 aligncenter" src="https://eduvet.vn/wp-content/uploads/2025/11/1-8-300x188.jpg" alt="" width="755" height="473" srcset="https://eduvet.vn/wp-content/uploads/2025/11/1-8-300x188.jpg 300w, https://eduvet.vn/wp-content/uploads/2025/11/1-8-1024x640.jpg 1024w, https://eduvet.vn/wp-content/uploads/2025/11/1-8-768x480.jpg 768w, https://eduvet.vn/wp-content/uploads/2025/11/1-8-1536x960.jpg 1536w, https://eduvet.vn/wp-content/uploads/2025/11/1-8-2048x1280.jpg 2048w, https://eduvet.vn/wp-content/uploads/2025/11/1-8-600x375.jpg 600w" sizes="(max-width: 755px) 100vw, 755px" />  </span></p>
<ol data-start="3479" data-end="3863">
<li data-start="3479" data-end="3603">
<p data-start="3482" data-end="3603"><span style="font-size: 14pt; font-family: helvetica, arial, sans-serif;">Dùng chỉ chờ kéo căng bàng quang để dễ dàng thực hiện, đưa hết sỏi ra ngoài và rửa sạch sỏi nhỏ trong bàng quang</span></p>
</li>
<li data-start="3479" data-end="3603"><span style="font-size: 14pt; font-family: helvetica, arial, sans-serif;">Phương pháp khâu: Kết hợp khâu liên tục và khâu đơn lớp thanh mạc bên ngoài.</span>
<p data-start="4332" data-end="4415"><span style="font-family: helvetica, arial, sans-serif;"><img loading="lazy" decoding="async" class=" wp-image-3998 aligncenter" src="https://eduvet.vn/wp-content/uploads/2025/11/2-8-300x188.jpg" alt="" width="766" height="480" srcset="https://eduvet.vn/wp-content/uploads/2025/11/2-8-300x188.jpg 300w, https://eduvet.vn/wp-content/uploads/2025/11/2-8-1024x640.jpg 1024w, https://eduvet.vn/wp-content/uploads/2025/11/2-8-768x480.jpg 768w, https://eduvet.vn/wp-content/uploads/2025/11/2-8-1536x960.jpg 1536w, https://eduvet.vn/wp-content/uploads/2025/11/2-8-2048x1280.jpg 2048w, https://eduvet.vn/wp-content/uploads/2025/11/2-8-600x375.jpg 600w" sizes="(max-width: 766px) 100vw, 766px" /></span></p>
<ul data-start="4418" data-end="4696">
<li data-start="4418" data-end="4467">
<p data-start="4420" data-end="4467"><span style="font-size: 14pt; font-family: helvetica, arial, sans-serif;">Lớp đầu tiên khâu liên tục cả lớp niêm mạc và thanh mạc, để khoảng cách giữa các nút rộng</span></p>
</li>
<li data-start="4418" data-end="4467"><span style="font-family: helvetica, arial, sans-serif;"><img loading="lazy" decoding="async" class=" wp-image-3999 aligncenter" src="https://eduvet.vn/wp-content/uploads/2025/11/3-5-300x188.jpg" alt="" width="732" height="459" srcset="https://eduvet.vn/wp-content/uploads/2025/11/3-5-300x188.jpg 300w, https://eduvet.vn/wp-content/uploads/2025/11/3-5-1024x640.jpg 1024w, https://eduvet.vn/wp-content/uploads/2025/11/3-5-768x480.jpg 768w, https://eduvet.vn/wp-content/uploads/2025/11/3-5-1536x960.jpg 1536w, https://eduvet.vn/wp-content/uploads/2025/11/3-5-2048x1280.jpg 2048w, https://eduvet.vn/wp-content/uploads/2025/11/3-5-600x375.jpg 600w" sizes="(max-width: 732px) 100vw, 732px" /></span></li>
<li data-start="4470" data-end="4696">
<p data-start="4472" data-end="4696"><span style="font-size: 14pt; font-family: helvetica, arial, sans-serif;">Lớp thứ hai khâu đơn, xen kẽ giữa các nút liên tục, chỉ xuyên thanh mạc không xuống niêm mạc bàng quang, giúp bịt kín hoàn toàn và giảm căng.</span><br data-start="4577" data-end="4580" /><span style="font-size: 14pt; font-family: helvetica, arial, sans-serif;">→ Đây là phương pháp tối ưu, an toàn, dễ khâu, phù hợp cho mọi loại bàng quang (mỏng, dày, viêm, tổn thương…).</span></p>
</li>
</ul>
</li>
</ol>
<hr data-start="4993" data-end="4996" />
<h2 data-start="4998" data-end="5030"><span style="font-family: helvetica, arial, sans-serif;"><strong data-start="4998" data-end="5030">6. Đặt ống thông tiểu sau mổ</strong></span></h2>
<p data-start="5032" data-end="5113"><span style="font-size: 14pt; font-family: helvetica, arial, sans-serif;">Sau khi khâu, đặt ống thông tiểu khoảng 6 ngày để giúp bàng quang phục hồi.</span></p>
<p data-start="5115" data-end="5566"><span style="font-size: 14pt; font-family: helvetica, arial, sans-serif;"><strong data-start="5115" data-end="5126">Cơ chế:</strong></span></p>
<ul>
<li data-start="5115" data-end="5566"><span style="font-size: 14pt; font-family: helvetica, arial, sans-serif;">Não có trung khu điều khiển cơ vòng bàng quang, phối hợp giữa nhận cảm giác buồn tiểu và chỉ đạo tiểu tiện.</span><br data-start="5248" data-end="5251" /><span style="font-size: 14pt; font-family: helvetica, arial, sans-serif;">Niêm mạc bàng quang có tế bào cảm thụ áp lực, hoạt động tương tự như phao trong két nước – khi bàng quang căng, các thụ thể này báo hiệu cho não để điều tiết việc tiểu tiện.</span><br data-start="5432" data-end="5435" /><span style="font-size: 14pt; font-family: helvetica, arial, sans-serif;">Việc đặt thông tiểu giúp giảm áp lực, tránh kích thích trung khu điều tiết, cho bàng quang có thời gian hồi phục hoàn toàn.</span></li>
</ul>
<hr />
<h2 data-start="4286" data-end="4311"><span style="font-family: helvetica, arial, sans-serif;"><strong data-start="4289" data-end="4311">Tài liệu tham khảo</strong></span></h2>
<ol data-start="4312" data-end="4837">
<li data-start="4312" data-end="4413">
<p data-start="4315" data-end="4413"><span style="font-size: 14pt; font-family: helvetica, arial, sans-serif;">Osborne, C. A., et al. (2008). <em data-start="4346" data-end="4388">Canine and Feline Nephrology and Urology</em>. Blackwell Publishing.</span></p>
</li>
<li data-start="4414" data-end="4546">
<p data-start="4417" data-end="4546"><span style="font-size: 14pt; font-family: helvetica, arial, sans-serif;">Cooper, E. S., et al. (2014). “Bladder wall integrity after prolonged obstruction in cats.” <em data-start="4509" data-end="4527">J Vet Intern Med</em>, 28(1): 108–115.</span></p>
</li>
<li data-start="4547" data-end="4627">
<p data-start="4550" data-end="4627"><span style="font-size: 14pt; font-family: helvetica, arial, sans-serif;">Boothe, H. W. (2012). <em data-start="4572" data-end="4605">Small Animal Surgery Techniques</em>. Saunders Elsevier.</span></p>
</li>
<li data-start="4628" data-end="4698">
<p data-start="4631" data-end="4698"><span style="font-size: 14pt; font-family: helvetica, arial, sans-serif;">Fossum, T. W. (2018). <em data-start="4653" data-end="4675">Small Animal Surgery</em> (5th ed.). Elsevier.</span></p>
</li>
<li data-start="4699" data-end="4837">
<p data-start="4702" data-end="4837"><span style="font-size: 14pt; font-family: helvetica, arial, sans-serif;">Drost, W. T., &amp; Henry, G. A. (2017). &#8220;Ultrasound evaluation of the urinary bladder and urethra.&#8221; <em data-start="4799" data-end="4820">Vet Clin Small Anim</em>, 47(1): 33–50.</span></p>
</li>
</ol>
<p>&nbsp;</p>
<p style="text-align: right;"><span style="font-size: 14pt; font-family: helvetica, arial, sans-serif;"><em><span style="color: #ff6600;">Hãy liên hệ ngay với EduVET nếu có bất kỳ thắc mắc nào có bất kỳ thắc mắc nào !</span></em></span></p>
<div class="host-bincmiainjofjnhchmcalkanjebghoen" style="position: relative; z-index: 2147483647;"></div>
<div class="host-bincmiainjofjnhchmcalkanjebghoen" style="position: relative; z-index: 2147483647;"></div>
<p>The post <a rel="nofollow" href="https://eduvet.vn/mo-soi-bang-quang-o-cho-meo/">Mổ sỏi bàng quang ở chó mèo</a> appeared first on <a rel="nofollow" href="https://eduvet.vn">EduVET</a>.</p>
]]></content:encoded>
					
					<wfw:commentRss>https://eduvet.vn/mo-soi-bang-quang-o-cho-meo/feed/</wfw:commentRss>
			<slash:comments>0</slash:comments>
		
		
			</item>
		<item>
		<title>U hạch (u lympho) là gì và cách điều trị</title>
		<link>https://eduvet.vn/u-hach-u-lympho-la-gi-va-cach-dieu-tri/</link>
					<comments>https://eduvet.vn/u-hach-u-lympho-la-gi-va-cach-dieu-tri/#respond</comments>
		
		<dc:creator><![CDATA[qcv]]></dc:creator>
		<pubDate>Tue, 04 Nov 2025 06:23:20 +0000</pubDate>
				<category><![CDATA[BỆNH NỘI KHOA]]></category>
		<category><![CDATA[điều trị u]]></category>
		<category><![CDATA[điều trị u lympho]]></category>
		<category><![CDATA[u hạch]]></category>
		<category><![CDATA[u hạch ở chó mèo]]></category>
		<category><![CDATA[u lympho ở chó]]></category>
		<guid isPermaLink="false">https://eduvet.vn/?p=3985</guid>

