1. Tổng quan
Trong công thức máu, tiểu cầu là chỉ số phản ánh khả năng đông máu của cơ thể. Khi đọc kết quả xét nghiệm, ta chỉ cần quan tâm hai vấn đề chính:
-
Tiểu cầu giảm
-
Tiểu cầu tăng
Nếu tiểu cầu giảm nhẹ ở mức 100 – 1000 không có ý nghĩa lâm sàng lớn, trừ khi kèm theo dấu hiệu xuất huyết.
2. Tiểu cầu giảm
-
Khi tiểu cầu giảm dưới 100 x10⁹/L, cần đặc biệt lưu ý vì máu sẽ chậm đông.
-
Đây là tình trạng máu chậm đông do nguyên nhân tiểu cầu, khác với máu chậm đông do rối loạn yếu tố đông máu.
Nguyên nhân thường gặp:
-
Mất máu cấp kéo dài.
-
Nhiễm virus (VD: Carre, Parvovirus).
-
Bệnh tủy xương, bệnh miễn dịch, thuốc độc tế bào.
Điều trị:
-
Có thể sử dụng Prednisolone hoặc Vincristine để kích thích tăng sản xuất tiểu cầu.
-
Trong một số trường hợp cấp, có thể truyền máu toàn phần nếu mất máu nhiều.
3. Xác định nguyên nhân giảm tiểu cầu

Nếu con vật chảy máu liên tục (chảy máu mũi, máu sau phẫu thuật, vết thương lâu cầm máu…), cần xác định nguyên nhân:
-
Do giảm tiểu cầu:
→ Máu chậm đông do tiểu cầu, kiểm tra bằng xét nghiệm công thức máu
→ Dùng Prednisolone hoặc Vincristine. -
Do rối loạn yếu tố đông máu:
→ Tiểu cầu bình thường, nhưng vẫn chảy máu.
→ Cần truyền máu toàn phần để bổ sung các yếu tố đông máu. -
Do tổn thương cơ học (cọ xát, khối u, polyp):
→ Chảy máu do vết thương hoặc khối u cọ vào mạch máu (VD: u trong bàng quang, polyp mũi).
→ Điều trị ngoại khoa là hướng xử lý chính.
4. Kiểm tra khả năng đông máu

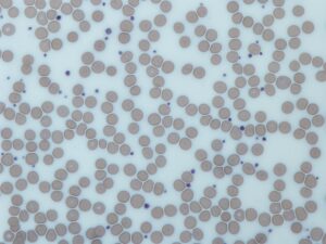
(Tiểu cầu là những chấm màu tím trong hình)
Khi chưa chưa thể xác định được nguyên nhân chảy máu, có thiếu tiểu cầu hay không khi không đủ thiết bị, có thể thực hiện kiểm tra sau đây
-
Gây mê nhẹ, cứa một đường 1 cm bằng dao mổ (đứt niêm mạc, có máu chảy).
-
Quan sát thời gian cầm máu:
-
Cầm sau 4–5 phút → do cơ học (cọ xát, vết thương)
-
Không cầm sau 5 phút → rối loạn yếu tố đông máu, cần truyền máu toàn phần.
-
6. Ghi chú
-
Hồng cầu thấp nhẹ: thường do pha loãng máu khi truyền dịch hoặc uống nhiều nước → không đáng lo.
-
Hồng cầu tăng: thường do mất nước, máu cô đặc.
→ Không cần quá chú trọng nếu không có dấu hiệu bệnh lý đặc trưng.
Tài liệu tham khảo
-
Feldman B. F., Zinkl J. G., Jain N. C. (2015). Schalm’s Veterinary Hematology, 6th Ed. Wiley-Blackwell.
-
Thrall M. A. et al. (2022). Veterinary Hematology and Clinical Chemistry, 3rd Ed. Wiley-Blackwell.
-
Stockham S. L., Scott M. A. (2013). Fundamentals of Veterinary Clinical Pathology, 2nd Ed. Wiley.
-
Weiss D. J. (2008). Thrombocytopenia in dogs and cats. Vet Clin North Am Small Anim Pract, 38(3): 541–558.
Hãy liên hệ ngay với EduVET nếu có bất kỳ thắc mắc nào!