					<description><![CDATA[<p>U Lympho là các khối ở vị trí hạch bạch huyết (có thể lan gan và lách), là bệnh tăng sinh ác tính của tế bào miễn dịch âm thầm nhưng tiến triển nhanh và chết nhanh Nguyên nhân: Retrovirus, di truyền, sử dụng thuốc, hóa chất thời gian dài         Cơ chế Tế [&#8230;]</p>
<p>The post <a rel="nofollow" href="https://eduvet.vn/u-hach-u-lympho-la-gi-va-cach-dieu-tri/">U hạch (u lympho) là gì và cách điều trị</a> appeared first on <a rel="nofollow" href="https://eduvet.vn">EduVET</a>.</p>
]]></description>
										<content:encoded><![CDATA[<div>
<div>
<ul>
<li><span style="font-size: 14pt; font-family: helvetica, arial, sans-serif;">U Lympho là các khối ở vị trí hạch bạch huyết (có thể lan gan và lách), là bệnh tăng sinh ác tính của tế bào miễn dịch âm thầm nhưng tiến triển nhanh và chết nhanh</span></li>
<li><span style="font-size: 14pt; font-family: helvetica, arial, sans-serif;">Nguyên nhân: Retrovirus, di truyền, sử dụng thuốc, hóa chất thời gian dài</span></li>
</ul>
<p><span style="font-family: helvetica, arial, sans-serif;">     <img loading="lazy" decoding="async" class=" wp-image-3991 aligncenter" src="https://eduvet.vn/wp-content/uploads/2025/11/2-7-300x188.jpg" alt="" width="898" height="563" srcset="https://eduvet.vn/wp-content/uploads/2025/11/2-7-300x188.jpg 300w, https://eduvet.vn/wp-content/uploads/2025/11/2-7-768x480.jpg 768w, https://eduvet.vn/wp-content/uploads/2025/11/2-7-600x375.jpg 600w" sizes="(max-width: 898px) 100vw, 898px" />  </span></p>
<hr />
<div>
<div>
<div>
<h2><span style="font-family: helvetica, arial, sans-serif;"><strong>Cơ chế</strong></span></h2>
</div>
<ul>
<li><span style="font-size: 14pt; font-family: helvetica, arial, sans-serif;">Tế bào lympho (B hoặc T) bị đột biến → tăng sinh mất kiểm soát → hình thành khối u ác tính.</span></li>
<li><span style="font-size: 14pt; font-family: helvetica, arial, sans-serif;">Ở mèo, virus FeLV (kích hoạt gen ung thư) và FIV (suy miễn dịch) là → thường gặp lymphoma trung thất, ruột.</span></li>
<li><span style="font-size: 14pt; font-family: helvetica, arial, sans-serif;">Lymphoma lan rộng sớm theo máu và bạch huyết → ảnh hưởng đa cơ quan (gan, tủy, ruột, da…).</span></li>
</ul>
<hr />
<div>
<h2><span style="font-family: helvetica, arial, sans-serif;"><strong>Giai đoạn</strong></span></h2>
</div>
<ul>
<li><span style="font-size: 14pt; font-family: helvetica, arial, sans-serif;">GD1: Xuất hiện ở một hạch bạch huyết duy nhất</span></li>
<li><span style="font-size: 14pt; font-family: helvetica, arial, sans-serif;">GD2: Lan đến nhiều hạch bạch huyết của 1 vùng (có thể ảnh hưởng đến amidan)</span></li>
<li><span style="font-size: 14pt; font-family: helvetica, arial, sans-serif;">GD3: Lan đến hạch bạch huyết 2 bên cơ thể ( cả trên và dưới cơ hoành)</span></li>
<li><span style="font-size: 14pt; font-family: helvetica, arial, sans-serif;">GD4: Lan đến gan, lách</span></li>
<li><span style="font-size: 14pt; font-family: helvetica, arial, sans-serif;">GD5: Đi vào máu và tủy xương</span></li>
</ul>
<hr />
<div>
<div>
<div>
<h2><span style="font-family: helvetica, arial, sans-serif;"><strong>Cơ chế</strong></span></h2>
</div>
<ul>
<li><span style="font-size: 14pt; font-family: helvetica, arial, sans-serif;">Tế bào lympho (B hoặc T) bị đột biến → tăng sinh mất kiểm soát → hình thành khối u ác tính.</span></li>
<li><span style="font-size: 14pt; font-family: helvetica, arial, sans-serif;">Ở mèo, virus FeLV (kích hoạt gen ung thư) và FIV (suy miễn dịch) là → thường gặp lymphoma trung thất, ruột.</span></li>
<li><span style="font-size: 14pt; font-family: helvetica, arial, sans-serif;">Lymphoma lan rộng sớm theo máu và bạch huyết → ảnh hưởng đa cơ quan (gan, tủy, ruột, da…).</span></li>
</ul>
<div>
<hr />
</div>
<div>
<div>
<div>
<h2><strong><span style="font-family: helvetica, arial, sans-serif;">Phân loại</span></strong></h2>
</div>
<h2><span style="font-size: 18pt; font-family: helvetica, arial, sans-serif;">1. U Lympho trung tâm</span></h2>
<ul>
<li><span style="font-size: 14pt; font-family: helvetica, arial, sans-serif;">Hay gặp trên chó, biểu hiện toàn thân và chủ yếu ảnh hưởng đến các hạch bạch huyết ở hàm dưới và trước vai, gan và lách to và tủy xương bị ảnh hưởng</span></li>
<li><span style="font-size: 14pt; font-family: helvetica, arial, sans-serif;">Triệu chứng chính: chán ăn, sụt cân, nôn mửa, tiêu chảy, gầy mòn, cổ trướng, khó thở và sốt</span></li>
<li><span style="font-size: 14pt; font-family: helvetica, arial, sans-serif;">Có cá dấu hiệu thiếu máu không tái tạo từ nhẹ đến trung bình, mặc dù điều này cũng có thể là do mất máu (như đã thấy trong u lympho đường tiêu hóa) hoặc thiếu máu tan máu do miễn dịch.</span></li>
<li><span style="font-size: 14pt; font-family: helvetica, arial, sans-serif;">Thiếu máu và tăng bạch cầu trung tính thường liên quan nhiều hơn đến u lympho T.</span></li>
<li><span style="font-size: 14pt; font-family: helvetica, arial, sans-serif;">Để chắc chắn thì sẽ thực hiện sinh thiết sinh thiết</span></li>
<li><span style="font-size: 14pt; font-family: helvetica, arial, sans-serif;">Sưng hạch trung thất trên phim x-quang cũng là 1 yếu tố quan trọng trong chẩn đoán</span></li>
</ul>
</div>
<div>
<div>
<div>
<h2><span style="font-family: helvetica, arial, sans-serif;"><strong>2. U lympho tiêu hóa</strong></span></h2>
</div>
<p><span style="font-family: helvetica, arial, sans-serif;"><img loading="lazy" decoding="async" class=" wp-image-3986 aligncenter" src="https://eduvet.vn/wp-content/uploads/2025/11/bai-dang-1-anh-vuong-Quynh-3-300x300.jpg" alt="" width="595" height="595" srcset="https://eduvet.vn/wp-content/uploads/2025/11/bai-dang-1-anh-vuong-Quynh-3-300x300.jpg 300w, https://eduvet.vn/wp-content/uploads/2025/11/bai-dang-1-anh-vuong-Quynh-3-1024x1024.jpg 1024w, https://eduvet.vn/wp-content/uploads/2025/11/bai-dang-1-anh-vuong-Quynh-3-150x150.jpg 150w, https://eduvet.vn/wp-content/uploads/2025/11/bai-dang-1-anh-vuong-Quynh-3-768x768.jpg 768w, https://eduvet.vn/wp-content/uploads/2025/11/bai-dang-1-anh-vuong-Quynh-3-1536x1536.jpg 1536w, https://eduvet.vn/wp-content/uploads/2025/11/bai-dang-1-anh-vuong-Quynh-3-2048x2048.jpg 2048w, https://eduvet.vn/wp-content/uploads/2025/11/bai-dang-1-anh-vuong-Quynh-3-600x600.jpg 600w" sizes="(max-width: 595px) 100vw, 595px" /></span></p>
<ul>
<li><span style="font-size: 14pt; font-family: helvetica, arial, sans-serif;">Nếu ở thể nhẹ sẽ gây sụt cân mãn tính, âm ỉ, nôn, tiêu chảy =&gt; chlorambucil + pred (sống 1,5 &#8211; 3 năm)</span></li>
<li><span style="font-size: 14pt; font-family: helvetica, arial, sans-serif;">Thể nặng gây sụt cân cấp tính, nôn tiêu, chảy =&gt; phì đại cơ quan trong ổ bụng và các hạch bạch huyết =&gt; hóa trị thường chỉ sống được 45-90 ngày kể cả khi hóa trị</span></li>
</ul>
<div>
<div>
<div>
<h2><span style="font-family: helvetica, arial, sans-serif;"><strong>3. U lympho da</strong></span></h2>
</div>
<p><span style="font-family: helvetica, arial, sans-serif;"><img loading="lazy" decoding="async" class=" wp-image-3989 aligncenter" src="https://eduvet.vn/wp-content/uploads/2025/11/3-3-scaled-240x300.jpg" alt="" width="623" height="779" srcset="https://eduvet.vn/wp-content/uploads/2025/11/3-3-scaled-240x300.jpg 240w, https://eduvet.vn/wp-content/uploads/2025/11/3-3-scaled-819x1024.jpg 819w, https://eduvet.vn/wp-content/uploads/2025/11/3-3-768x960.jpg 768w, https://eduvet.vn/wp-content/uploads/2025/11/3-3-1229x1536.jpg 1229w, https://eduvet.vn/wp-content/uploads/2025/11/3-3-1638x2048.jpg 1638w, https://eduvet.vn/wp-content/uploads/2025/11/3-3-600x750.jpg 600w, https://eduvet.vn/wp-content/uploads/2025/11/3-3-scaled.jpg 2048w" sizes="(max-width: 623px) 100vw, 623px" /></span></p>
<ul>
<li><span style="font-size: 14pt; font-family: helvetica, arial, sans-serif;">Các khu vực da bị tổn thương sẽ viêm, mẩn đỏ, loét, 50% có ngứa =&gt; sau đó sẽ hình thành các u cục, nốt chắc như nấm sâu</span></li>
</ul>
<div>
<div>
<div>
<h2><span style="font-family: helvetica, arial, sans-serif;"><strong>4. U lympho ngoài hạch</strong></span></h2>
</div>
<p><span style="font-family: helvetica, arial, sans-serif;"><img loading="lazy" decoding="async" class=" wp-image-3988 aligncenter" src="https://eduvet.vn/wp-content/uploads/2025/11/2-6-scaled-240x300.jpg" alt="" width="597" height="746" srcset="https://eduvet.vn/wp-content/uploads/2025/11/2-6-scaled-240x300.jpg 240w, https://eduvet.vn/wp-content/uploads/2025/11/2-6-scaled-819x1024.jpg 819w, https://eduvet.vn/wp-content/uploads/2025/11/2-6-768x960.jpg 768w, https://eduvet.vn/wp-content/uploads/2025/11/2-6-1229x1536.jpg 1229w, https://eduvet.vn/wp-content/uploads/2025/11/2-6-1638x2048.jpg 1638w, https://eduvet.vn/wp-content/uploads/2025/11/2-6-600x750.jpg 600w, https://eduvet.vn/wp-content/uploads/2025/11/2-6-scaled.jpg 2048w" sizes="(max-width: 597px) 100vw, 597px" /></span></p>
<ul>
<li><span style="font-size: 14pt; font-family: helvetica, arial, sans-serif;">Là các u không thuộc hệ thống hạch bạch huyết</span></li>
<li><span style="font-size: 14pt; font-family: helvetica, arial, sans-serif;">Hay gặp ở: mắt, mũi, bàng quang, thận, tủy sống, não,..</span></li>
</ul>
<div>
<div>
<div>
<h2><span style="font-family: helvetica, arial, sans-serif;"><strong>CHỈ ĐIỂM QUAN TRỌNG</strong></span></h2>
</div>
<ul>
<li><span style="font-size: 14pt; font-family: helvetica, arial, sans-serif;">Nếu không được điều trị -&gt; trung bình sống 30 ngày sau khi chẩn đoán</span></li>
<li><span style="font-size: 14pt; font-family: helvetica, arial, sans-serif;">Nếu được điều trị với prednisolone -&gt; trung bình sống 30-60 ngày</span></li>
<li><span style="font-size: 14pt; font-family: helvetica, arial, sans-serif;">Nếu hóa trị -&gt; 8-16 tháng (hóa trị và kết gợp với pred sẽ đem lại hiệu quả cao hơn)</span></li>
<li><span style="font-size: 14pt; font-family: helvetica, arial, sans-serif;">Chó mèo &gt;6 tuổi dễ mắc</span></li>
<li><span style="font-size: 14pt; font-family: helvetica, arial, sans-serif;">Mèo đã mắc felv, fiv dễ mắc</span></li>
<li><span style="font-size: 14pt; font-family: helvetica, arial, sans-serif;">Sờ thấy hạch to đối xứng →lym đa trung tâm → chọc hút tế bào / sinh thiết.</span></li>
<li><span style="font-size: 14pt; font-family: helvetica, arial, sans-serif;">Mèo gầy sút cân, tiêu chảy mãn tính → lymphoma ruột → siêu âm + sinh thiết hoặc test FeLV/FIV.</span></li>
<li><span style="font-size: 14pt; font-family: helvetica, arial, sans-serif;">Thiếu máu, giảm tiểu cầu không rõ nguyên nhân → loại trừ lymphoma xâm lấn tủy.</span></li>
</ul>
<p><span style="font-family: helvetica, arial, sans-serif;"><img loading="lazy" decoding="async" class=" wp-image-3990 aligncenter" src="https://eduvet.vn/wp-content/uploads/2025/11/1-7-300x188.jpg" alt="" width="724" height="454" srcset="https://eduvet.vn/wp-content/uploads/2025/11/1-7-300x188.jpg 300w, https://eduvet.vn/wp-content/uploads/2025/11/1-7-1024x640.jpg 1024w, https://eduvet.vn/wp-content/uploads/2025/11/1-7-768x480.jpg 768w, https://eduvet.vn/wp-content/uploads/2025/11/1-7-1536x960.jpg 1536w, https://eduvet.vn/wp-content/uploads/2025/11/1-7-2048x1280.jpg 2048w, https://eduvet.vn/wp-content/uploads/2025/11/1-7-600x375.jpg 600w" sizes="(max-width: 724px) 100vw, 724px" /></span></p>
<hr />
<div>
<div>
<div>
<h2><span style="font-family: helvetica, arial, sans-serif;"><strong>ĐIỀU TRỊ</strong></span></h2>
</div>
<ul>
<li><span style="font-size: 14pt; font-family: helvetica, arial, sans-serif;">Bên dưới đây là phương pháp dễ áp dụng nhất ở thời điểm hiện tại. Còn một phương pháp hiệu quả và ưu tiên hơn là xạ trị nhưng với điều kiện của thú y Việt Nam thì chưa áp dụng được nhiều.</span></li>
</ul>
<div>
<p><span style="font-size: 14pt; font-family: helvetica, arial, sans-serif;">Vincristine (0.8mg/m2)+ prednisolone (2-4mg/kg)</span></p>
</div>
<ul>
<li><span style="font-size: 14pt; font-family: helvetica, arial, sans-serif;">U lympho ruột thường bị thiếu vitamin B12 do kém hấp thu ở hồi tràng -&gt; bổ sung vitamin B12</span></li>
</ul>
<p><span style="font-family: helvetica, arial, sans-serif;"><img loading="lazy" decoding="async" class=" wp-image-3987 aligncenter" src="https://eduvet.vn/wp-content/uploads/2025/11/1-6-scaled-240x300.jpg" alt="" width="467" height="584" srcset="https://eduvet.vn/wp-content/uploads/2025/11/1-6-scaled-240x300.jpg 240w, https://eduvet.vn/wp-content/uploads/2025/11/1-6-scaled-819x1024.jpg 819w, https://eduvet.vn/wp-content/uploads/2025/11/1-6-768x960.jpg 768w, https://eduvet.vn/wp-content/uploads/2025/11/1-6-1229x1536.jpg 1229w, https://eduvet.vn/wp-content/uploads/2025/11/1-6-1638x2048.jpg 1638w, https://eduvet.vn/wp-content/uploads/2025/11/1-6-600x750.jpg 600w, https://eduvet.vn/wp-content/uploads/2025/11/1-6-scaled.jpg 2048w" sizes="(max-width: 467px) 100vw, 467px" /></span></p>
<hr />
<div>
<div>
<div>
<h2><strong><span style="font-family: helvetica, arial, sans-serif;">CÔNG THỨC THAM KHẢO</span></strong></h2>
</div>
<div>
<p><span style="font-size: 14pt; font-family: helvetica, arial, sans-serif;">0,5 &#8211; 0,7 mg/m2/IV chậm diện tích bề mặt cơ thể/ 1-2 tuần / 4–8 tuần</span></p>
</div>
<div>
<p><span style="font-size: 14pt; font-family: helvetica, arial, sans-serif;">VD: Chó 10kg = 0,469 m2 =&gt; liều dùng Vincristin (hàm lượng 1mg/1ml) là 0,2-0,3ml/1 tuần 1 lần/ 4-8 tuần.</span></p>
<p style="text-align: center;"><span style="font-size: 14pt; font-family: helvetica, arial, sans-serif;"><strong>Bảng 1</strong>. quy đổi cân nặng trên chó</span></p>
</div>
</div>
<p><span style="font-family: helvetica, arial, sans-serif;"><img loading="lazy" decoding="async" class=" wp-image-3992 aligncenter" src="https://eduvet.vn/wp-content/uploads/2025/11/3-4-300x188.jpg" alt="" width="729" height="457" srcset="https://eduvet.vn/wp-content/uploads/2025/11/3-4-300x188.jpg 300w, https://eduvet.vn/wp-content/uploads/2025/11/3-4-1024x640.jpg 1024w, https://eduvet.vn/wp-content/uploads/2025/11/3-4-768x480.jpg 768w, https://eduvet.vn/wp-content/uploads/2025/11/3-4-1536x960.jpg 1536w, https://eduvet.vn/wp-content/uploads/2025/11/3-4-2048x1280.jpg 2048w, https://eduvet.vn/wp-content/uploads/2025/11/3-4-600x375.jpg 600w" sizes="(max-width: 729px) 100vw, 729px" /></span></p>
<p>&nbsp;</p>
</div>
<p style="text-align: center;"><span style="font-size: 14pt; font-family: helvetica, arial, sans-serif;"><strong>Bảng 2</strong>. quy đổi cân nặng trên mèo</span></p>
<p><span style="font-family: helvetica, arial, sans-serif;"><img loading="lazy" decoding="async" class=" wp-image-3993 aligncenter" src="https://eduvet.vn/wp-content/uploads/2025/11/4-2-300x188.jpg" alt="" width="738" height="463" srcset="https://eduvet.vn/wp-content/uploads/2025/11/4-2-300x188.jpg 300w, https://eduvet.vn/wp-content/uploads/2025/11/4-2-600x375.jpg 600w" sizes="(max-width: 738px) 100vw, 738px" /></span></p>
<div>
<div>
<div>
<hr />
</div>
</div>
<h2 data-start="4056" data-end="4078"><span style="font-family: helvetica, arial, sans-serif;"><strong>TÀI LIỆU THAM KHẢO</strong></span></h2>
<ol data-start="4079" data-end="4572">
<li data-start="4079" data-end="4208">
<p data-start="4082" data-end="4208"><span style="font-size: 14pt; font-family: helvetica, arial, sans-serif;">Vail, D. M., Thamm, D. H., &amp; Liptak, J. M. (2019). <em data-start="4133" data-end="4185">Withrow &amp; MacEwen’s Small Animal Clinical Oncology</em> (6th ed.). Elsevier.</span></p>
</li>
<li data-start="4209" data-end="4327">
<p data-start="4212" data-end="4327"><span style="font-size: 14pt; font-family: helvetica, arial, sans-serif;">Modiano, J. F., et al. (2005). &#8220;Molecular mechanisms of canine lymphoid neoplasia.&#8221; <em data-start="4296" data-end="4308">Vet Pathol</em>, 42(2): 189–210.</span></p>
</li>
<li data-start="4328" data-end="4435">
<p data-start="4331" data-end="4435"><span style="font-size: 14pt; font-family: helvetica, arial, sans-serif;">Hartmann, K. (2012). &#8220;Clinical aspects of feline retroviruses: a review.&#8221; <em data-start="4405" data-end="4414">Viruses</em>, 4(11): 2684–2710.</span></p>
</li>
<li data-start="4436" data-end="4572">
<p data-start="4439" data-end="4572"><span style="font-size: 14pt; font-family: helvetica, arial, sans-serif;">Gavazza, A., et al. (2008). &#8220;Multicentric lymphoma in the dog: clinical and immunophenotypical features.&#8221; <em data-start="4545" data-end="4552">Vet J</em>, 177(3): 367–371.</span></p>
</li>
</ol>
<p style="text-align: right;"><span style="color: #ff6600; font-size: 14pt; font-family: helvetica, arial, sans-serif;"><em>Liên hệ ngay với EduVET nếu có bất kỳ thắc mắc nào!</em></span></p>
<div>
<p>&nbsp;</p>
</div>
</div>
</div>
</div>
</div>
</div>
</div>
</div>
</div>
</div>
</div>
</div>
</div>
</div>
</div>
</div>
</div>
</div>
</div>
<div class="host-bincmiainjofjnhchmcalkanjebghoen" style="position: relative; z-index: 2147483647;"></div>
<div class="host-bincmiainjofjnhchmcalkanjebghoen" style="position: relative; z-index: 2147483647;"></div>
<p>The post <a rel="nofollow" href="https://eduvet.vn/u-hach-u-lympho-la-gi-va-cach-dieu-tri/">U hạch (u lympho) là gì và cách điều trị</a> appeared first on <a rel="nofollow" href="https://eduvet.vn">EduVET</a>.</p>
]]></content:encoded>
					
					<wfw:commentRss>https://eduvet.vn/u-hach-u-lympho-la-gi-va-cach-dieu-tri/feed/</wfw:commentRss>
			<slash:comments>0</slash:comments>
		
		
			</item>
		<item>
		<title>Chế độ ăn và dinh dưỡng cho chó mèo bệnh tiêu hóa</title>
		<link>https://eduvet.vn/che-do-an-va-dinh-duong-cho-cho-meo-benh-tieu-hoa/</link>
					<comments>https://eduvet.vn/che-do-an-va-dinh-duong-cho-cho-meo-benh-tieu-hoa/#respond</comments>
		
		<dc:creator><![CDATA[qcv]]></dc:creator>
		<pubDate>Mon, 03 Nov 2025 11:02:47 +0000</pubDate>
				<category><![CDATA[DINH DƯỠNG]]></category>
		<category><![CDATA[bện đường ruột]]></category>
		<category><![CDATA[chế độ ăn]]></category>
		<category><![CDATA[chế độ ăn chó mèo bệnh đường ruột]]></category>
		<category><![CDATA[chó mèo]]></category>
		<guid isPermaLink="false">https://eduvet.vn/?p=3976</guid>

					<description><![CDATA[<p>Tổng quan Chế độ ăn uống có thể hỗ trợ quan trọng trong điều trị bệnh lý đường tiêu hóa ở chó và mèo, bao gồm bệnh cấp và mạn tính của dạ dày, ruột, tụy, đại tràng và túi mật. Khi lựa chọn khẩu phần, một yếu tố quan trọng là khả năng tiêu [&#8230;]</p>
<p>The post <a rel="nofollow" href="https://eduvet.vn/che-do-an-va-dinh-duong-cho-cho-meo-benh-tieu-hoa/">Chế độ ăn và dinh dưỡng cho chó mèo bệnh tiêu hóa</a> appeared first on <a rel="nofollow" href="https://eduvet.vn">EduVET</a>.</p>
]]></description>
										<content:encoded><![CDATA[<div>
<div>
<div>
<h2><span style="font-family: helvetica, arial, sans-serif;"><strong>Tổng quan</strong></span></h2>
</div>
<ul>
<li><span style="font-size: 14pt; font-family: helvetica, arial, sans-serif;">Chế độ ăn uống có thể hỗ trợ quan trọng trong điều trị bệnh lý đường tiêu hóa ở chó và mèo, bao gồm bệnh cấp và mạn tính của dạ dày, ruột, tụy, đại tràng và túi mật. Khi lựa chọn khẩu phần, một yếu tố quan trọng là khả năng tiêu hóa dinh dưỡng của thức ăn.</span></li>
<li><span style="font-size: 14pt; font-family: helvetica, arial, sans-serif;">Bốn loại chế độ ăn chính trong bệnh lý tiêu hóa</span></li>
</ul>
<hr />
<div>
<div>
<div>
<h2><span style="font-family: helvetica, arial, sans-serif;"><strong>1. Chế độ ăn ít chất cặn bã</strong></span></h2>
</div>
<ul>
<li><span style="font-size: 14pt; font-family: helvetica, arial, sans-serif;">Có khả năng tiêu hóa protein &gt;87%, chất béo và carbohydrate &gt;90%.</span></li>
<li><span style="font-size: 14pt; font-family: helvetica, arial, sans-serif;">Thành phần tinh chế, ít chất xơ (dưới 3–5% vật chất khô).</span></li>
<li><span style="font-size: 14pt; font-family: helvetica, arial, sans-serif;">Giúp giảm gánh nặng cho dạ dày và hỗ trợ hấp thu ruột tổn thương.</span></li>
</ul>
<div>
<h2><span style="font-family: helvetica, arial, sans-serif;"><strong>2. Chế độ ăn tăng cường chất xơ</strong></span></h2>
<p><img loading="lazy" decoding="async" class=" wp-image-3978 aligncenter" src="https://eduvet.vn/wp-content/uploads/2025/11/2-5-300x188.jpg" alt="" width="780" height="489" srcset="https://eduvet.vn/wp-content/uploads/2025/11/2-5-300x188.jpg 300w, https://eduvet.vn/wp-content/uploads/2025/11/2-5-1024x640.jpg 1024w, https://eduvet.vn/wp-content/uploads/2025/11/2-5-768x480.jpg 768w, https://eduvet.vn/wp-content/uploads/2025/11/2-5-1536x960.jpg 1536w, https://eduvet.vn/wp-content/uploads/2025/11/2-5-2048x1280.jpg 2048w, https://eduvet.vn/wp-content/uploads/2025/11/2-5-600x375.jpg 600w" sizes="(max-width: 780px) 100vw, 780px" /></p>
</div>
<ul>
<li><span style="font-size: 14pt; font-family: helvetica, arial, sans-serif;">Kết hợp cả chất xơ hòa tan (làm gel, làm chậm nhu động ruột) và không hòa tan (tăng khối phân, hấp thụ nước).</span></li>
<li><span style="font-size: 14pt; font-family: helvetica, arial, sans-serif;">Dùng cho bệnh tiêu hóa, đại tràng và cả tiểu đường.</span></li>
<li><span style="font-size: 14pt; font-family: helvetica, arial, sans-serif;">Quá nhiều chất xơ có thể gây tiêu chảy, táo bón hoặc đầy hơi.</span></li>
</ul>
<div>
<div>
<div>
<h2><span style="font-family: helvetica, arial, sans-serif;"><strong>3. Chế độ ăn ít chất béo</strong></span></h2>
</div>
<ul>
<li><span style="font-size: 14pt; font-family: helvetica, arial, sans-serif;">Hàm lượng chất béo 18–25 g/1000 kcal.</span></li>
<li><span style="font-size: 14pt; font-family: helvetica, arial, sans-serif;">Dùng trong viêm tụy, nôn mửa, hoặc rối loạn dạ dày.</span></li>
<li><span style="font-size: 14pt; font-family: helvetica, arial, sans-serif;">Không phù hợp cho giảm cân vì có thể thiếu chất dinh dưỡng cần thiết.</span></li>
</ul>
<div>
<h2><span style="font-family: helvetica, arial, sans-serif;"><strong>4. Chế độ ăn ít gây dị ứng</strong></span></h2>
</div>
<ul>
<li><span style="font-size: 14pt; font-family: helvetica, arial, sans-serif;">Gồm hai loại: protein mới lạ hoặc protein thủy phân.</span></li>
<li><span style="font-size: 14pt; font-family: helvetica, arial, sans-serif;">Protein thủy phân có kích thước nhỏ, giảm khả năng gây phản ứng miễn dịch.</span></li>
<li><span style="font-size: 14pt; font-family: helvetica, arial, sans-serif;">Nên ưu tiên dùng sản phẩm kê đơn để hạn chế nhiễm chéo thành phần.</span></li>
</ul>
<hr />
</div>
<div>
<div>
<div>
<h2><span style="font-family: helvetica, arial, sans-serif;"><strong>Chế độ ăn cho từng bệnh lý tiêu hóa cụ thể</strong></span></h2>
</div>
<div>
<h2><span style="font-family: helvetica, arial, sans-serif;"><img loading="lazy" decoding="async" class="size-medium wp-image-3852 alignright" src="https://eduvet.vn/wp-content/uploads/2025/10/2-35-scaled-300x250.jpg" alt="" width="300" height="250" srcset="https://eduvet.vn/wp-content/uploads/2025/10/2-35-scaled-300x250.jpg 300w, https://eduvet.vn/wp-content/uploads/2025/10/2-35-scaled-1024x853.jpg 1024w, https://eduvet.vn/wp-content/uploads/2025/10/2-35-768x640.jpg 768w, https://eduvet.vn/wp-content/uploads/2025/10/2-35-1536x1280.jpg 1536w, https://eduvet.vn/wp-content/uploads/2025/10/2-35-2048x1706.jpg 2048w, https://eduvet.vn/wp-content/uploads/2025/10/2-35-600x500.jpg 600w" sizes="(max-width: 300px) 100vw, 300px" /></span></h2>
<h2><span style="font-family: helvetica, arial, sans-serif;">1. Nôn mửa</span></h2>
</div>
<ul>
<li><span style="font-size: 14pt; font-family: helvetica, arial, sans-serif;">Nên dùng chế độ ăn ít béo, ít chất xơ.</span></li>
<li><span style="font-size: 14pt; font-family: helvetica, arial, sans-serif;">Ăn thành nhiều bữa nhỏ (3–6 bữa/ngày).</span></li>
<li><span style="font-size: 14pt; font-family: helvetica, arial, sans-serif;">Trường hợp cấp tính có thể nhịn ăn 24h trước khi cho ăn trở lại.</span></li>
</ul>
<div>
<div>
<div>
<h2><span style="font-family: helvetica, arial, sans-serif;">2. Bệnh ruột non (TIÊU CHẢY, IBD, PLE, hội chứng ruột ngắn)</span></h2>
</div>
<ul>
<li><span style="font-size: 14pt; font-family: helvetica, arial, sans-serif;">Tiêu chảy cấp: lượng thức ăn 1 bữa ít và chia nhiều bữa nhỏ.</span></li>
<li><span style="font-size: 14pt; font-family: helvetica, arial, sans-serif;">IBD: Dùng chế độ ăn ít xơ, protein mới hoặc thủy phân, chia nhiều bữa.</span></li>
<li><span style="font-size: 14pt; font-family: helvetica, arial, sans-serif;">PLE/giãn mạch bạch huyết: Ăn ít chất béo, nhiều protein, hạn chế chất xơ.</span></li>
<li><span style="font-size: 14pt; font-family: helvetica, arial, sans-serif;">Hội chứng ruột ngắn: Dùng thức ăn năng lượng cao, chất xơ thấp, béo trung bình.</span></li>
</ul>
<div>
<div>
<div>
<h2><span style="font-family: helvetica, arial, sans-serif;"><strong>3. Viêm tụy</strong></span></h2>
</div>
<ul>
<li><span style="font-size: 14pt; font-family: helvetica, arial, sans-serif;">Cấp tính: Ưu tiên hỗ trợ dinh dưỡng sớm qua ống nếu không nôn.</span></li>
<li><span style="font-size: 14pt; font-family: helvetica, arial, sans-serif;">Mãn tính (chó): Chế độ ăn ít béo, tránh nhiều protein.</span></li>
<li><span style="font-size: 14pt; font-family: helvetica, arial, sans-serif;">Mèo: Chế độ ăn ít thay đổi, thường không cần điều chỉnh lớn.</span></li>
</ul>
<div>
<h2><span style="font-family: helvetica, arial, sans-serif;"><strong>4. Suy tuyến tụy ngoại tiết (EPI)</strong></span></h2>
</div>
<ul>
<li><span style="font-size: 14pt; font-family: helvetica, arial, sans-serif;">Điều trị chính là bổ sung enzyme tuyến tụy.</span></li>
<li><span style="font-size: 14pt; font-family: helvetica, arial, sans-serif;">Có thể cần bổ sung vitamin tan trong dầu và cobalamin.</span></li>
</ul>
<div>
<div>
<div>
<h2><span style="font-family: helvetica, arial, sans-serif;"><strong>5. Bệnh lý ruột già (viêm đại tràng, đầy hơi)</strong></span></h2>
</div>
<p><img loading="lazy" decoding="async" class=" wp-image-3979 aligncenter" src="https://eduvet.vn/wp-content/uploads/2025/11/3-2-300x188.jpg" alt="" width="847" height="531" srcset="https://eduvet.vn/wp-content/uploads/2025/11/3-2-300x188.jpg 300w, https://eduvet.vn/wp-content/uploads/2025/11/3-2-768x480.jpg 768w, https://eduvet.vn/wp-content/uploads/2025/11/3-2-600x375.jpg 600w" sizes="(max-width: 847px) 100vw, 847px" /></p>
<ul>
<li><span style="font-size: 14pt; font-family: helvetica, arial, sans-serif;">Viêm đại tràng: Tăng chất xơ hỗ trợ vi sinh có lợi.</span></li>
<li><span style="font-size: 14pt; font-family: helvetica, arial, sans-serif;">Đầy hơi: Giảm chất béo, tránh carbohydrate dễ lên men như đậu, rau họ cải.</span></li>
</ul>
<div>
<div>
<div>
<h2><span style="font-family: helvetica, arial, sans-serif;"><strong>Prebiotic và Probiotic</strong></span></h2>
</div>
<ul>
<li><span style="font-size: 14pt; font-family: helvetica, arial, sans-serif;">Prebiotic: Làm nền cho vi khuẩn có lợi gồm FOS, GOS, MOS.</span></li>
<li><span style="font-size: 14pt; font-family: helvetica, arial, sans-serif;">Probiotic: Vi khuẩn sống có lợi, cần có nguồn gốc phù hợp, ổn định qua tiêu hóa, giúp cạnh tranh với vi khuẩn có hại, cải thiện miễn dịch.</span></li>
</ul>
<hr />
</div>
</div>
</div>
<h2 data-start="4757" data-end="4797"><span style="font-family: helvetica, arial, sans-serif;"><strong data-start="4763" data-end="4797">Tài liệu tham khảo</strong></span></h2>
<ol data-start="4799" data-end="5460">
<li data-start="4799" data-end="4921">
<p data-start="4802" data-end="4921"><span style="font-size: 14pt; font-family: helvetica, arial, sans-serif;">Hall, E.J., et al. (2021). <em data-start="4833" data-end="4885">BSAVA Manual of Canine and Feline Gastroenterology</em>, 3rd Edition. BSAVA Publications.</span></p>
</li>
<li data-start="4922" data-end="5053">
<p data-start="4925" data-end="5053"><span style="font-size: 14pt; font-family: helvetica, arial, sans-serif;">Hand, M.S., Thatcher, C.D., Remillard, R.L. (2020). <em data-start="4981" data-end="5014">Small Animal Clinical Nutrition</em>, 6th Edition. Mark Morris Institute.</span></p>
</li>
<li data-start="5054" data-end="5160">
<p data-start="5057" data-end="5160"><span style="font-size: 14pt; font-family: helvetica, arial, sans-serif;">Fascetti, A.J., &amp; Delaney, S.J. (2012). <em data-start="5101" data-end="5141">Applied Veterinary Clinical Nutrition.</em> Wiley-Blackwell.</span></p>
</li>
<li data-start="5161" data-end="5305">
<p data-start="5164" data-end="5305"><span style="font-size: 14pt; font-family: helvetica, arial, sans-serif;">Case, L.P., Daristotle, L., Hayek, M.G. (2011). <em data-start="5216" data-end="5293">Canine and Feline Nutrition: A Resource for Companion Animal Professionals.</em> Elsevier.</span></p>
</li>
<li data-start="5306" data-end="5460">
<p data-start="5309" data-end="5460"><span style="font-size: 14pt; font-family: helvetica, arial, sans-serif;">German, A.J. (2015). &#8220;Nutritional management of gastrointestinal disorders in dogs and cats.&#8221; <em data-start="5407" data-end="5443">Vet Clin North Am Small Anim Pract</em>, 45(1), 45–60.</span></p>
</li>
</ol>
<p>&nbsp;</p>
<p style="text-align: right;"><span style="font-size: 14pt; color: #ff6600; font-family: helvetica, arial, sans-serif;"><em>Hãy liên hệ ngay với EduVET nếu có bất kỳ thắc mắc nào!</em></span></p>
</div>
</div>
</div>
</div>
</div>
</div>
</div>
</div>
</div>
</div>
</div>
</div>
<div class="host-bincmiainjofjnhchmcalkanjebghoen" style="position: relative; z-index: 2147483647;"></div>
<div class="host-bincmiainjofjnhchmcalkanjebghoen" style="position: relative; z-index: 2147483647;"></div>
<p>The post <a rel="nofollow" href="https://eduvet.vn/che-do-an-va-dinh-duong-cho-cho-meo-benh-tieu-hoa/">Chế độ ăn và dinh dưỡng cho chó mèo bệnh tiêu hóa</a> appeared first on <a rel="nofollow" href="https://eduvet.vn">EduVET</a>.</p>
]]></content:encoded>
					
					<wfw:commentRss>https://eduvet.vn/che-do-an-va-dinh-duong-cho-cho-meo-benh-tieu-hoa/feed/</wfw:commentRss>
			<slash:comments>0</slash:comments>
		
		
			</item>
		<item>
		<title>Hướng dẫn bó mềm và nẹp chi trước ở chó mèo</title>
		<link>https://eduvet.vn/huong-dan-bo-mem-va-nep-chi-truoc-o-cho-meo/</link>
					<comments>https://eduvet.vn/huong-dan-bo-mem-va-nep-chi-truoc-o-cho-meo/#respond</comments>
		
		<dc:creator><![CDATA[qcv]]></dc:creator>
		<pubDate>Sun, 02 Nov 2025 15:56:01 +0000</pubDate>
				<category><![CDATA[BỆNH NGOẠI KHOA THÚ Y]]></category>
		<category><![CDATA[bó chân chó mèo]]></category>
		<category><![CDATA[bó chó mèo]]></category>
		<category><![CDATA[chó mèo gãy xương]]></category>
		<guid isPermaLink="false">https://eduvet.vn/?p=3944</guid>

					<description><![CDATA[<p>BÓ KHU VỰC BÀN, NGÓN Sử dụng trong trường hợp mới phẫu thuật do gãy xương, trật khớp khu vực bàn, ngón) cần hạn chế đi lại. Con vật được đặt ở tư thế nằm nghiêng, chi bị thương ở phía trên. Chân được đặt ở tư thế gập tự nhiên. Dùng băng dính dán [&#8230;]</p>
<p>The post <a rel="nofollow" href="https://eduvet.vn/huong-dan-bo-mem-va-nep-chi-truoc-o-cho-meo/">Hướng dẫn bó mềm và nẹp chi trước ở chó mèo</a> appeared first on <a rel="nofollow" href="https://eduvet.vn">EduVET</a>.</p>
]]></description>
										<content:encoded><![CDATA[<h2><strong><span class="a_GcMg font-feature-liga-off font-feature-clig-off font-feature-calt-off text-decoration-none text-strikethrough-none">BÓ KHU VỰC BÀN, NGÓN</span></strong></h2>
<div>
<div>
<ul>
<li><span style="font-size: 14pt;">Sử dụng trong trường hợp mới phẫu thuật do gãy xương, trật khớp khu vực bàn, ngón) cần hạn chế đi lại.</span></li>
</ul>
<p><img loading="lazy" decoding="async" class=" wp-image-3946 aligncenter" src="https://eduvet.vn/wp-content/uploads/2025/11/1-4-300x187.jpg" alt="" width="736" height="459" srcset="https://eduvet.vn/wp-content/uploads/2025/11/1-4-300x187.jpg 300w, https://eduvet.vn/wp-content/uploads/2025/11/1-4-1024x640.jpg 1024w, https://eduvet.vn/wp-content/uploads/2025/11/1-4-768x480.jpg 768w, https://eduvet.vn/wp-content/uploads/2025/11/1-4-1536x960.jpg 1536w, https://eduvet.vn/wp-content/uploads/2025/11/1-4-2048x1280.jpg 2048w, https://eduvet.vn/wp-content/uploads/2025/11/1-4-600x375.jpg 600w" sizes="(max-width: 736px) 100vw, 736px" /></p>
</div>
<ul>
<li><span style="font-size: 14pt;">Con vật được đặt ở tư thế nằm nghiêng, chi bị thương ở phía trên. Chân được đặt ở tư thế gập tự nhiên.</span></li>
</ul>
<div>
<p><img loading="lazy" decoding="async" class=" wp-image-3947 aligncenter" src="https://eduvet.vn/wp-content/uploads/2025/11/2-4-300x187.jpg" alt="" width="736" height="459" srcset="https://eduvet.vn/wp-content/uploads/2025/11/2-4-300x187.jpg 300w, https://eduvet.vn/wp-content/uploads/2025/11/2-4-1024x640.jpg 1024w, https://eduvet.vn/wp-content/uploads/2025/11/2-4-768x480.jpg 768w, https://eduvet.vn/wp-content/uploads/2025/11/2-4-1536x960.jpg 1536w, https://eduvet.vn/wp-content/uploads/2025/11/2-4-2048x1280.jpg 2048w, https://eduvet.vn/wp-content/uploads/2025/11/2-4-600x375.jpg 600w" sizes="(max-width: 736px) 100vw, 736px" /></p>
</div>
</div>
<div>
<ul>
<li><span style="font-size: 14pt;">Dùng băng dính dán vào mặt bên và mặt trong khu vực xương bàn chân, cổ chân.</span></li>
</ul>
<p><img loading="lazy" decoding="async" class=" wp-image-3948 aligncenter" src="https://eduvet.vn/wp-content/uploads/2025/11/3-1-300x187.jpg" alt="" width="757" height="472" srcset="https://eduvet.vn/wp-content/uploads/2025/11/3-1-300x187.jpg 300w, https://eduvet.vn/wp-content/uploads/2025/11/3-1-1024x640.jpg 1024w, https://eduvet.vn/wp-content/uploads/2025/11/3-1-768x480.jpg 768w, https://eduvet.vn/wp-content/uploads/2025/11/3-1-1536x960.jpg 1536w, https://eduvet.vn/wp-content/uploads/2025/11/3-1-2048x1280.jpg 2048w, https://eduvet.vn/wp-content/uploads/2025/11/3-1-600x375.jpg 600w" sizes="(max-width: 757px) 100vw, 757px" /></p>
<div>
<ul>
<li><span style="font-size: 14pt;">Gập 1 đầu phía xa của băng dính tầm 1cm.</span></li>
</ul>
<p><span style="font-size: 14pt;"><img loading="lazy" decoding="async" class=" wp-image-3949 aligncenter" src="https://eduvet.vn/wp-content/uploads/2025/11/4-1-300x187.jpg" alt="" width="837" height="522" srcset="https://eduvet.vn/wp-content/uploads/2025/11/4-1-300x187.jpg 300w, https://eduvet.vn/wp-content/uploads/2025/11/4-1-1024x640.jpg 1024w, https://eduvet.vn/wp-content/uploads/2025/11/4-1-768x480.jpg 768w, https://eduvet.vn/wp-content/uploads/2025/11/4-1-1536x960.jpg 1536w, https://eduvet.vn/wp-content/uploads/2025/11/4-1-2048x1280.jpg 2048w, https://eduvet.vn/wp-content/uploads/2025/11/4-1-600x375.jpg 600w" sizes="(max-width: 837px) 100vw, 837px" /></span></p>
<ul>
<li><span style="font-size: 14pt;"><span class="a_GcMg font-feature-liga-off font-feature-clig-off font-feature-calt-off text-decoration-none text-strikethrough-none">Đoạn băng dính phải kéo dài 10 – 15 cm. Đầu còn lại của mỗi đoạn băng phải được gấp lại để tạo chỗ bám, dính 2 dải băng</span> <span class="a_GcMg font-feature-liga-off font-feature-clig-off font-feature-calt-off text-decoration-none text-strikethrough-none">vào với nhau tạm thời.</span></span><img loading="lazy" decoding="async" class=" wp-image-3950 aligncenter" src="https://eduvet.vn/wp-content/uploads/2025/11/5-300x187.jpg" alt="" width="820" height="511" srcset="https://eduvet.vn/wp-content/uploads/2025/11/5-300x187.jpg 300w, https://eduvet.vn/wp-content/uploads/2025/11/5-768x480.jpg 768w, https://eduvet.vn/wp-content/uploads/2025/11/5-600x375.jpg 600w" sizes="(max-width: 820px) 100vw, 820px" /></li>
<li><span style="font-size: 14pt;">Một chút bông được đặt ở ké các ngón chân giúp giảm viêm kẽ móng khi bó thời gian dài.</span></li>
</ul>
<p><span style="font-size: 14pt;"><img loading="lazy" decoding="async" class=" wp-image-3951 aligncenter" src="https://eduvet.vn/wp-content/uploads/2025/11/6-300x188.jpg" alt="" width="755" height="473" srcset="https://eduvet.vn/wp-content/uploads/2025/11/6-300x188.jpg 300w, https://eduvet.vn/wp-content/uploads/2025/11/6-1024x640.jpg 1024w, https://eduvet.vn/wp-content/uploads/2025/11/6-768x480.jpg 768w, https://eduvet.vn/wp-content/uploads/2025/11/6-1536x960.jpg 1536w, https://eduvet.vn/wp-content/uploads/2025/11/6-2048x1280.jpg 2048w, https://eduvet.vn/wp-content/uploads/2025/11/6-600x375.jpg 600w" sizes="(max-width: 755px) 100vw, 755px" /></span></p>
</div>
<div>
<div>
<ul>
<li><span style="font-size: 14pt;">Gấp 4-5 lớp gạc và cắt 1 lỗ chính giữa vừa đủ cho đệm bàn chân lọt qua.</span></li>
</ul>
</div>
</div>
<hr />
</div>
<h2><strong>Bó mềm chi trước</strong></h2>
<div class="host-bincmiainjofjnhchmcalkanjebghoen" style="position: relative; z-index: 2147483647;">
<div>
<ul>
<li><span style="font-size: 14pt;">Băng được sử dụng để bảo vệ các vết thương mô mềm khác nhau, chẳng hạn như vết thương hở, vết thương sau phẫu thuật và vết thương sau khi ghép da</span></li>
</ul>
<p><img loading="lazy" decoding="async" class=" wp-image-3952 aligncenter" src="https://eduvet.vn/wp-content/uploads/2025/11/7-300x188.jpg" alt="" width="820" height="514" srcset="https://eduvet.vn/wp-content/uploads/2025/11/7-300x188.jpg 300w, https://eduvet.vn/wp-content/uploads/2025/11/7-1024x640.jpg 1024w, https://eduvet.vn/wp-content/uploads/2025/11/7-768x480.jpg 768w, https://eduvet.vn/wp-content/uploads/2025/11/7-1536x960.jpg 1536w, https://eduvet.vn/wp-content/uploads/2025/11/7-2048x1280.jpg 2048w, https://eduvet.vn/wp-content/uploads/2025/11/7-600x375.jpg 600w" sizes="(max-width: 820px) 100vw, 820px" /></p>
<p>&nbsp;</p>
</div>
<p><img loading="lazy" decoding="async" class="wp-image-3953 aligncenter" src="https://eduvet.vn/wp-content/uploads/2025/11/8-300x188.jpg" alt="" width="930" height="583" srcset="https://eduvet.vn/wp-content/uploads/2025/11/8-300x188.jpg 300w, https://eduvet.vn/wp-content/uploads/2025/11/8-768x480.jpg 768w, https://eduvet.vn/wp-content/uploads/2025/11/8-600x375.jpg 600w" sizes="(max-width: 930px) 100vw, 930px" /></p>
<p><img loading="lazy" decoding="async" class="wp-image-3954 aligncenter" src="https://eduvet.vn/wp-content/uploads/2025/11/9-300x188.jpg" alt="" width="914" height="573" srcset="https://eduvet.vn/wp-content/uploads/2025/11/9-300x188.jpg 300w, https://eduvet.vn/wp-content/uploads/2025/11/9-768x480.jpg 768w, https://eduvet.vn/wp-content/uploads/2025/11/9-600x375.jpg 600w" sizes="(max-width: 914px) 100vw, 914px" /></p>
<p>&nbsp;</p>
<div>
<ul>
<li><span style="font-size: 14pt;">Quấn theo chiều từ các ngón chân lên trên, độ chồng của mỗi vòng quấn 50%. Để có độ dày phù hợp cần quấn 7-8 vòng với bông hoặc gạc cuộn.</span></li>
</ul>
<p><img loading="lazy" decoding="async" class="wp-image-3955 aligncenter" src="https://eduvet.vn/wp-content/uploads/2025/11/10-300x188.jpg" alt="" width="922" height="578" srcset="https://eduvet.vn/wp-content/uploads/2025/11/10-300x188.jpg 300w, https://eduvet.vn/wp-content/uploads/2025/11/10-768x480.jpg 768w, https://eduvet.vn/wp-content/uploads/2025/11/10-600x375.jpg 600w" sizes="(max-width: 922px) 100vw, 922px" /></p>
<p><img loading="lazy" decoding="async" class="wp-image-3956 aligncenter" src="https://eduvet.vn/wp-content/uploads/2025/11/11-300x188.jpg" alt="" width="788" height="494" srcset="https://eduvet.vn/wp-content/uploads/2025/11/11-300x188.jpg 300w, https://eduvet.vn/wp-content/uploads/2025/11/11-1024x640.jpg 1024w, https://eduvet.vn/wp-content/uploads/2025/11/11-768x480.jpg 768w, https://eduvet.vn/wp-content/uploads/2025/11/11-1536x960.jpg 1536w, https://eduvet.vn/wp-content/uploads/2025/11/11-2048x1280.jpg 2048w, https://eduvet.vn/wp-content/uploads/2025/11/11-600x375.jpg 600w" sizes="(max-width: 788px) 100vw, 788px" /></p>
<p>&nbsp;</p>
<div>
<ul>
<li><span style="font-size: 14pt;">Sau đó, ở phía bên ngoài sẽ sử dụng băng quấn mềm để cố định lớp bông ở trong và dễ dàng thao tác khi thay băng và vệ sinh vết thương.</span></li>
</ul>
<hr />
<div>
<div>
<h2><strong>Băng và cố định cổ tay</strong></h2>
</div>
<p><img loading="lazy" decoding="async" class=" wp-image-3957 aligncenter" src="https://eduvet.vn/wp-content/uploads/2025/11/12-300x188.jpg" alt="" width="724" height="454" srcset="https://eduvet.vn/wp-content/uploads/2025/11/12-300x188.jpg 300w, https://eduvet.vn/wp-content/uploads/2025/11/12-1024x640.jpg 1024w, https://eduvet.vn/wp-content/uploads/2025/11/12-768x480.jpg 768w, https://eduvet.vn/wp-content/uploads/2025/11/12-1536x960.jpg 1536w, https://eduvet.vn/wp-content/uploads/2025/11/12-2048x1280.jpg 2048w, https://eduvet.vn/wp-content/uploads/2025/11/12-600x375.jpg 600w" sizes="(max-width: 724px) 100vw, 724px" /></p>
<div>
<ul>
<li><span style="font-size: 14pt;">Con vật được đặt ở tư thế nằm nghiêng với chi bị thương ở trên và hơi gập theo chiều tự nhiên của khớp cổ tay.</span></li>
</ul>
<p><img loading="lazy" decoding="async" class="wp-image-3958 aligncenter" src="https://eduvet.vn/wp-content/uploads/2025/11/13-300x188.jpg" alt="" width="857" height="537" srcset="https://eduvet.vn/wp-content/uploads/2025/11/13-300x188.jpg 300w, https://eduvet.vn/wp-content/uploads/2025/11/13-1024x640.jpg 1024w, https://eduvet.vn/wp-content/uploads/2025/11/13-768x480.jpg 768w, https://eduvet.vn/wp-content/uploads/2025/11/13-1536x960.jpg 1536w, https://eduvet.vn/wp-content/uploads/2025/11/13-2048x1280.jpg 2048w, https://eduvet.vn/wp-content/uploads/2025/11/13-600x375.jpg 600w" sizes="(max-width: 857px) 100vw, 857px" /></p>
<div>
<ul>
<li><span style="font-size: 14pt;">Dùng gạc cuộn hoặc băng quấn mềm để quấn vòng số 8 để cố định.</span></li>
</ul>
<p><img loading="lazy" decoding="async" class="wp-image-3958 aligncenter" src="https://eduvet.vn/wp-content/uploads/2025/11/13-300x188.jpg" alt="" width="941" height="590" srcset="https://eduvet.vn/wp-content/uploads/2025/11/13-300x188.jpg 300w, https://eduvet.vn/wp-content/uploads/2025/11/13-600x375.jpg 600w" sizes="(max-width: 941px) 100vw, 941px" /></p>
<div>
<ul>
<li><span style="font-size: 14pt;">Quấn 3-4 lớp và không để băng quấn bị dồn lại tránh trường hợp giảm lưu thông khu vực bàn, ngón gây hiện tượng phù.</span></li>
</ul>
<hr />
<div>
<h2><strong>Nẹp chi trước</strong></h2>
<div>
<ul>
<li><span style="font-size: 14pt;">Nẹp được sử dụng trong cố định vị trí gãy xương, dãn (đứt) dây chằng, hoặc hạn chế vận động sau phẫu thuật gãy xương tứ chi.</span></li>
</ul>
<p><img loading="lazy" decoding="async" class="wp-image-3959 aligncenter" src="https://eduvet.vn/wp-content/uploads/2025/11/14-300x188.jpg" alt="" width="913" height="572" srcset="https://eduvet.vn/wp-content/uploads/2025/11/14-300x188.jpg 300w, https://eduvet.vn/wp-content/uploads/2025/11/14-1024x640.jpg 1024w, https://eduvet.vn/wp-content/uploads/2025/11/14-768x480.jpg 768w, https://eduvet.vn/wp-content/uploads/2025/11/14-1536x960.jpg 1536w, https://eduvet.vn/wp-content/uploads/2025/11/14-2048x1280.jpg 2048w, https://eduvet.vn/wp-content/uploads/2025/11/14-600x375.jpg 600w" sizes="(max-width: 913px) 100vw, 913px" /></p>
<div>
<ul>
<li><span style="font-size: 14pt;">Lớp đầu tiên dùng bông cuộn để quấn 4-5 vòng, quấn theo chiều từ dưới lên trên và không để lớp bông xoắn, hay chồng lên nhau quá nhiều. Sau đó quấn gạc cuộn phía ngoài để cố định lớp bông bên trong.</span></li>
</ul>
<p><img loading="lazy" decoding="async" class="wp-image-3960 aligncenter" src="https://eduvet.vn/wp-content/uploads/2025/11/15-300x188.jpg" alt="" width="849" height="532" srcset="https://eduvet.vn/wp-content/uploads/2025/11/15-300x188.jpg 300w, https://eduvet.vn/wp-content/uploads/2025/11/15-1024x640.jpg 1024w, https://eduvet.vn/wp-content/uploads/2025/11/15-768x480.jpg 768w, https://eduvet.vn/wp-content/uploads/2025/11/15-1536x960.jpg 1536w, https://eduvet.vn/wp-content/uploads/2025/11/15-2048x1280.jpg 2048w, https://eduvet.vn/wp-content/uploads/2025/11/15-600x375.jpg 600w" sizes="(max-width: 849px) 100vw, 849px" /></p>
<div>
<ul>
<li><span style="font-size: 14pt;">Đưa nẹp vào vị trí mong muốn.</span></li>
</ul>
<p><img loading="lazy" decoding="async" class="wp-image-3961 aligncenter" src="https://eduvet.vn/wp-content/uploads/2025/11/16-300x188.jpg" alt="" width="819" height="513" srcset="https://eduvet.vn/wp-content/uploads/2025/11/16-300x188.jpg 300w, https://eduvet.vn/wp-content/uploads/2025/11/16-1024x640.jpg 1024w, https://eduvet.vn/wp-content/uploads/2025/11/16-768x480.jpg 768w, https://eduvet.vn/wp-content/uploads/2025/11/16-1536x960.jpg 1536w, https://eduvet.vn/wp-content/uploads/2025/11/16-2048x1280.jpg 2048w, https://eduvet.vn/wp-content/uploads/2025/11/16-600x375.jpg 600w" sizes="(max-width: 819px) 100vw, 819px" /></p>
<div>
<ul>
<li><span style="font-size: 14pt;">Cuối cùng sẽ sử dụng băng quấn mềm hoặc gạc cuộn để cố định phần nẹp.</span></li>
</ul>
<hr />
<div>
<h2><strong>Băng và nẹp toàn bộ chi trước</strong></h2>
<div>
<ul>
<li><span style="font-size: 14pt;">Dùng trong trường hợp gãy xương bả vai hoặc để hỗ trợ phẫu thuật ổn định các khớp khuỷu tay, điều trị bảo tồn,&#8230;</span></li>
</ul>
<p><img loading="lazy" decoding="async" class="wp-image-3962 aligncenter" src="https://eduvet.vn/wp-content/uploads/2025/11/17-300x188.jpg" alt="" width="807" height="506" srcset="https://eduvet.vn/wp-content/uploads/2025/11/17-300x188.jpg 300w, https://eduvet.vn/wp-content/uploads/2025/11/17-600x375.jpg 600w" sizes="(max-width: 807px) 100vw, 807px" /></p>
<div>
<ul>
<li><span style="font-size: 14pt;">Lót bông vào khe giữa các ngón để giảm viêm, loét.</span></li>
<li><span style="font-size: 14pt;">Trong cùng sẽ sử dụng bông cuộn hoặc gạc để quấn từ dưới lên trên.</span></li>
</ul>
<p><img loading="lazy" decoding="async" class="wp-image-3964 aligncenter" src="https://eduvet.vn/wp-content/uploads/2025/11/19-300x188.jpg" alt="" width="981" height="615" srcset="https://eduvet.vn/wp-content/uploads/2025/11/19-300x188.jpg 300w, https://eduvet.vn/wp-content/uploads/2025/11/19-768x480.jpg 768w, https://eduvet.vn/wp-content/uploads/2025/11/19-600x375.jpg 600w" sizes="(max-width: 981px) 100vw, 981px" /></p>
<div>
<ul>
<li><span style="font-size: 14pt;">Sau đó, quấn vòng lên phía trên lưng =&gt; đi xuống vị trí giữa của 2 chi trước =&gt; sau đó lại tiếp tục quấn lên phía trên lưng, lặp đi lặp lại thao tác đó 3-4 lần.</span></li>
</ul>
<p><img loading="lazy" decoding="async" class="wp-image-3965 aligncenter" src="https://eduvet.vn/wp-content/uploads/2025/11/20-300x188.jpg" alt="" width="956" height="599" srcset="https://eduvet.vn/wp-content/uploads/2025/11/20-300x188.jpg 300w, https://eduvet.vn/wp-content/uploads/2025/11/20-1024x640.jpg 1024w, https://eduvet.vn/wp-content/uploads/2025/11/20-768x480.jpg 768w, https://eduvet.vn/wp-content/uploads/2025/11/20-1536x960.jpg 1536w, https://eduvet.vn/wp-content/uploads/2025/11/20-2048x1280.jpg 2048w, https://eduvet.vn/wp-content/uploads/2025/11/20-600x375.jpg 600w" sizes="(max-width: 956px) 100vw, 956px" /></p>
<p><img loading="lazy" decoding="async" class="wp-image-3966 aligncenter" src="https://eduvet.vn/wp-content/uploads/2025/11/21-300x188.jpg" alt="" width="799" height="501" srcset="https://eduvet.vn/wp-content/uploads/2025/11/21-300x188.jpg 300w, https://eduvet.vn/wp-content/uploads/2025/11/21-600x375.jpg 600w" sizes="(max-width: 799px) 100vw, 799px" /></p>
<div>
<ul>
<li><span style="font-size: 14pt;">Băng đúc sợi là vật liệu tốt nhất để sử dụng để làm nẹp. Nó được làm ướt và trải theo chiều dọc. thanh nẹp uốn cong theo hình vòng dài kéo dài từ các ngón tay đến qua vai. Sau đó, nó được tạo kiểu theo độ cong của mặt bên của chi càng nhiều càng tốt.</span></li>
</ul>
<p><img loading="lazy" decoding="async" class="wp-image-3967 aligncenter" src="https://eduvet.vn/wp-content/uploads/2025/11/22-300x188.jpg" alt="" width="889" height="557" srcset="https://eduvet.vn/wp-content/uploads/2025/11/22-300x188.jpg 300w, https://eduvet.vn/wp-content/uploads/2025/11/22-1024x640.jpg 1024w, https://eduvet.vn/wp-content/uploads/2025/11/22-768x480.jpg 768w, https://eduvet.vn/wp-content/uploads/2025/11/22-1536x960.jpg 1536w, https://eduvet.vn/wp-content/uploads/2025/11/22-2048x1280.jpg 2048w, https://eduvet.vn/wp-content/uploads/2025/11/22-600x375.jpg 600w" sizes="(max-width: 889px) 100vw, 889px" /></p>
<div>
<ul>
<li><span style="font-size: 14pt;">Dải băng phải đủ rộng để bao phủ mặt bên của vùng vai và kéo dài một chút của khớp vai, sau đó sẽ cố định bên ngoài bằng băng quấn mềm.</span></li>
</ul>
<p><img loading="lazy" decoding="async" class="wp-image-3968 aligncenter" src="https://eduvet.vn/wp-content/uploads/2025/11/23-300x188.jpg" alt="" width="772" height="484" srcset="https://eduvet.vn/wp-content/uploads/2025/11/23-300x188.jpg 300w, https://eduvet.vn/wp-content/uploads/2025/11/23-1024x640.jpg 1024w, https://eduvet.vn/wp-content/uploads/2025/11/23-768x480.jpg 768w, https://eduvet.vn/wp-content/uploads/2025/11/23-1536x960.jpg 1536w, https://eduvet.vn/wp-content/uploads/2025/11/23-2048x1280.jpg 2048w, https://eduvet.vn/wp-content/uploads/2025/11/23-600x375.jpg 600w" sizes="(max-width: 772px) 100vw, 772px" /></p>
<div>
<div>
<ul>
<li><span style="font-size: 14pt;">Điều quan trọng là con vật không được phép di chuyển trong quá trình làm khô thanh nẹp.</span></li>
</ul>
<hr />
</div>
</div>
</div>
<h2 data-start="3778" data-end="3818"><strong data-start="3784" data-end="3818">Tài liệu tham khảo</strong></h2>
<ol data-start="3820" data-end="4394">
<li data-start="3820" data-end="3892">
<p data-start="3823" data-end="3892"><span style="font-size: 14pt;">Fossum, T.W. (2023). <em data-start="3844" data-end="3866">Small Animal Surgery</em>, 6th Edition. Elsevier.</span></p>
</li>
<li data-start="3893" data-end="4019">
<p data-start="3896" data-end="4019"><span style="font-size: 14pt;">Pavletic, M.M. (2018). <em data-start="3919" data-end="3986">Atlas of Small Animal Wound Management and Reconstructive Surgery</em>, 4th Edition. Wiley-Blackwell.</span></p>
</li>
<li data-start="4020" data-end="4128">
<p data-start="4023" data-end="4128"><span style="font-size: 14pt;">Tobias, K.M., &amp; Johnston, S.A. (2012). <em data-start="4062" data-end="4096">Veterinary Surgery: Small Animal</em>, Vol. 1–2. Elsevier Saunders.</span></p>
</li>
<li data-start="4129" data-end="4268">
<p data-start="4132" data-end="4268"><span style="font-size: 14pt;">Piermattei, D.L., Flo, G.L., &amp; DeCamp, C.E. (2006). <em data-start="4184" data-end="4242">Handbook of Small Animal Orthopedics and Fracture Repair</em>, 4th Edition. Saunders.</span></p>
</li>
<li data-start="4269" data-end="4394">
<p data-start="4272" data-end="4394"><span style="font-size: 14pt;">Langley-Hobbs, S.J., Demetriou, J.L. (2015). <em data-start="4317" data-end="4372">Feline Orthopedic Surgery and Musculoskeletal Disease</em>, Saunders Elsevier.</span></p>
</li>
</ol>
<div>
<div>
<p style="text-align: right;"><span style="color: #ff6600; font-size: 14pt;"><em>Hãy liên hệ ngay với EduVET nếu có bất cứ thắc mắc nào!</em></span></p>
</div>
</div>
</div>
</div>
</div>
</div>
</div>
</div>
</div>
</div>
</div>
</div>
</div>
</div>
</div>
</div>
</div>
</div>
</div>
<div class="host-bincmiainjofjnhchmcalkanjebghoen" style="position: relative; z-index: 2147483647;"></div>
<div class="host-bincmiainjofjnhchmcalkanjebghoen" style="position: relative; z-index: 2147483647;"></div>
<div class="host-bincmiainjofjnhchmcalkanjebghoen" style="position: relative; z-index: 2147483647;"></div>
<div class="host-bincmiainjofjnhchmcalkanjebghoen" style="position: relative; z-index: 2147483647;"></div>
<p>The post <a rel="nofollow" href="https://eduvet.vn/huong-dan-bo-mem-va-nep-chi-truoc-o-cho-meo/">Hướng dẫn bó mềm và nẹp chi trước ở chó mèo</a> appeared first on <a rel="nofollow" href="https://eduvet.vn">EduVET</a>.</p>
]]></content:encoded>
					
					<wfw:commentRss>https://eduvet.vn/huong-dan-bo-mem-va-nep-chi-truoc-o-cho-meo/feed/</wfw:commentRss>
			<slash:comments>0</slash:comments>
		
		
			</item>
		<item>
		<title>Tổng hợp những nguyên nhân gây tiêu chảy ở chó mèo</title>
		<link>https://eduvet.vn/tong-hop-nhung-nguyen-nhan-gay-tieu-chay-o-cho-meo/</link>
					<comments>https://eduvet.vn/tong-hop-nhung-nguyen-nhan-gay-tieu-chay-o-cho-meo/#respond</comments>
		
		<dc:creator><![CDATA[qcv]]></dc:creator>
		<pubDate>Sat, 01 Nov 2025 11:53:58 +0000</pubDate>
				<category><![CDATA[BỆNH NỘI KHOA]]></category>
		<category><![CDATA[nguyên nhân tiêu chảy]]></category>
		<category><![CDATA[tiêu chảy]]></category>
		<category><![CDATA[tiêu chảy ở chó mèo]]></category>
		<guid isPermaLink="false">https://eduvet.vn/?p=3936</guid>

					<description><![CDATA[<p>Tổng quát về tiêu chảy Nguyên nhân tiêu chảy cấp: Ăn thức ăn khác với ngày thường. Do dùng kháng sinh (Ví dụ: mấy hôm trước dùng kháng sinh hôm nay con vật tiêu chảy. Vì kháng sinh diệt những con vi khuẩn vừa tốt và vừa hại =&#62; gây biến động hệ vi khuẩn [&#8230;]</p>
<p>The post <a rel="nofollow" href="https://eduvet.vn/tong-hop-nhung-nguyen-nhan-gay-tieu-chay-o-cho-meo/">Tổng hợp những nguyên nhân gây tiêu chảy ở chó mèo</a> appeared first on <a rel="nofollow" href="https://eduvet.vn">EduVET</a>.</p>
]]></description>
										<content:encoded><![CDATA[<div>
<h2><span style="font-family: helvetica, arial, sans-serif;"><img loading="lazy" decoding="async" class="size-medium wp-image-3941 alignright" src="https://eduvet.vn/wp-content/uploads/2025/11/bai-dang-1-anh-vuong-Quynh-2-300x300.jpg" alt="" width="300" height="300" srcset="https://eduvet.vn/wp-content/uploads/2025/11/bai-dang-1-anh-vuong-Quynh-2-300x300.jpg 300w, https://eduvet.vn/wp-content/uploads/2025/11/bai-dang-1-anh-vuong-Quynh-2-1024x1024.jpg 1024w, https://eduvet.vn/wp-content/uploads/2025/11/bai-dang-1-anh-vuong-Quynh-2-150x150.jpg 150w, https://eduvet.vn/wp-content/uploads/2025/11/bai-dang-1-anh-vuong-Quynh-2-768x768.jpg 768w, https://eduvet.vn/wp-content/uploads/2025/11/bai-dang-1-anh-vuong-Quynh-2-1536x1536.jpg 1536w, https://eduvet.vn/wp-content/uploads/2025/11/bai-dang-1-anh-vuong-Quynh-2-2048x2048.jpg 2048w, https://eduvet.vn/wp-content/uploads/2025/11/bai-dang-1-anh-vuong-Quynh-2-600x600.jpg 600w" sizes="(max-width: 300px) 100vw, 300px" /></span></h2>
<h2><span style="font-family: helvetica, arial, sans-serif;"><strong>Tổng quát về tiêu chảy</strong></span></h2>
<p><span style="font-size: 14pt; font-family: helvetica, arial, sans-serif;"><strong><span class="a_GcMg font-feature-liga-off font-feature-clig-off font-feature-calt-off text-decoration-none text-strikethrough-none">Nguyên nhân tiêu chảy cấp: </span></strong></span></p>
<ul>
<li><span class="a_GcMg font-feature-liga-off font-feature-clig-off font-feature-calt-off text-decoration-none text-strikethrough-none" style="font-size: 14pt; font-family: helvetica, arial, sans-serif;">Ăn thức ăn khác với ngày thường. </span></li>
<li><span class="a_GcMg font-feature-liga-off font-feature-clig-off font-feature-calt-off text-decoration-none text-strikethrough-none" style="font-size: 14pt; font-family: helvetica, arial, sans-serif;">Do dùng kháng sinh (Ví dụ: mấy hôm trước dùng kháng sinh hôm nay con vật tiêu chảy. Vì kháng sinh diệt những con vi khuẩn vừa tốt và vừa hại =&gt; gây biến động hệ vi khuẩn trong đường ruột =&gt; gây tiêu chảy). </span></li>
<li><span class="a_GcMg font-feature-liga-off font-feature-clig-off font-feature-calt-off text-decoration-none text-strikethrough-none" style="font-size: 14pt; font-family: helvetica, arial, sans-serif;">Do dùng kháng viêm hoặc thuốc hóa trị. </span></li>
<li><span class="a_GcMg font-feature-liga-off font-feature-clig-off font-feature-calt-off text-decoration-none text-strikethrough-none" style="font-size: 14pt; font-family: helvetica, arial, sans-serif;">Do dị vật/ do ăn phải chất độc ăn mòn. Ví dụ con vật uống phải nước trong nhà vệ sinh hoặc ngộ độc do thuốc nhỏ gáy, thuốc xịt ve rận. Hỏi chủ theo thứ tự trên để tìm bệnh.</span></li>
</ul>
<hr />
<div>
<div>
<div>
<h2 data-start="141" data-end="171"><span style="font-family: helvetica, arial, sans-serif;"><strong>Nguyên nhân tiêu chảy mạn tính</strong></span></h2>
<div class="_tableContainer_1rjym_1">
<div class="group _tableWrapper_1rjym_13 flex w-fit flex-col-reverse" tabindex="-1">
<table class="w-fit min-w-(--thread-content-width)" data-start="173" data-end="1290">
<thead data-start="173" data-end="218">
<tr data-start="173" data-end="218">
<th data-start="173" data-end="187" data-col-size="lg"><span style="font-size: 14pt; font-family: helvetica, arial, sans-serif;">Triệu chứng</span></th>
<th data-start="187" data-end="218" data-col-size="lg"><span style="font-size: 14pt; font-family: helvetica, arial, sans-serif;">Gợi ý chẩn đoán và điều trị</span></th>
</tr>
</thead>
<tbody data-start="266" data-end="1290">
<tr data-start="266" data-end="333">
<td data-start="266" data-end="308" data-col-size="lg"><span style="font-size: 14pt; font-family: helvetica, arial, sans-serif;">Tiêu chảy mạn tính kèm bệnh hô hấp.</span></td>
<td data-col-size="lg" data-start="308" data-end="333"><span style="font-size: 14pt; font-family: helvetica, arial, sans-serif;">Chó: Care</span><br />
<span style="font-size: 14pt; font-family: helvetica, arial, sans-serif;">Mèo: FIV</span></td>
</tr>
<tr data-start="334" data-end="449">
<td data-start="334" data-end="376" data-col-size="lg"><span style="font-size: 14pt; font-family: helvetica, arial, sans-serif;">Hôm đi phân khuôn, hôm đi phân nát.</span></td>
<td data-col-size="lg" data-start="376" data-end="449"><span style="font-size: 14pt; font-family: helvetica, arial, sans-serif;">Do ăn uống: Con vật hay ăn đồ trong thùng rác hoặc ăn đồ ngoài đường.</span></td>
</tr>
<tr data-start="450" data-end="622">
<td data-start="450" data-end="523" data-col-size="lg"><span style="font-size: 14pt; font-family: helvetica, arial, sans-serif;">Dùng kháng sinh thì khỏi, nhưng dừng thuốc thì tiếp tục tiêu chảy.</span></td>
<td data-col-size="lg" data-start="523" data-end="622"><span style="font-size: 14pt; font-family: helvetica, arial, sans-serif;">Viêm ruột đáp ứng với kháng sinh và không biết nguyên nhân =&gt; Điều trị kháng sinh đến cuối đời.</span></td>
</tr>
<tr data-start="623" data-end="808">
<td data-start="623" data-end="730" data-col-size="lg"><span style="font-size: 14pt; font-family: helvetica, arial, sans-serif;">Tiêu chảy mạn tính dùng kháng viêm thì con vật khỏi, nhưng mà khi không dùng thì tiếp tục tiêu chảy.</span></td>
<td data-col-size="lg" data-start="730" data-end="808"><span style="font-size: 14pt; font-family: helvetica, arial, sans-serif;">Viêm ruột đáp ứng với kháng viêm =&gt; Điều trị bằng kháng viêm đến cuối đời.</span></td>
</tr>
<tr data-start="809" data-end="1067">
<td data-start="809" data-end="925" data-col-size="lg"><span style="font-size: 14pt; font-family: helvetica, arial, sans-serif;">Tiêu chảy mạn tính không phải do virus,…; cũng không phải do viêm ruột đáp ứng với kháng sinh hay kháng viêm.</span></td>
<td data-col-size="lg" data-start="925" data-end="1067"><span style="font-size: 14pt; font-family: helvetica, arial, sans-serif;">Do nấm hoặc những vi sinh vật khó diệt bằng kháng sinh thông thường =&gt; Cho thử phác đồ nấm và kháng sinh: Enrofloxacin + Itraconazole.</span></td>
</tr>
<tr data-start="1068" data-end="1290">
<td data-start="1068" data-end="1198" data-col-size="lg"><span style="font-size: 14pt; font-family: helvetica, arial, sans-serif;">Tiêu chảy mạn tính ở chó con, mèo con dưới 6 tháng tuổi, tiêu chảy bập bõm (hôm phân khuôn, hôm phân mềm, hôm phân nước,…).</span></td>
<td data-col-size="lg" data-start="1198" data-end="1290"><span style="font-size: 14pt; font-family: helvetica, arial, sans-serif;">Do hệ miễn dịch trong đường ruột chưa hoàn thiện. Nhiều con khi trưởng thành sẽ tự khỏi.</span></td>
</tr>
</tbody>
</table>
</div>
</div>
</div>
</div>
<div>
<div>
<p>&nbsp;</p>
<table class="w-fit min-w-(--thread-content-width)" style="width: 100%;" data-start="176" data-end="1343">
<thead data-start="176" data-end="219">
<tr data-start="176" data-end="219">
<th style="width: 23.3041%;" data-start="176" data-end="188" data-col-size="md"><span style="font-size: 14pt; font-family: helvetica, arial, sans-serif;">Đối tượng</span></th>
<th style="width: 76.0575%;" data-start="188" data-end="219" data-col-size="xl"><span style="font-size: 14pt; font-family: helvetica, arial, sans-serif;">Gợi ý chẩn đoán và điều trị</span></th>
</tr>
</thead>
<tbody data-start="265" data-end="1343">
<tr data-start="265" data-end="650">
<td style="width: 23.3041%;" data-start="265" data-end="289" data-col-size="md"><span style="font-size: 14pt; font-family: helvetica, arial, sans-serif;">Con trưởng thành.</span></td>
<td style="width: 76.0575%;" data-start="289" data-end="650" data-col-size="xl"><span style="font-size: 14pt; font-family: helvetica, arial, sans-serif;">Do dị ứng =&gt; hãy cho con vật ăn thử một loại thịt con vật chưa từng ăn. Ví dụ: Cho con vật ăn thịt vịt trong 1–2 tuần. Nếu khỏi =&gt; duy trì cho ăn thịt vịt. Bây giờ có nhiều thức ăn dành riêng cho thú dị ứng thức ăn, các bác sĩ mua về cho ăn tầm 1 tháng xem tiến triển nhé, sẽ không hết ngay trong 1–2 tuần đầu, có khi hàng tháng mới đáp ứng và khỏi bệnh đó.</span></td>
</tr>
<tr data-start="651" data-end="975">
<td style="width: 23.3041%;" data-start="651" data-end="709" data-col-size="md"><span style="font-size: 14pt; font-family: helvetica, arial, sans-serif;">Con già. Siêu âm, X-quang không thấy có bất thường.</span></td>
<td style="width: 76.0575%;" data-start="709" data-end="975" data-col-size="xl"><span style="font-size: 14pt; font-family: helvetica, arial, sans-serif;">Thường do u nhỏ trong ruột (nhỏ bằng đầu tăm, đầu đũa) và nằm bên dưới niêm mạc không thể tìm thấy =&gt; Điều trị duy trì bằng kháng sinh, kháng viêm cho con vật, nặng quá dùng thuốc ức chế miễn dịch Cyclosporin nhé (nhắn nhờ trợ lý EduVET mua cho nếu khó mua).</span></td>
</tr>
<tr data-start="976" data-end="1343">
<td style="width: 23.3041%;" data-start="976" data-end="1010" data-col-size="md"><span style="font-size: 14pt; font-family: helvetica, arial, sans-serif;">Điều trị rồi mà không khỏi.</span></td>
<td style="width: 76.0575%;" data-start="1010" data-end="1343" data-col-size="xl"><span style="font-size: 14pt; font-family: helvetica, arial, sans-serif;">Tiêu chảy mạn do vô căn =&gt; Điều trị vô căn:</span><br />
<span style="font-size: 14pt; font-family: helvetica, arial, sans-serif;">• Tiến hành tẩy giun, tẩy ký sinh trùng.</span><br />
<span style="font-family: helvetica, arial, sans-serif;"><span style="font-size: 14pt;">• Tiếp tục điều trị Giardia</span><span style="font-size: 14pt;"> (vì Giardia ký sinh ở ruột non, khi con vật tiêu chảy “oạc oạc” ra thì co</span><span style="font-size: 14pt;">n Giardia nó mới di chuyển xuống đại tràng và lúc này soi mới thấy =&gt; việc soi thấy hay không KHÔNG có ý nghĩa, cứ nghi thì trị).</span></span></td>
</tr>
</tbody>
</table>
<p>&nbsp;</p>
<p><span style="font-family: helvetica, arial, sans-serif;"><strong><span style="font-size: 14pt;">Tiêu chảy do Giardia </span></strong></span></p>
<h2><span style="font-family: helvetica, arial, sans-serif;"><img loading="lazy" decoding="async" class=" wp-image-3938 aligncenter" src="https://eduvet.vn/wp-content/uploads/2025/11/images-300x200.webp" alt="" width="610" height="406" srcset="https://eduvet.vn/wp-content/uploads/2025/11/images-300x200.webp 300w, https://eduvet.vn/wp-content/uploads/2025/11/images-600x400.webp 600w, https://eduvet.vn/wp-content/uploads/2025/11/images.webp 678w" sizes="(max-width: 610px) 100vw, 610px" /></span></h2>
<p style="text-align: center;"><span style="font-family: helvetica, arial, sans-serif;"><em><span style="font-size: 14pt;">Đơn bào Giardia</span></em></span></p>
<p><span style="font-size: 14pt; font-family: helvetica, arial, sans-serif;"><strong>Chẩn đoán:</strong> Sử dụng test kiểm tra hoặc soi xem có thấy Giardia không (nếu không có vẫn có thể điều trị vì Giardia ký sinh ở ruột non, chỉ xuống đại tràng khi con vật tiêu chảy nặng và có thể đã suy nhược cơ thể). Những trường hợp nghi ngờ Giardia:</span></p>
</div>
<div>
<div>
<div>
<p><span style="font-size: 14pt; font-family: helvetica, arial, sans-serif;">1.Nuôi tập trung/ nuôi nhốt tập trung + nuôi bẩn =&gt; trên 50% do Giardia.</span></p>
</div>
</div>
<div>
<div>
<p><span style="font-size: 14pt; font-family: helvetica, arial, sans-serif;">2.Ruột hấp thu kém (vì Giardia gây tổn thương đường tiêu hóa bên trên).</span></p>
</div>
</div>
<div>
<div>
<p><span style="font-size: 14pt; font-family: helvetica, arial, sans-serif;">3.Phân to, mềm, nát và con vật giảm cân.</span></p>
</div>
<div>
<div>
<div>
<p><span style="font-size: 14pt; font-family: helvetica, arial, sans-serif;"><strong>Điều trị tiêu chảy do Giardia cần:</strong> </span></p>
<p><span style="font-size: 14pt; font-family: helvetica, arial, sans-serif;">Điều trị + tắm cả đàn (vì Giardia sẽ nhiễm từ còn này sang con kia). </span></p>
<p><span style="font-size: 14pt; font-family: helvetica, arial, sans-serif;">Nếu trong trường hợp không điều trị cả đàn thì phải tách riêng sang môi trường riêng cộng với khử trùng ở môi trường xung quanh. </span></p>
<p><span style="font-size: 14pt; font-family: helvetica, arial, sans-serif;">Metronidazol:15-25mg/kg/12-24h trong 10-15 ngày.</span></p>
</div>
<hr />
<h2 data-start="148" data-end="177"><span style="font-family: helvetica, arial, sans-serif;"><strong>Một số nguyên nhân khác gây tiêu chảy</strong></span></h2>
<div class="_tableContainer_1rjym_1">
<div class="group _tableWrapper_1rjym_13 flex w-fit flex-col-reverse" tabindex="-1">
<table class="w-fit min-w-(--thread-content-width)" style="width: 100%;" data-start="179" data-end="965">
<thead data-start="179" data-end="200">
<tr data-start="179" data-end="200">
<th style="width: 15.9617%;" data-start="179" data-end="186" data-col-size="sm"><span style="font-size: 14pt; font-family: helvetica, arial, sans-serif;">Bệnh</span></th>
<th style="width: 83.3998%;" data-start="186" data-end="200" data-col-size="xl"><span style="font-size: 14pt; font-family: helvetica, arial, sans-serif;">Bất thường</span></th>
</tr>
</thead>
<tbody data-start="224" data-end="965">
<tr data-start="224" data-end="387">
<td style="width: 15.9617%;" data-start="224" data-end="243" data-col-size="sm"><span style="font-size: 14pt; font-family: helvetica, arial, sans-serif;"><strong data-start="226" data-end="242">Gan cấp tính</strong></span></td>
<td style="width: 83.3998%;" data-start="243" data-end="387" data-col-size="xl"><span style="font-size: 14pt; font-family: helvetica, arial, sans-serif;">• Cả 2 chỉ số GOT và GPT tăng (tăng gấp đôi hoặc tăng gấp ba). <strong data-start="308" data-end="318">Chú ý:</strong> Một chỉ số men gan tăng không có ý nghĩa trong chẩn đoán bệnh gan.</span></td>
</tr>
<tr data-start="388" data-end="457">
<td style="width: 15.9617%;" data-start="388" data-end="407" data-col-size="sm"><span style="font-size: 14pt; font-family: helvetica, arial, sans-serif;"><strong data-start="390" data-end="406">Gan mạn tính</strong></span></td>
<td style="width: 83.3998%;" data-start="407" data-end="457" data-col-size="xl"><span style="font-size: 14pt; font-family: helvetica, arial, sans-serif;">• Chỉ số Albumin giảm (vì gan tạo ra albumin).</span></td>
</tr>
<tr data-start="458" data-end="592">
<td style="width: 15.9617%;" data-start="458" data-end="478" data-col-size="sm"><span style="font-size: 14pt; font-family: helvetica, arial, sans-serif;"><strong data-start="460" data-end="477">Gan tăng sinh</strong></span></td>
<td style="width: 83.3998%;" data-start="478" data-end="592" data-col-size="xl"><span style="font-size: 14pt; font-family: helvetica, arial, sans-serif;">• Sờ hoặc siêu âm thấy gan to, gan chướng chèn xuống dưới bụng.</span><br />
<span style="font-size: 14pt; font-family: helvetica, arial, sans-serif;">• Chỉ số men gan bình thường hoặc tăng nhẹ.</span></td>
</tr>
<tr data-start="593" data-end="641">
<td style="width: 15.9617%;" data-start="593" data-end="613" data-col-size="sm"><span style="font-size: 14pt; font-family: helvetica, arial, sans-serif;"><strong data-start="595" data-end="612">Thận cấp tính</strong></span></td>
<td style="width: 83.3998%;" data-start="613" data-end="641" data-col-size="xl"><span style="font-size: 14pt; font-family: helvetica, arial, sans-serif;">• Chỉ số Creatinin tăng.</span></td>
</tr>
<tr data-start="642" data-end="965">
<td style="width: 15.9617%;" data-start="642" data-end="661" data-col-size="sm"><span style="font-size: 14pt; font-family: helvetica, arial, sans-serif;"><strong data-start="644" data-end="660">Viêm tụy cấp</strong></span></td>
<td style="width: 83.3998%;" data-start="661" data-end="965" data-col-size="xl"><span style="font-size: 14pt; font-family: helvetica, arial, sans-serif;">• Chỉ số men tụy Lipaza tăng. Con vật đau bụng (ít nhất là thấy đau bụng ở phần bụng trên). Con vật nôn. Nếu có thể cho con vật uống cản quang. Nếu thấy cản quang nằm nguyên trong dạ dày =&gt; viêm tụy (vì tụy bám sát ruột non, khi viêm tụy sẽ gây liệt tá tràng nên cản quang không xuống được tá tràng).</span></td>
</tr>
</tbody>
</table>
</div>
</div>
<hr data-start="967" data-end="970" />
<p data-start="972" data-end="1046"><span style="font-size: 14pt; font-family: helvetica, arial, sans-serif;"><strong data-start="972" data-end="982">Chú ý:</strong> Nếu tiêu chảy dai dẳng cần kiểm tra phân =&gt; Kiểm tra phù nổi.</span></p>
</div>
</div>
<hr />
</div>
</div>
</div>
</div>
<h2 data-start="4721" data-end="4758"><span style="font-family: helvetica, arial, sans-serif;"><strong>Tài liệu tham khảo</strong></span></h2>
<ol data-start="4760" data-end="5490">
<li data-start="4760" data-end="4924">
<p data-start="4763" data-end="4924"><span style="font-size: 14pt; font-family: helvetica, arial, sans-serif;">Hall EJ, German AJ. <em data-start="4783" data-end="4816">Diseases of the Small Intestine</em>. In: Ettinger SJ, Feldman EC (eds). Textbook of Veterinary Internal Medicine, 9th ed. Elsevier, 2020.</span></p>
</li>
<li data-start="4925" data-end="5034">
<p data-start="4928" data-end="5034"><span style="font-size: 14pt; font-family: helvetica, arial, sans-serif;">Willard MD, Twedt DC. Small Animal Clinical Diagnosis by Laboratory Methods, 6th ed. Saunders, 2022.</span></p>
</li>
<li data-start="5035" data-end="5191">
<p data-start="5038" data-end="5191"><span style="font-size: 14pt; font-family: helvetica, arial, sans-serif;">Marks SL et al. (2019). <em data-start="5062" data-end="5125">Diagnosis and management of chronic diarrhea in dogs and cats</em>. Journal of Veterinary Internal Medicine, 33(5): 1640–1657.</span></p>
</li>
<li data-start="5192" data-end="5337">
<p data-start="5195" data-end="5337"><span style="font-size: 14pt; font-family: helvetica, arial, sans-serif;">Meléndez-Rodríguez M et al. (2021). <em data-start="5231" data-end="5303">Giardiasis in dogs and cats: updated review and prevention strategies.</em> Vet Parasitol, 295: 109464.</span></p>
</li>
<li data-start="5338" data-end="5490">
<p data-start="5341" data-end="5490"><span style="font-size: 14pt; font-family: helvetica, arial, sans-serif;">WSAVA GI Standardization Group (2020). <em data-start="5380" data-end="5436">Guidelines for chronic enteropathies in dogs and cats.</em> Journal of Small Animal Practice, 61(8): 387–403.</span></p>
</li>
</ol>
<p>&nbsp;</p>
</div>
<p style="text-align: right;"><span style="font-size: 14pt; font-family: helvetica, arial, sans-serif;"><em><span style="color: #ff6600;">Hãy liên hên ngay với EduVET nếu có bất kỳ thắc mắc nào</span></em></span></p>
<div class="host-bincmiainjofjnhchmcalkanjebghoen" style="position: relative; z-index: 2147483647;"></div>
<div class="host-bincmiainjofjnhchmcalkanjebghoen" style="position: relative; z-index: 2147483647;"></div>
<p>The post <a rel="nofollow" href="https://eduvet.vn/tong-hop-nhung-nguyen-nhan-gay-tieu-chay-o-cho-meo/">Tổng hợp những nguyên nhân gây tiêu chảy ở chó mèo</a> appeared first on <a rel="nofollow" href="https://eduvet.vn">EduVET</a>.</p>
]]></content:encoded>
					
					<wfw:commentRss>https://eduvet.vn/tong-hop-nhung-nguyen-nhan-gay-tieu-chay-o-cho-meo/feed/</wfw:commentRss>
			<slash:comments>0</slash:comments>
		
		
			</item>
	</channel>
</rss>
